Fracture du tibia

La fracture du tibia est fréquente, surtout dans la pratique du ski. Elle s'accompagne souvent de celle du péroné.
Dans l'entorse grave du genou, l'arrachement du ligament croisé antérieur peut être associé à une fracture de la tête du tibia, dite fracture de Segond.
Étiologie
Les fractures du tibia surviennent soit dans des mécanismes de torsion soit par choc direct en général dans des traumatismes à haute vélocité.
Dans 78 % des cas, une fracture du péroné est associée à une fracture tibiale[1].
Traitement
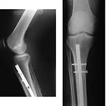
La fracture du tibia est généralement traitée par ostéosynthèse, c'est-à-dire par le replacement éventuel et le maintien de l'os en position anatomique, le plus souvent avec un clou centro-médullaire ou bien à l'aide de plaques et de vis. Dans la fracture double de la jambe, le péroné n'est traité par ostéosynthèse que s'il est atteint à proximité d'une articulation (genou ou cheville). L'ostéosynthèse accélère la reprise de l'appui, qui ne se fait qu'après contrôle radiographique de la consolidation.
Pronostic
La majorité des personnes (88 %) qui ont eu une fracture du tibia ne touchant pas la cheville ou le genou sont satisfaits de leur récupération et reprennent leurs activités comme avant[2].
Notes et références
- ↑ Mohammad Javdan, Mohammad Ali Tahririan et Morteza Nouri, « The Role of Fibular Fixation in the Treatment of Combined Distal Tibia and Fibula Fracture: A Randomized, Control Trial », Advanced Biomedical Research, vol. 6, , p. 48 (ISSN 2277-9175, PMID 28620592, PMCID 5433694, DOI 10.4103/2277-9175.205190, lire en ligne, consulté le )
- ↑ (en) Xin Duan, Mohammed Al-Qwbani, Yan Zeng et Wei Zhang, « Intramedullary nailing for tibial shaft fractures in adults », Cochrane Database of Systematic Reviews, (DOI 10.1002/14651858.CD008241.pub2, lire en ligne, consulté le )
- Portail de la médecine