Fracture de Pouteau-Colles

Une fracture de Pouteau-Colles est une rupture osseuse, avec déplacement dorsal, du radius (situé dans l'avant-bras). Elle se caractérise par un déplacement du poignet et donc de la main.
Terminologie
Elle désigne la fracture de l'extrémité distale (loin de l'épaule) du radius avec déplacement dorsal et radial, ainsi qu'une bascule postérieure. La rupture de l'os se situe à proximité de l'articulation radio-carpienne (en général entre 2 et 5 cm).
Causes
Cette fracture se rencontre lors de chute vers l'arrière avec réception sur une surface dure, bras et coude tendu, l’avant-bras en pronation et poignet en extension et déviation radiale. La fracture de Pouteau-Colles se rencontre fréquemment chez les personnes atteintes d'ostéoporose ou à la suite de traumatismes sportifs.
Les fractures de Colles peuvent apparaître à tout âge, cependant certains cas typiques sont caractéristiques de l'âge du patient :
- Très commun chez les femmes ménopausées souffrant d’ostéoporose.
- Chez les personnes âgées, provoquée par la fragilité du cortex, la fracture est le plus souvent extra-articulaire.
- Cependant, un impact plus fort est nécessaire pour causer ce genre de fracture chez les jeunes et celles-ci sont habituellement plus complexes et intra-articulaires. Chez les enfants qui ont toujours des plaques de croissances actives, la fracture équivalente est le glissement épiphysaire.
Diagnostic

- Mécanisme : compression en extension de la main.
- Inspection
- Attitude de Dessault (membre sain soutient le membre traumatisé).
- De face : main en baïonnette (translation externe et saillie de la styloïde ulnaire).
- De profil : aspect en "dos de fourchette" (bascule postérieure du fragment distale du radius).
- Palpation
- Douleur à la palpation de la styloïde radiale.
- Horizontalisation de la ligne bi-styloïdienne par ascension de la styloïde radiale (signe de Laugier).
- Signe négatif : mobilité passive conservée (caractère sus articulaire de la fracture).
- Paraclinique
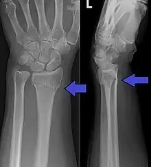
- radiologie

- De face : trait simple, transversal, sus articulaire, métaphysaire.
- Bascule externe de l'épiphyse radiale.
- Horizontalisation de la ligne bi-styloïdienne.
- De profil : bascule postérieure épiphyse radiale.
Quand cette fracture est associée à un arrachement de la styloïde ulnaire on parle de fracture de Gérard Marchant.
Traitement
Le but du traitement est de restituer l’anatomie osseuse et articulaire par une réduction, et de maintenir cette réduction par un moyen de stabilisation permettant d’éviter les déplacements secondaires.
Cette réduction s’effectue, par manœuvres externes, sous anesthésie soit générale, soit locorégionale.
Selon la gravité de la fracture, le degré de déplacement et l'âge du patient, il sera ou non nécessaire de recourir à une opération chirurgicale.
La fracture de Pouteau-Colles peut être traitée orthopédiquement.
Réduction puis, en fonction de la stabilité de la fracture :
- soit contention par un plâtre brachio-antebrachio-palmaire pendant six semaines ;
- soit ostéosynthèse par brochage associée à une immobilisation par plâtre.
Éponymie
Le nom de cette fracture a été donné en mémoire de Claude Pouteau qui a été le premier à la décrire, suivi par Abraham Colles (1773–1843), chirurgien Irlandais qui l'a décrite en 1814 par observation de la déformation typique de l'avant-bras à la suite de cette fracture, et ce, avant l'avènement de la radiographie aux rayons X. Ernest Amory Codman a ensuite été le premier à l'étudier à l'aide des rayons X dans son article, publié dans le Boston Medical and Surgical Journal, aujourd'hui connu sous le nom de The New England Journal of Medicine[1],[2].
Notes et références
- ↑ (en) Bill Mallon, Ernest Amory Codman : the end result of a life in medicine, Philadelphie, Saunders, , 195 p. (ISBN 978-0-7216-8461-1, LCCN 99019074)
- ↑ E. A. Codman, « A Study of the X-Ray Plates of One Hundred and Forty Cases of Fracture of the Lower End of the Radius », The Boston Medical and Surgical Journal, vol. 143, no 13, , p. 305–308 (ISSN 0096-6762, DOI 10.1056/NEJM190009271431301)
- Portail de la médecine