Giardiase

Guardiose
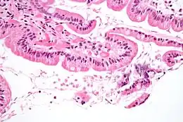
Description de cette image, également commentée ci-après
Lambliase sur une biopsie duodenale. Coloration H&E.
Causes Giardia lamblia
Transmission Contamination féco-orale
Symptômes Flatulence, diarrhée, nausée, asthénie, anorexie, douleur abdominale, irritabilité, fatigue physiologique (d), trouble du sommeil, céphalée, ballonnement abdominal (en) et vomissement
Traitement
Médicament Quinacrine, furazolidone (en), albendazole, Nitazoxanide, métronidazole, tinidazole et ornidazole (en)
Spécialité Infectiologie et gastro-entérologie
Classification et ressources externes
CIM-10 A07.1
CIM-9 007.1
DiseasesDB 5213
MedlinePlus 000288
eMedicine 176718
MeSH D005873
Patient UK Giardiasis

Wikipédia ne donne pas de conseils médicaux Mise en garde médicale

La guardiose, aussi appelée giardiose, giardiase, gouardiose, , ou encore lambliase, est une maladie parasitaire fréquente, cosmopolite, le plus souvent bénigne lorsqu’elle est bien traitée. C'est également une zoonose[1]. Elle est due à Giardia intestinalis [1] (aussi appelé Giardia duodenalis[1], Giardia lamblia[1] ou Lamblia intestinalis) : un parasite flagellé[1] qui infeste le tractus gastro-intestinal.

Hôtes

Giardia affecte les humains. Il est également l’un des parasites les plus répandus chez les chats[1]. Leurs hôtes sont divers on compte notamment les bovins, les castors, les oiseaux, les cerfs communs, les chiens[1] et les agneaux.

Giardia est une cause importante de maladie intestinale dans le monde entier et la cause non-bactérienne la plus fréquente de diarrhée en Amérique du Nord. Néanmoins, la biologie élémentaire de ce parasite est mal comprise.

Cycle parasitaire

Le cycle parasitaire de Giardia intestinalis.

Giardia appartient à l’ordre des diplomonadidas.

La maladie est due à l’infestation par des protozoaires flagellés : Giardia intestinalis. Les parasites vivent dans l’intestin grêle, à la surface des villosités intestinales. Lors de leur passage dans le côlon, ils se transforment en forme kystique, très résistantes, et sont passivement éliminés avec les selles. Les kystes survivent dans la nature, et vont contaminer un nouvel hôte par ingestion de nourriture ou d’eau contaminée, ou par portage à la bouche de mains souillées. La lambliase est étroitement liée au péril fécal, sa prévalence est corrélée au degré d’hygiène collective et individuelle, au traitement des eaux usées, etc.

Toutes les personnes contaminées ne montrent pas forcément des symptômes d’infection, mais elles peuvent être cependant porteuses de la maladie.

L’infection par Giardia est un risque pour les personnes campant dans le désert ou nageant dans des cours d’eau ou des lacs souillés, particulièrement les lacs artificiels constitués par les retenues des barrages de castor (d’où le nom populaire de la lambliase, appelée « fièvre du castor »). Giardia peut être ingéré dans les aires de camping, les centres de plein air, il s’agit d’une maladie transmise par l’eau et qui est également hautement transmissible à d’autres membres de la famille une fois qu’un individu est infecté.

Les autres causes peuvent être la consommation de nourriture crue, les puits souillés et des défaillances dans les systèmes municipaux d’adduction d’eau mais également les pratiques sexuelles, mais aussi de bains et douches chez des tiers contaminé si le pommeau n'a pas été désinfecté au préalable, l'eau infestée pouvant dès lors être absorbée[2].

Le cycle parasitaire commence par un kyste non infestant éliminé dans les selles d’un individu infecté. Une fois dans l’environnement extérieur, le kyste devient infestant. Un caractère distinctif du kyste est qu’il possède 4 noyaux et un cytoplasme rétracté. Une fois ingéré par l’hôte, le trophozoïte arrive à un stade actif et il est capable de se mouvoir pour trouver sa nourriture. Il se nourrit aux dépens de la muqueuse à l’intérieur du tractus digestif et provoque chez l’hôte des douleurs épigastriques, une distension gazeuse excessive, une diarrhée graisseuse avec du mucus mais pas de sang. Ces symptômes peuvent durer 2 à 4 semaines mais pour un individu intolérant au lactose, les troubles peuvent persister jusqu’à six mois. Après l’étape de prolifération, le trophozoïte subit la phase de reproduction asexuée par scissiparité. Les trophozoites et les kystes résultants de la division traversent alors le système digestif et sont éliminés dans les selles. Les caractères distinctifs des trophozoïtes sont de grands caryosomes et le manque de chromatine périphérique, donnant aux deux noyaux l’aspect d’un halo. C’est une forme primitive de protozoaires à laquelle font également défaut les mitochondries.

