Gangrène gazeuse

Gangrène gazeuse
Description de cette image, également commentée ci-après
Photographie prise avant amputation d'une jambe (hemipelvectomie) en raison d'une gangrène gazeuse. La cuisse droite est gonflée, œdémateuse et décolorée avec taches violacées nécrotiques et grosses cloques bulleuses. Une crépitation impressionnante se fait à la palpation. À ce stade, le patient est en état de choc.
Symptômes Nécrose et gangrène
Traitement
Spécialité Infectiologie
Classification et ressources externes
CIM-10 A48.0
CIM-9 040.0
DiseasesDB 31141
MedlinePlus 000620
eMedicine 782709
emerg/211 med/394
MeSH D005738

Wikipédia ne donne pas de conseils médicaux Mise en garde médicale

La gangrène gazeuse (ou myonécrose clostridienne) est une infection microbienne essentiellement provoquée par une bactérie anaérobie, le Clostridium perfringens. L'infection peut apparaître à la suite de certains types de chirurgie ou de blessures. Cette infection a une diffusion rapide, qui aboutit rapidement à la mort en l’absence de traitement. Des vésicules contenant des bulles de gaz se forment près de la zone infectée et sont accompagnées de fièvre, d’un rythme cardiaque et d’une respiration rapides, et souvent, de douleur au site de l’infection.

Histoire

Les infections de ce type étaient et restent les plus fréquentes sur des plaies de guerre. C'était l'une des infections les plus redoutées lors des guerres du passé (guerre de Sécession, Première Guerre mondiale), souvent soignée par l'amputation du membre touché ou conclue par la mort du patient.

Elle se contracte aussi après contamination lors d’une intervention chirurgicale.

Elle reste grave en dépit des progrès permis par les antibiotiques et l’utilisation de l’oxygénothérapie hyperbare.

Causes

La gangrène gazeuse se développe généralement à la suite d'une blessure ou d'une intervention chirurgicale. Les blessures à haut risque sont les plaies qui :

  • Sont profondes et sévères
  • Impliquent le muscle
  • Sont contaminées par de la boue, des matières végétales en décomposition ou des matières fécales
  • Renferment du tissu écrasé ou nécrosé (mort)

Les interventions chirurgicales à haut risque comprennent :

  • Les opérations du côlon ou de la vésicule biliaire

Dans de rares cas, une gangrène gazeuse se développe sans lésion ni intervention chirurgicale, généralement chez des personnes atteintes d’un cancer du côlon, d’une diverticulite ou d’une affection réduisant l’apport en sang vers l’intestin ou entraînant des fuites à travers la paroi de l’intestin. Une gangrène peut se développer quand des bactéries qui vivent dans l’intestin fuient. Les bactéries peuvent se répandre largement.

Symptômes

La gangrène gazeuse[1] provoque d’importantes douleurs de la région infectée. Au début, la zone est enflée et pâle puis elle peut ensuite devenir rouge, puis bronze et finalement vert noirâtre. La zone est ferme et sensible au toucher. De volumineuses vésicules se forment fréquemment. On peut voir les bulles de gaz dans ces vésicules ou les sentir sous la peau, habituellement au cours de l’évolution de la maladie. Les liquides extraits de la plaie sentent mauvais (odeur putride).

Rapidement, les patients deviennent fiévreux, se mettent à transpirer et sont très anxieux. Ils peuvent vomir. Souvent les fréquences cardiaque et respiratoire s’accélèrent. Il y a apparition d’une coloration jaune de la peau (jaunisse) chez certains patients. Ces effets sont dus aux toxines sécrétées par la bactérie.

Typiquement, les patients restent conscients très longtemps, puis la pression artérielle chute dangereusement (choc) et un coma s’installe. Puis apparaît une insuffisance rénale et rapidement, le patient décède.

Sans traitement, le décès survient chez 100 % des personnes infectées, en général dans les 48 heures. Même avec un traitement, environ une personne sur quatre meurt.

Diagnostic

  • Examen et mise en culture du liquide provenant de la plaie
  • Parfois, chirurgie exploratoire ou biopsie pour obtenir un échantillon de tissu

Une gangrène gazeuse est suspectée selon les symptômes et les résultats d’un examen clinique. Des radiographies permettent de mettre en évidence les bulles de gaz au niveau des tissus musculaires ; une tomodensitométrie (TDM) ou une IRM (imagerie par résonance magnétique) est réalisée pour mettre en évidence les zones de tissu musculaire mort. Ces découvertes étayent le diagnostic. Cependant, des bulles de gaz peuvent aussi apparaître au cours d’autres infections par des bactéries anaérobies. Les liquides provenant de la plaie sont examinés au microscope à la recherche de clostridies, puis sont envoyés à un laboratoire où les bactéries, si présentes, peuvent être mises en culture et analysées. Les cultures peuvent confirmer la présence de clostridies. Cependant, toutes les personnes infectées par des clostridies ne développent pas une gangrène gazeuse. La confirmation du diagnostic peut nécessiter de réaliser une chirurgie exploratoire ou un examen microscopique du prélèvement d’un échantillon de tissu (biopsie) pour mettre en évidence les modifications caractéristiques au niveau musculaire.

Prévention

Pour prévenir l’apparition d’une gangrène gazeuse, les actes médicaux suivants doivent être réalisés :

  • Nettoyage minutieux des plaies
  • Élimination des corps étrangers et des tissus nécrosés au niveau des plaies
  • Traitement antibiotique avant, pendant et après une intervention chirurgicale abdominale pour prévenir l’infection

Il n’existe aucun vaccin préventif de l’infection à clostridies.

Traitement

  • Antibiotiques
  • Chirurgie pour éliminer les tissus morts et infectés

Dès qu’une gangrène gazeuse est suspectée, le traitement doit débuter immédiatement.

De fortes doses d’antibiotique, en général de la pénicilline ou de la clindamycine, sont administrées, associées à l’ablation chirurgicale de tous les tissus morts et infectés. L’amputation du membre atteint est nécessaire dans un cinquième des cas environ.

Le traitement dans des caissons à haute pression en oxygène (oxygène hyperbare) peut aussi être efficace, toutefois, ces caissons ne sont pas toujours facilement accessibles.

Voir aussi

Illustrations

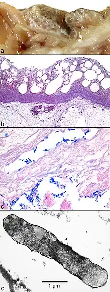
Vues (macroscopique et microscopique) chez un patient mort d'une gangrène gazeuse intestinale
(a) Parois intestinales œdémateuses avec multiples kystes sous-muqueux et sous-séreux. (b) Vue histologique de la muqueuse intestinale avec des nécroses non-réactives. (c) Bactéries (d) Vue en microscopie électronique d'une bactérie trouvée dans un kyste sous-muqueux.
Culture de bactéries responsables de gangrène gazeuse dans une éprouvette de gélatine (Archives médicales militaires américaines).

Notes et références

  1. « Gangrène gazeuse (myonécrose clostridienne) », sur www.merckmanuals.com/fr-ca (consulté le )
  • icône décorative Portail de la médecine
  • icône décorative Portail des maladies infectieuses
Cet article est issu de Wikipedia. Le texte est sous licence Creative Commons – Attribution – Partage à l’identique. Des conditions supplémentaires peuvent s’appliquer aux fichiers multimédias.