Gonarthrose

Gonarthrose
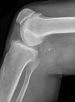
Description de cette image, également commentée ci-après
Chondromatose synoviale avec chondromes multiples dans le kyste de Baker, liés à une gonarthrose.
Traitement
Spécialité Rhumatologie
Classification et ressources externes
CISP-2 L90
CIM-10 M17.0
CIM-9 715.16
MeSH D020370

Wikipédia ne donne pas de conseils médicaux Mise en garde médicale

La gonarthrose est l'arthrose du genou. La gonarthrose est de loin la cause la plus fréquente d'une douleur du genou après 50 ans.

Épidémiologie

L'arthrose du genou est plus fréquente chez la femme, avec un surpoids, en présence d'un problème d'alignement des membres inférieurs (valgus ou varus)[1].

Aux États-Unis, plus d'un tiers de la population de plus de 60 ans a une atteinte radiologique évocatrice d'une arthrose du genou[2].

L'exercice physique de loisir n'aggrave pas l'atteinte arthrosique[3]. Elle est même bénéfique sur de nombreux paramètres, notamment pour soulager les douleurs en cas d'arthrose symptomatique[4].

Description

Son diagnostic est avant tout fondé sur un interrogatoire minutieux, un bon examen du genou et une lecture attentive des radiographies standards.

Le genou est, en règle, peu inflammatoire[1], la biologie n'apporte pas de renseignements. La ponction articulaire n'est pas utile.

L'arthrose du genou est la cause la plus fréquente de douleur du genou après 50 ans. Elle peut se définir comme un amincissement de l'interligne fémoro-tibiale ou fémoro-patellaire, associé à une ostéophytose (prolifération osseuse exubérante) marginale tibiale ou fémorale et accessoirement à une ostéosclérose. La gonarthrose est la plus fréquente des arthroses (3 fois plus fréquente que la coxarthrose (Arthrose de hanche)). Elle est bilatérale dans 2/3 des cas. Dans certains cas, il s'agit d'une atteinte fémoro-tibiale interne. L'atteinte est bi-compartimentale, fémoro-tibiale interne et fémoro-patellaire dans 15 à 20 % des cas. L'âge moyen de survenue des douleurs chroniques est d'environ 65 ans.

Les symptômes sont souvent discordants avec l'aspect radiologique[1].

L'IRM du genou permet de dépister certains signes plus précocement que la radiographie standard[5].

Traitement

Traitement médical

La prise en charge médicale de l'arthrose du genou a fait l'objet de la publication de plusieurs recommandations. Celles de l'« American College of Rheumatology » datent de 2019[6], celles de l'« OARSI » datent de 2019[7].

Il existe deux critères de jugement sur l'efficacité des traitements proposés : l'amélioration de la gêne fonctionnelle et l'évolution radiologique de la maladie. La plupart des études portent sur le premier point.

Le traitement médical repose sur la rééducation ou l'exercice physique, les antalgiques et les anti-inflammatoires à la demande, par voie locale[1] ou par voie orale, les anti-arthrosiques à action lente (tel que la chondroïtine sulfate ou les glucosamines...), les infiltrations de corticoïdes en cas de poussée congestive ainsi que les infiltrations d'acide hyaluronique.

Traitement non médicamenteux

L'exercice physique permet une amélioration des symptômes[8]. Il doit cibler l'endurance (aérobie) et viser au renforcement du quadriceps[9]. La prise en charge d'un surpoids est fortement recommandée[1], permettant d'améliorer les symptômes[10].

La marche est une des activités physiques recommandée. Sur un groupe de personnes suivies pendant 2 ans, une équipe de recherche a constaté que pour chaque tranche de 1 000 pas supplémentaires par jour, une réduction de 16 % des limitations fonctionnelles en cas d’arthrose du genou est constatée[11].

Traitement médicamenteux général

L'utilisation de la glucosamine utilisée seule n'apporte pas de gain démontré[12],[13]. La revue Prescrire met en garde des effets indésirables de la glucosamine : troubles digestifs, maux de tête, réactions allergiques et saignements chez des patients traités par antivitamine K. Elle déconseille l'utilisation de ce produit dont les gains sont faibles (si utilisé seul et si douleurs faibles à modérées, selon l'étude du New England journal of medicine) en le remplaçant par du paracétamol[14].

Le sulfate de chondroïtine semble ralentir l'évolution de la maladie[15]. Cela n'est cependant pas retrouvé dans toutes les études et n'a guère d'efficacité sur les douleurs[13].

Les anti-inflammatoires non stéroïdiens agissent sur les douleurs mais ont de nombreux effets secondaires, plus ou moins graves, lorsqu'ils sont utilisés au long cours. Ils ne doivent être prescrits que sur de courtes cures[1].

