Entorse de Lisfranc
| eMedicine | 1236228 |
|---|
Mise en garde médicale
Une entorse de Lisfranc, également connue sous le nom de fracture-luxation de Lisfranc, est une blessure du pied dans laquelle un ou plusieurs métatarses sont déplacés par rapport aux os du tarse[1],[2].
La blessure porte le nom de Jacques Lisfranc de Saint-Martin (2 avril 1790 – 13 mai 1847), un chirurgien et gynécologue Français qui mit au point, en 1815, un type d'amputation passant par l'articulation tarso-métatarsienne chez les soldats souffrant d'engelures aux pieds durant la guerre de la Sixième Coalition[3],[4].
Causes

C1 = cunéiforme médial
M2 = 2e base métatarsienne
M3 = 3e base métatarsienne
Rouge = ligament dorsal de Lisfranc
Bleu = ligament de Lisfranc interosseux
Vert = ligament plantaire de Lisfranc.
Le milieu du pied se compose des cinq os qui forment les arcades du pied (le cuboïde, le naviculaire et les trois os cunéiformes) et de leurs articulations avec la base des cinq métatarses. Ces articulations sont endommagées dans l'entorse de Lisfranc. De telles blessures impliquent généralement les ligaments entre l'os cunéiforme médial et les bases des deuxième et troisième métatarses[5].
Les entorses de Lisfranc surviennent lorsqu'une force excessive est appliquée directement ou indirectement au milieu du pied et sont souvent observées lors de collisions de la route (le pied écrasant la pédale du frein), d'accidents sportifs ou de travail[3],[6].
Les entorses traumatiques de Lisfranc sont généralement causées par une blessure par écrasement, comme un objet lourd tombant sur le milieu du pied, le pied se faisant écraser par une voiture ou un camion, ou à la suite d'une chute d'une hauteur importante[7]. Les blessures indirectes de Lisfranc sont causées par une force de rotation soudaine sur un avant-pied en flexion plantaire (pointant vers le bas)[6]. Par exemple, un cavalier tombant d'un cheval mais le pied restant coincé dans l'étrier ou un travailleur chutant avec le pied coincé dans une échelle[3].
Dans les traumatismes sportifs, les blessures de Lisfranc surviennent fréquemment dans des activités telles que la planche à voile, le kitesurf, le wakeboard ou la planche à neige (où les fixations s'attachent directement au-dessus des métatarsiens)[8]. Dans les sports de contact, cela se produit le plus souvent lorsque le pied de l'athlète est en flexion plantaire et qu'un autre joueur lui tombe sur le talon. Une rotation au niveau de l'avant-pied dans des sports comme le ballet peut aussi causer de telles blessures.
Diagnostic

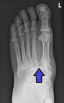
Lors d'une blessure traumatique à haute vélocité au milieu du pied, le diagnostic d'une entorse de Lisfranc doit être évoqué. Face à une telle blessure, la suspicion clinique doit être élevée. Dans certains cas, on peut noter à l'examen physique une plaie sus-jacente et une compromission de l'apport sanguin au pied distal. On note une déformation du milieu du pied et des anomalies évidentes à la radiographie. La trouvaille radiographique classique est un espace entre la base des premier et deuxième orteils[9].
Le diagnostic est plus difficile dans le cas de traumatismes à faible énergie, notamment dans les sports. À l'histoire, le patient peut se présenter seulement avec un inconfort à la mise en charge et un léger gonflement de l'avant-pied ou du milieu du pied. Des ecchymoses de la voûte plantaire ont été décrites comme diagnostiques dans ces circonstances mais pourraient bien être absentes[10]. En règle générale, la radiographie conventionnelle du pied est utilisée avec des vues standard sans mise en charge, complétées par des vues avec mise en charge, qui peuvent démontrer un élargissement de l'intervalle entre les bases du premier et deuxième orteils lorsque les vues initiales ne montrent pas d'anomalie. Les radiographies dans de telles circonstances ont une sensibilité de 50% sans mise en charge et de 85% avec mise en charge[11].
Dans le cas de radiographies apparemment normales et persistence de la suspicion clinique persiste, une imagerie par résonance magnétique (IRM) ou une tomodensitométrie (TDM) est indiquée[12].
Classification
L'entorse peut être classifiée de trois façons[13] :
- homolatérale : les cinq métatarsiens sont déplacés dans la même direction. Le déplacement latéral peut également suggérer une fracture cuboïdale ;
- isolée : un ou deux métatarsiens sont déplacés des autres ;
- divergents : les métatarsiens sont déplacés dans un plan sagittal ou coronaire et peuvent également impliquer la zone intercunéiforme et inclure une fracture naviculaire.
Traitement
Les options incluent un traitement opératoire ou non opératoire. Chez les athlètes, et si la luxation est inférieure à 2 mm, la fracture peut être gérée par immobilisation sans mise en charge pendant six semaines[14]. Si la douleur persiste, une botte de marche pour 4 semaines supplémentaires est indiquée.
