Ganglioneurome
| Spécialité | Oncologie |
|---|
| CIM-10 | D361 |
|---|---|
| ICD-O | 9490/0 |
| MedlinePlus | 001437 |
| MeSH | D005729 |
Mise en garde médicale
Le ganglioneurome est une tumeur rare et bénigne des fibres nerveuses autonomes provenant des sympathogonies de la crête neurale, qui sont des cellules complètement indifférenciées du système nerveux sympathique[1]. Cependant, les ganglioneuromes eux-mêmes sont des tumeurs neuronales entièrement différenciées qui ne contiennent pas d'éléments immatures[2].
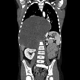
Les ganglioneuromes se situent le plus souvent dans l'abdomen, mais ces tumeurs peuvent se développer partout où l'on retrouve du tissu nerveux sympathique. D'autres localisations courantes incluent la glande surrénale, le rétropéritoine paraspinal, le médiastin postérieur, la tête et le cou[1].
Symptômes
Un ganglioneurome est généralement asymptomatique et n'est typiquement découvert que lorsqu'une autre condition est recherchée. Chaque symptôme dépend de l'emplacement de la tumeur et des organes voisins affectés.
Par exemple, une tumeur dans la poitrine peut entraîner des difficultés respiratoires, des douleurs thoraciques et une compression de la trachée. Si la tumeur est située plus bas dans l'abdomen, elle peut provoquer des douleurs abdominales et des ballonnements. Une tumeur près de la moelle épinière peut provoquer une déformation de la colonne vertébrale ou une compression vertébrale, entraînant des douleurs et une perte de contrôle musculaire ou de sensations dans les jambes et / ou les bras[3].
Ces tumeurs peuvent produire certaines hormones, pouvant provoquer des diarrhées, une hypertrophie du clitoris (chez les femmes), une hypertension artérielle, une augmentation des poils corporels et de la transpiration[3].
Cause
Il n'y a aucun facteur de risque connu pour les ganglioneuromes. Cependant, les tumeurs peuvent être associées à certains problèmes génétiques, tels que la neurofibromatose de type 1[3].
Pathologie

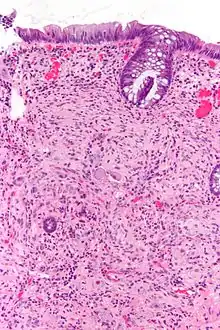
Pathologiquement, les ganglioneuromes sont composés de cellules ganglionnaires, de cellules de Schwann et de tissu fibreux[4]. Les ganglioneuromes sont des tumeurs solides et fermes, généralement de couleur blanche à l'œil nu.
Diagnostic
Les ganglioneuromes peuvent être diagnostiqués par une tomodensitométrie, un IRM ou une échographie de la tête, de l'abdomen ou du bassin. Des analyses de sang et d'urine peuvent être effectuées pour déterminer si la tumeur sécrète des hormones ou d'autres produits chimiques en circulation. Une biopsie de la tumeur peut être nécessaire pour confirmer le diagnostic[3].
Traitement
Un traitement contre le neurogangliome peut ne pas être nécessaire car la tumeur est bénigne ; cela exposerait les patients à des risques supplémentaires. S'il y a des symptômes ou une déformation physique majeure, le traitement consiste généralement en une intervention chirurgicale pour enlever la tumeur.
Pronostic
La plupart des ganglioneuromes sont non cancéreux, donc le pronostic est généralement bon. Cependant, un ganglioneurome peut devenir cancéreux et se propager à d'autres régions, ou il peut repousser après sa résection.
Si la tumeur est présente depuis longtemps et appuie sur la moelle épinière ou cause d'autres symptômes, elle peut causer des dommages irréversibles qui ne seront pas corrigés par l'ablation chirurgicale de la tumeur. La compression de la moelle épinière peut entraîner une paralysie, surtout si la cause n'est pas détectée rapidement[3].
Tumeurs neuroblastiques
Il est contenu dans le groupe des tumeurs neuroblastiques, qui comprend[5] :
- Ganglioneurome (bénin)
- Ganglioneuroblastome (intermédiaire).
- Neuroblastome (agressif)
Références
- (en) Cet article est partiellement ou en totalité issu de l’article de Wikipédia en anglais intitulé « Ganglioneuroma » (voir la liste des auteurs).
- 1 2 Jedynak, « Imaging in Ganglioneuroma and Ganglioneuroblastoma », Medscape, WedbMD (consulté le )
- ↑ Shin, Lee, Khang et Kim, « Neuronal tumors of the central nervous system: radiologic findings and pathologic correlation. », Radiographics, vol. 22, no 5, , p. 1177–89 (PMID 12235346, DOI 10.1148/radiographics.22.5.g02se051177)
- 1 2 3 4 5 Dugdale et Jasmin, « Ganglioneuroma », MedlinePlus, A.D.A.M. Medical Encyclopedia, (consulté le )
- ↑ Weerakkody, « Ganglioneuroma », Radiopaedia.org, Radiopaedia (consulté le )
- ↑ « Terminology and morphologic criteria of neuroblastic tumors: recommendations by the International Neuroblastoma Pathology Committee », Cancer, vol. 86, no 2, , p. 349–63 (PMID 10421272, DOI 10.1002/(sici)1097-0142(19990715)86:2<349::aid-cncr20>3.0.co;2-y)
- Portail de la médecine