Diagnostic

L’infestation est asymptomatique dans la grande majorité des cas. On peut cependant observer, en particulier chez les individus porteurs de quantité massive de parasites, une forme de gastroentérite qui se manifeste par une diarrhée grave et des crampes abdominales.

D’autres symptômes peuvent être associés, généralement des troubles digestifs non spécifiques tels que ballonnements, flatulences, nausées, vomissements, asthénie et perte de poids. Chez quelques patients, les vomissements ou les nausées sont les symptômes principaux. Les symptômes se manifestent habituellement sept à dix jours environ après l’ingestion du parasite.

Les enfants sont exposés au risque de destruction des villosités digestives, ce qui entraîne un syndrome de malabsorption digestive.

Le diagnostic de certitude est apporté par l’examen parasitologique des selles, qui retrouve des kystes typiques. La sérologie est sans intérêt[3].

Manifestations cliniques chez l’animal

La nomenclature des espèces de Giardia est difficile puisque les humains et d’autres animaux semblent héberger des parasites morphologiquement identiques. Les chats peuvent être traités facilement, les agneaux perdent habituellement seulement du poids, mais chez les veaux les parasites peuvent être mortels et souvent ne répondent pas aux antibiotiques ou aux autres traitements. Les porteurs du parasite chez le veau peuvent également être asymptomatiques. Les chiens ont davantage de problèmes puisque habituellement 30 % de la population au-dessous d’un an est infectée dans les élevages. C’est avant tout un « problème de chiot » plus qu'un problème d’adultes. De plus, ce parasite est mortel pour des chinchillas, c’est pourquoi des soins supplémentaires doivent leur être prodigués notamment en veillant à leur fournir de l'eau non contaminée.

Le traitement de la maladie dans les élevages peut être efficace si on identifie les chiens infectés et qu’on les isole ou qu’on administre un traitement collectif, suivi d’un nettoyage complet du chenil avec un agent de nettoyage détergent et un désinfectant. La pelouse utilisée pour l’exercice des animaux devrait être considéré comme contaminée pendant au moins un mois puisque les kystes peuvent survivre dans l’environnement pendant ce laps de temps. La prévention peut être complétée par une quarantaine d’au moins 20 jours pour parvenir à une élimination complète des kystes de l’eau potable.

Traitement

Le traitement repose sur la prise d’un antiparasitaire nitro-imidazolé comme le métronidazole pendant 5 à 7 jours, le tinidazole en une prise ou le secnidazole[4]. Le traitement préventif des sujets contacts n’est pas systématique.

En avril 2021 parait une étude internationale montrant l’efficacité de l’Artemisia annua contre le protozoaire Giardia intestinalis[5].

Prophylaxie

La prévention collective passe par la prévention du péril fécal. Il est recommandé de faire bouillir l’eau 1 minute[1] ou d’utiliser un système de filtration[1]. Le traitement de l’eau potable pour éliminer le Giardia implique généralement des techniques de filtration avec un rendement élevé et/ou une désinfection avec un produit chimique comme le l’ozone.

La désinfection des chenils peut être faites avec 1 % d'hypochlorite de sodium, 2 % de glutaraldéhyde, ou des composés d'ammonium quaternaire[1]. Les kystes sont relativement résistants à la chloration, et ajouter des niveaux de chlore dans l'eau potable est insuffisant pour inactiver les kystes[1].

Deux giardia lamblia sur le point de se diviser, image par microscopie électronique par balayage recolorée.