Dans la majorité des cas, une réduction anatomique précoce et une fixation sont indiquées[15]. La réduction fermée et la stabilisation interne par un fil de Kirschner (fil K) est indiquée dans les entorses sans fractures adjacentes.
Dans les cas d'entorse de Lisfranc avec fracture concomitante des métatarses ou des cunéiformes, une réparation avec plaque dorsale et vis de Lisfranc est préférée. Le patient est mis dans un plâtre pour 2-3 semaines puis dans une botte de marche sans mise en charge pour 4-6 semaines supplémentaires. Le matériel n'est pas retiré d'emblée. Le retour au sport débute généralement 8-12 mois après l'opération[14].
Lorsqu'une lésion de Lisfranc avec déplacement important est traitée de façon non-opératoire, cela conduit souvent à une perte fonctionnelle sévère et à une invalidité de longue durée secondaire à une douleur chronique et parfois à une déformation en planus valgus. En cas de douleur intense, de perte de fonction ou de déformation progressive qui n'a pas répondu au traitement non opératoire, une arthrodèse mi-tarse et tarsométatarsienne (fusion opératoire des os) peut être indiquée[16].
Voir également
Notes et références
- ↑ (en) « Lisfranc's fracture », sur Who Named It?
- ↑ « Lisfranc's fracture », The Free Dictionary
- 1 2 3 Bruno Grignon, « Anatomie et imagerie de l’articulation tarsométatarsienne (articulation de Lisfranc) », Médecine et Chirurgie du Pied, (lire en ligne).
- ↑ J Lisfranc, Nouvelle méthode opératoire pour l'amputation partielle du pied dans son articulation tarso-métatarsienne: méthode précédée des nombreuses modifications qu'a subies celle de Chopart, Paris, L’imprimerie de Feuguery, , 1–52 p. (lire en ligne).
- 1 2 Rettedal, Graves, Marshall et Frush, « Reliability of ultrasound imaging in the assessment of the dorsal Lisfranc ligament », Journal of Foot and Ankle Research, vol. 6, no 1, (ISSN 1757-1146, PMID 23453037, PMCID 3626864, DOI 10.1186/1757-1146-6-7)
- 1 2 « A Mechanism of Injury to the Forefoot in Car Crashes », Traffic Injury Prevention, vol. 6, no 2, , p. 156–69 (ISSN 1538-9588, PMID 16019401, DOI 10.1080/15389580590931635).
- ↑ Chan et Chow, « Current concept review on Lisfranc injuries », Hong Kong Journal of Orthopaedic Surgery, vol. 5, no 1, , p. 75–80 (lire en ligne [archive du ], consulté le )
- ↑ « Etiology and biomechanics of midfoot (Lisfranc) injuries in athletes », Critical Reviews in Biomedical Engineering, vol. 43, nos 2–3, , p. 213–238 (PMID 27278743, DOI 10.1615/CritRevBiomedEng.v43.i2-3.60).
- ↑ « Intercuneiform instability and the gap sign », Foot Ankle Int, vol. 20, no 9, , p. 606–9 (PMID 10509690, DOI 10.1177/107110079902000912)
- ↑ « Plantar ecchymosis sign: a clinical aid to diagnosis of occult Lisfranc tarsometatarsal injuries », J Orthop Trauma, vol. 10, no 2, , p. 119–122 (PMID 8932671, DOI 10.1097/00005131-199602000-00008)
- ↑ « The diagnostic accuracy of radiographs in Lisfranc injury and the potential value of a craniocaudal projection », AJR Am J Roentgenol, vol. 198, no 4, , W365–9 (PMID 22451574, DOI 10.2214/AJR.11.7222)
- ↑ SF. Hatem, « Imaging of Lisfranc Injury and Midfoot Sprain », Radiologic Clinics of North America, vol. 46, no 6, , p. 1045–1060 (PMID 19038612, DOI 10.1016/j.rcl.2008.09.003)
- ↑ (en) Wheeless CR, « Lisfranc's Fracture / TarsoMetatarsal Injuries », Wheeless' Textbook of Orthopaedics online, Durham, North Carolina, Duke Orthopaedics, (consulté le )
- 1 2 (en) Inmaculada Moracia-Ochagavía et E. Carlos Rodríguez-Merchán, « Lisfranc fracture-dislocations: current management », Efort Open Reviews, vol. 4, no 7, , p. 430–444 (ISSN 2058-5241, PMID 31423327, PMCID 6667981, DOI 10.1302/2058-5241.4.180076, lire en ligne, consulté le )
- ↑ (en) Makwana, « Tarsometatarsal injuries—Lisfranc injuries », Current Orthopaedics, vol. 19, , p. 108–118 (DOI 10.1016/j.cuor.2004.12.008, lire en ligne)
- ↑ (en) Mann, Prieskorn et Sobel, « Mid-tarsal and tarsometatarsal arthrodesis for primary degenerative osteoarthrosis or osteoarthrosis after trauma », Journal of Bone and Joint Surgery. American Volume, vol. 78, no 9, , p. 1376–85 (PMID 8816654, DOI 10.2106/00004623-199609000-00013, lire en ligne)
- Portail de la médecine