Hémangioblastome

Hémangioblastome
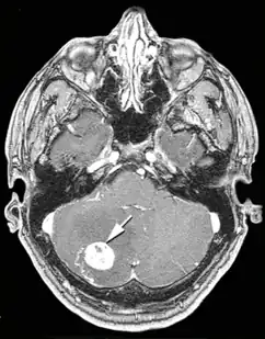
Description de l'image Hemangioblastoma cerebellum.jpg.
Traitement
Spécialité Oncologie
Classification et ressources externes
CIM-10 D48.1
ICD-O 9161/1
DiseasesDB 31512
eMedicine 340994
MeSH D018325

Wikipédia ne donne pas de conseils médicaux Mise en garde médicale

L'hémangioblastome est une tumeur vasculaire bénigne[1], à croissance lente. Elle est souvent rencontrée dans le cadre d'une maladie héréditaire, la maladie de von Hippel-Lindau. Elle en est la composante axiale. L'hémangioblastome est trouvé le plus souvent dans la fosse postérieure, au niveau du cervelet.

L'étymologie du terme peut se décomposer ainsi : Hém- du grec ancien αἷμα, haïma (sang), Angio du grec ancien ἀγγεῖον, angeîon (vaisseau), Blastos du grec ancien βλαστός « germe » (se référant ici à une cellule immature) et le suffixe -ome issu du grec ancien -ωμα, -ôma désignant une tumeur.

Historique

Le terme d’hémangioblastome a été forgé en 1928 (CUSHING, 1928) pour dénommer les tumeurs vasculaires du névraxe et les différencier des malformations vasculaires.

Notes et références

  1. (en) « Dictionnaire de l'Académie Nationale de Médecine », sur academie-medecine.fr (consulté le ).
  • icône décorative Portail de la médecine
Cet article est issu de Wikipedia. Le texte est sous licence Creative Commons – Attribution – Partage à l’identique. Des conditions supplémentaires peuvent s’appliquer aux fichiers multimédias.