État actuel de la recherche

Giardia se rencontre alternativement sous deux formes différentes ; une forme de résistance, le kyste dormant qui contamine l’eau ou la nourriture et une forme végétative active, à l’origine de la maladie, la forme qui éclot après l’ingestion du parasite. À l’Institut national des sciences médicales le Dr Frances Gillin de l’université de Californie, à San Diego et ses collègues ont cultivé le parasite en laboratoire à tous les stades de son cycle parasitaire et identifié les sélections biochimiques dans le système digestif de l’hôte qui induisent les transformations du Giardia au cours de son cycle de vie[6],[7]. Elles ont également découvert plusieurs procédés utilisés par le parasite pour déjouer les défenses de l’organisme infecté. Une de ces ruses consiste à modifier la protéine de surface du Giardia pour prendre en défaut les capacités du système immunitaire de l’animal infecté à détecter et combattre le parasite. Le travail de Gillin indique pourquoi les infections par Giardia sont extrêmement persistantes et ont tendance à récidiver. En outre, ces découvertes sur la biologie du Giardia et de ses techniques de survie peuvent permettre à des scientifiques de développer de meilleures stratégies pour comprendre, empêcher, et traiter des infections à Giardia.

Historique

La forme trophozoïte du Giardia a été observée pour la première fois en 1681 par Antoni van Leeuwenhoek dans ses propres selles diarrhéiques. Ses observations ont été recréées, en utilisant un microscope à une seule lentille du type de celui utilisé par Leeuwenhoek, par le microbiologiste britannique Brian J. Ford qui montrait comment on pouvait voir le parasite. (en)Giardia through a primitive microscope[PDF].

Epidémiologie

Dans les pays en développement Giardia est présent dans 30 % de la population[8]. Aux États-Unis, il est estimé qu'il est présent dans 3–7 % de la population[8].

On estime à 280 millions de cas de giardiase symptomatique chaque année dans le monde[1].

Liens externes

Références

  1. 1 2 3 4 5 6 7 8 9 10 11 12 Kevin J. Esch et Christine A. Petersen, « Transmission and Epidemiology of Zoonotic Protozoal Diseases of Companion Animals », Clinical Microbiology Reviews, vol. 26, , p. 58–85 (ISSN 0893-8512, PMID 23297259, PMCID 3553666, DOI 10.1128/CMR.00067-12, lire en ligne, consulté le ) « The disinfection of kennels can be accomplished with 1% sodium hypochlorite (20% commercial bleach), 2% glutaraldehyde, or quaternary ammonium compounds (92). Cysts are relatively resistant to chlorination, and levels of chlorine in drinking water are inadequate to inactivate cysts. »
  2. Morgane Garnier, « Hygiène : pourquoi votre pommeau de douche peut être dangereux », sur www.medisite.fr (consulté le )
  3. « Giardiase : quand y penser ? », sur www.larevuedupraticien.fr (consulté le )
  4. Jean Delmont et Eric Pichard (coordonnateurs), Collège des universitaires de maladies infectieuses et tropicales, e-Pilly Trop, 2012, 972 pages, chapitre 98 « Parasitoses intestinales », pages 756-763 ([PDF] lire en ligne, fichier de 28 Mo)
  5. https://www.mdpi.com/2079-6382/10/5/477
  6. Hetsko ML, McCaffery JM, Svärd SG, Meng TC, Que X, Gillin FD, « Cellular and transcriptional changes during excystation of Giardia lamblia in vitro », Experimental Parasitology, vol. 88, no 3, , p. 172–83 (PMID 9562420, DOI 10.1006/expr.1998.4246)
  7. Svärd SG, Meng TC, Hetsko ML, McCaffery JM, Gillin FD, « Differentiation-associated surface antigen variation in the ancient eukaryote Giardia lamblia », Molecular Microbiology, vol. 30, no 5, , p. 979–89 (PMID 9988475, DOI 10.1046/j.1365-2958.1998.01125.x)
  8. 1 2 Paul S. Auerbach, Wilderness medicine, Philadelphia, PA, Elsevier/Mosby, , 6th éd., Chapter 68 (ISBN 978-1-4377-1678-8)
  • icône décorative Portail de la médecine
  • icône décorative Portail de l'ornithologie
  • icône décorative Portail de la parasitologie
  • icône décorative Portail de la médecine vétérinaire
Cet article est issu de Wikipedia. Le texte est sous licence Creative Commons – Attribution – Partage à l’identique. Des conditions supplémentaires peuvent s’appliquer aux fichiers multimédias.