Fort logiquement, les médicaments utilisés dans le traitement de l'ostéoporose (vitamine D[16], biphosphonates[17]) n'ont pas démontré d'efficacité sur l'évolutivité de l'atteinte.

Le meilleur résultat, pour les patients qui ont des douleurs modérées à sévères, est obtenu par la combinaison chondroïtine sulfate/glucosamine et qui voient une amélioration des symptômes dans 79 % des cas contre 54 % pour le placebo[18]. Il existe également des critères radiologiques d'amélioration[19].

Traitement intra-articulaire

L'injection intra-articulaire de corticoÏdes permet un soulagement des douleurs pendant quelque temps mais la répétition des injections semble être nocive pour le cartilage[20].

L'injection d'acide hyaluronique en intra-articulaire peut avoir une certaine efficacité sur les symptômes[21] qui restent non cliniquement supérieurs à un placebo[22]. A noter que les injections d'acide hyaluronique ne sont pas prises en charge, en France, par l'assurance maladie étant considérées comme traitement de confort[23]. Elle peut être associée à une infiltration de corticoïdes locaux[24] mais qui n'est cependant pas retrouvée dans toutes les études[25].

Traitement chirurgical

Le traitement chirurgical peut être préventif (correction d'une déviation de genou tel qu'un genu varum, traitement d'une atteinte ligamentaire ou méniscale...) ou curatif. Il est, dans ce cas, proposé, aux patients insuffisamment soulagés par le traitement médicamenteux.

La méniscectomie partielle par voie arthroscopique est parfois proposée en cas de lésion des ménisques. Le résultat à moyen terme n'est cependant pas probant[26], ce qui fait que ce type d'intervention, en règle générale, n'est plus guère recommandé[27].

La prothèse du genou est proposée en cas d'échec des autres traitements. Elle permet l'amélioration des douleurs, de la mobilité et de la qualité de vie[28]. Elle a une durée de vie limitée (10 à 20 ans en moyenne) et la ré-intervention pour poser une deuxième prothèse est un acte plus lourd que le premier. L'infection des prothèses est une complication redoutable. La prothèse du genou peut aussi avoir d'autres complications (complication précoce telle que la dislocation, ou tardive telle que les calcifications irrégulières).

