Endométrite

Endométrite
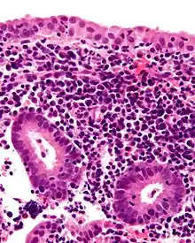
Description de cette image, également commentée ci-après
Coupe histologique présentant une endométrite chronique, avec des plasmocytes, caractéristiques ; des granulocytes neutrophiles sont également présents de manière éparse. Coloration à l'hématoxyline et à l'éosine.
Traitement
Spécialité Gynécologie
Classification et ressources externes
CIM-10 N71
CIM-9 615.9
DiseasesDB 4283
MedlinePlus 001484
eMedicine 254169
ped/678
MeSH D004716

Wikipédia ne donne pas de conseils médicaux Mise en garde médicale

L'endométrite est une infection de l'endomètre. Elle fait le plus souvent suite à l'accouchement, mais elle peut aussi être causée par un geste endo-utérin (interruption volontaire de grossesse, hystérosalpingographie).

L’endométrite du post-partum est une complication infectieuse commune de l’accouchement. Le premier signe en est la fièvre. Son diagnostic et son traitement permettent d’éviter l’extension de l’infection au péritoine et au pelvis.

Épidémiologie et facteurs de risque

L’accouchement par césarienne est le facteur de risque majeur de l’endométrite. Quatre-vingts pour cent des endométrites du post-partum surviennent après une césarienne, et donc seulement 20 % après un accouchement par voie basse. Le risque de développer une endométrite après accouchement par voie basse est inférieur à 3 %, et après césarienne, il est évalué à 15 % chez la femme sans autre facteur de risque, et jusqu’à 90 % dans certaines populations à haut risque. Il existe d’autres facteurs de risque d’endométrite (par ordre décroissant d’importance)[réf. nécessaire] :

  • la rupture prématurée des membranes remontant à plus de 6 heures ;
  • le travail prolongé plus de 6 heures ;
  • la chorioamnionite ;
  • les touchers vaginaux répétés pendant le travail ;
  • les manœuvres endo-utérines : monitoring au scalp, tocométrie interne, version interne, révision utérine, délivrance artificielle ;
  • une hémorragie importante ;
  • l’anesthésie générale ;
  • l’obésité ;

Bactériologie

L’origine de l’endométrite est classiquement polymicrobienne avec des germes issus de la cavité vaginale aérobies et anaérobies, Gram positif et négatif. L’endométrite est une infection ascendante. L’isolement d’un germe unique est retrouvé le plus souvent chez les patientes ayant bénéficié d’une antibioprophylaxie à large spectre à l’accouchement, comme c’est le cas pour l’isolement des entérocoques. Le rôle pathogène des mycoplasmes et de Chlamydia, souvent isolés dans l’endomètre, n’est pas clairement établi. Il semblerait qu’une fièvre élevée dans les 24 à 48 heures après l’accouchement soit en faveur d’une infection à streptocoque du groupe B, parfois du groupe A.

Cas particuliers des infections puerpérales à streptocoque du groupe A (Streptococcus pyogenes)

Les infections puerpérales se manifestent par des endométrites ou des infections d’épisiotomie. Elles concernent environ 0,8 ‰ naissances. Elles sont soit d’origine endogène, soit d’origine nosocomiale et sont susceptibles d’évoluer en épidémie au sein d’une structure de soin, le germe étant véhiculé par les mains des patients ou des soignants porteurs. En effet, le réservoir est humain : pharyngé, cutané, anal et vaginal. L’identification d’un cas impose l’isolement de la patiente, une antibiothérapie adaptée à l’antibiogramme et la recherche de cas additionnels parmi les sujets “contact” à risque[1] qui sont surveillés pendant 14 jours, ainsi que la recherche de sujets porteurs parmi le personnel soignant. La prévention des infections nosocomiales à streptocoque du groupe A repose sur l’hygiène des mains, le port du masque et la préparation du site opératoire en cas de chirurgie. Une telle infection doit faire l’objet d’un signalement auprès des autorités sanitaires.

Signes cliniques

Le signe majeur de l’endométrite du post-partum est la fièvre. Le diagnostic peut être fait sur ce simple signe, les autres étiologies de la fièvre du post-partum ayant été exclues. Les autres signes sont des douleurs abdominales basses, un utérus gros et mou, et des lochies abondantes et malodorantes. Il existe des formes frustes pour lesquelles le diagnostic est moins évident. Une hyperleucocytose est généralement associée.

Complications

Lorsque le diagnostic est tardif, l’endométrite peut se compliquer d’infections plus étendues.