Notes et références

  1. 1 2 3 4 5 6 Sharma L, Osteoarthritis of the knee, N Engl J Med, 2021;384:51-59
  2. Dillon CF, Rasch EK, Gu Q, Hirsch R, Prevalence of knee osteoarthritis in the United States: arthritis data from the Third National Health and Nutrition Examination Survey 1991-94, J Rheumatol, 2006;33:2271-2279
  3. Felson DT, Niu J, Clancy M, Sack B, Aliabadi P, Zhang Y, Effect of recreational physical activities on the development of knee osteoarthritis in older adults of different weights: the Framingham Study, Arthritis Rheum, 2007;57:6-12
  4. Lechi Zhang, Yanqin Wang, Tianfen Ye et Yinqi Hu, « Quality of clinical practice guidelines relevant to rehabilitation of knee osteoarthritis: A systematic review », Clinical Rehabilitation, vol. 37, no 7, , p. 986–1008 (ISSN 1477-0873, PMID 36540949, DOI 10.1177/02692155221144892, lire en ligne, consulté le )
  5. Roemer FW, Kwoh CK, Hannon MJ et al. What comes first? Multitissue involvement leading to radiographic osteoarthritis: magnetic resonance imaging-based trajectory analysis over four years in the Osteoarthritis Initiative, Arthritis Rheumatol, 2015;67:2085-2096.
  6. Kolasinski SL, Neogi T, Hochberg MC et al. 2019 American College of Rheumatology/Arthritis Foundation guideline for the management of osteoarthritis of the hand, hip, and knee, Arthritis Rheumatol, 2020;72:220-233
  7. Bannuru RR, Osani MC, Vaysbrot EE et al. OARSI guidelines for the non-surgical management of knee, hip, and polyarticular osteoarthritis, Osteoarthritis Cartilage, 2019;27:1578-1589
  8. Fransen M, McConnell S, Harmer AR, Van der Esch M, Simic M, Bennell KL, Exercise for osteoarthritis of the knee, Cochrane Database Syst Rev, 2015;1:CD004376-CD004376
  9. Juhl C, Christensen R, Roos EM, Zhang W, Lund H, Impact of exercise type and dose on pain and disability in knee osteoarthritis: a systematic review and meta-regression analysis of randomized controlled trials, Arthritis Rheumatol, 2014;66:622-636
  10. Messier SP, Resnik AE, Beavers DP et al. Intentional weight loss in overweight and obese patients with knee osteoarthritis: is more better?, Arthritis Care Res (Hoboken), 2018;70:1569-1575
  11. (en) Daniel K. White, Catrine Tudor-Locke, Yuqing Zhang et Roger Fielding, « Daily Walking and the Risk of Incident Functional Limitation in Knee Osteoarthritis: An Observational Study: Walking and Risk of Functional Limitation Over 2 Years in Knee OA », Arthritis Care & Research, vol. 66, no 9, , p. 1328–1336 (PMID 24923633, PMCID PMC4146701, DOI 10.1002/acr.22362, lire en ligne, consulté le )
  12. Towheed T, Maxwell L, Anastassiades TP et al. Glucosamine therapy for treating osteoarthritis, Cochrane Database Syst Rev, 2005;2:CD002946.
  13. 1 2 Wandel S, Jüni P, Tendal B et al. Effects of glucosamine, chondroitin, or placebo in patients with osteoarthritis of hip or knee: network meta-analysis, BMJ, 2010;341:c4675-c4675.
  14. Revue Prescrire, 285, juillet 2007.
  15. Kahan A, Uebelhart D, De Vathaire F, Delmas PD, Reginster J-Y, Long-term effects of chondroitins 4 and 6 sulfate on knee osteoarthritis: the study on osteoarthritis progression prevention, a two-year, randomized, double-blind, placebo-controlled trial, Arthritis Rheum, 2009;60:524-533.
  16. Arden NK, Cro S, Sheard S et al. The effect of vitamin D supplementation on knee osteoarthritis, the VIDEO study: a randomised controlled trial, Osteoarthritis Cartilage, 2016;24:1858-1866
  17. Bingham CO III, Buckland-Wright JC, Garnero P et al. Risedronate decreases biochemical markers of cartilage degradation but does not decrease symptoms or slow radiographic progression in patients with medial compartment osteoarthritis of the knee: results of the two-year multinational knee osteoarthritis structural arthritis study, Arthritis Rheum, 2006;54:3494-3507.
  18. (en) Clegg DO et al. « Glucosamine, chondroitin sulfate, and the two in combination for painful knee osteoarthritis » N Engl J Med 2006;354(8):795-808. PMID 16495392
  19. Fransen M, Agaliotis M, Nairn L et al; LEGS Study Collaborative Group. Glucosamine and chondroitin for knee osteoarthritis: a double-blind randomised placebo-controlled clinical trial evaluating single and combination regimens, Ann Rheum Dis, 2015;74:851-858.
  20. McAlindon TE, LaValley MP, Harvey WF et al. Effect of intra-articular triamcinolone vs saline on knee cartilage volume and pain in patients with knee osteoarthritis: a randomized clinical trial, JAMA, 2017;317:1967-1975
  21. Dougados M, Nguyen M, Listrat V, Amor B, High molecular weight sodium hyaluronate (hyalectin) in osteoarthritis of the knee: a 1 year placebo-controlled trial, Osteoarthritis Cartilage, 1993;1:97-103
  22. (en) « Viscosupplementation for knee osteoarthritis: systematic review and meta-analysis », BMJ, , o2190 (ISSN 1756-1833, PMCID PMC9453299, DOI 10.1136/bmj.o2190, lire en ligne, consulté le )
  23. Rutjes AWS, Jüni P, da Costa BR, Trelle S, Nüesch E, Reichenbach S, Viscosupplementation for osteoarthritis of the knee: a systematic review and meta-analysis, Ann Intern Med, 2012;157:180-191
  24. Ertürk C, Altay MA, Altay N, Kalender AM, Öztürk İA, Will a single periarticular lidocaine-corticosteroid injection improve the clinical efficacy of intraarticular hyaluronic acid treatment of symptomatic knee osteoarthritis?, Knee Surg Sports Traumatol Arthrosc, 2016;24:3653-3660
  25. Jørgensen A, Stengaard-Pedersen K, Simonsen O et al. Intra-articular hyaluronan is without clinical effect in knee osteoarthritis: a multicentre, randomised, placebo-controlled, double-blind study of 337 patients followed for 1 year, Ann Rheum Dis, 2010;69:1097-1102
  26. Thorlund JB, Juhl CB, Roos EM, Lohmander LS, Arthroscopic surgery for degenerative knee: systematic review and meta-analysis of benefits and harms, BMJ, 2015;350:h2747-h2747
  27. Brignardello-Petersen R, Guyatt GH, Buchbinder R et al. Knee arthroscopy versus conservative management in patients with degenerative knee disease: a systematic review, BMJ Open, 2017;7(5):e016114-e016114
  28. Shan L, Shan B, Suzuki A, Nouh F, Saxena A, Intermediate and long-term quality of life after total knee replacement: a systematic review and meta-analysis, J Bone Joint Surg Am, 2015;97:156-168.

Voir aussi

Articles connexes

  • icône décorative Portail de la médecine
Cet article est issu de Wikipedia. Le texte est sous licence Creative Commons – Attribution – Partage à l’identique. Des conditions supplémentaires peuvent s’appliquer aux fichiers multimédias.