  • La pelvipéritonite des suites de couches :

Les signes généraux sont plus sévères avec une fièvre supérieure à 39 °C, des douleurs pelviennes importantes associées à un état sub-occlusif et une défense sus-pubienne. Au toucher vaginal, les culs-de-sac vaginaux sont empâtés et douloureux (contrairement à l’endométrite).

  • Les collections suppurées :

L’abcès du Douglas et le phlegmon du ligament large sont les plus répandus mais restent rares.

Elles sont rares.

  • Les thrombophlébites pelviennes suppurées :

Ce sont des thromboses des gros troncs veineux latéro-utérins secondaires à l’endométrite. Les signes généraux sont inquiétants avec une température désarticulée ; il faut rechercher une douleur latéro-utérine et un cordon unilatéral douloureux. Des signes urinaires peuvent être un point d’appel : dysurie, rétention. Le diagnostic peut être étayé par l’imagerie : échographie, tomodensitométrie.

Diagnostic

Le diagnostic est clinique devant une fièvre du post-partum entre le 1er et le 10e jour, accompagnée des signes locaux d’endométrite. L’examen doit exclure les autres causes de fièvre. La réalisation d’un Examen cytobactériologique des urines et d’hémocultures est recommandée. Un prélèvement utérin transcervical peut être pratiqué seulement si l’antibiothérapie est inefficace à 48-72 heures. Il est peu contributif au diagnostic car il est souvent contaminé par les germes vaginaux et les résultats de la mise en culture ne sont pas disponibles à l’initiation du traitement.

Traitement

Le "Gold Standard" du traitement de l’endométrite du post-partum est la biantibiothérapie intraveineuse associant la clindamycine et la gentamicine. Ce schéma est celui qui a été le plus évalué, d’où sa position privilégiée dans les recommandations d’experts :

  • Clindamycine 900 mg/8 h,
  • Gentamicine 1,5 mg/kg/8 h, à adapter aux taux sériques.

Pourtant cette antibiothérapie est inactive sur Streptococcus faecalis qui est isolé chez 25 % des patientes ayant bénéficié d’une antibioprophylaxie à large spectre par céphalosporines pendant l’accouchement.

De plus la gentamicine augmente les risques d’apparition d’entérocolites nécrosantes, est ototoxique et néphrotoxique. Chez la femme en post-partum, il est difficile d’atteindre les taux thérapeutiques de gentamicine.

Des monothérapies ont donc été proposées, utilisant des antibiotiques à large spectre : Céphalosporines de 2e génération : cephoxitin (Mefoxin), cefamandole (Cefamandole panpharma) 750 mg, cefotetan (Apacef), Céphalosporines de 3e génération : cefopérazone (Cefobis), Pénicillines à spectre étendu : pipéracilline (Piperacilline G Gam)…, Pénicillines et inhibiteurs des ß-lactamases : ticarcilline-acide clavulanique (Claventin), pipéracilline-tazobacta (Tazocilline).

Les données de la littérature divergent sur leur efficacité. Pour certains auteurs, ces monothérapies ont obtenu des taux de guérison comparables au schéma standard (entre 80 et 90 % en général). Ils semblent être appropriés au traitement de première intention de l’endométrite. Pourtant une récente méta-analyse de la Cochrane Library a montré un taux de cure plus faible pour ces antibiothérapies autres que l’association clindamycine-gentamicine, par rapport à ce schéma traditionnel.

L’efficacité du traitement doit être évaluée 48 à 72 heures après son début. En cas de persistance des signes d’infection, l’antibiothérapie doit être élargie avec couverture des germes anaérobies (utilisation du métronidazole). Un prélèvement utérin transcervical peut être réalisé, les hémocultures doivent être répétées pour identifier le germe en cause, s’il ne l’a pas été auparavant.

La tomodensitométrie abdominopelvienne permet de rechercher une extension de l’infection et des collections qui nécessiteraient un drainage chirurgical, ou de mettre en évidence une thrombophlébite pelvienne suppurée.

En cas d’inefficacité du traitement après élargissement de l’antibiothérapie, l’anticoagulation (héparine IV avec un bolus puis une dose continue au pousse seringue électrique) à dose curative est recommandée dans l’hypothèse d’une thrombophlébite pelvienne suppurée.

L’arrêt du traitement antibiotique de l’endométrite est possible après 48 heures d’apyrexie. La patiente peut alors quitter l’hôpital. Il a été démontré qu’après amélioration clinique, le relais per os n’apporte aucun bénéfice.

Notes et références


Voir aussi

  • icône décorative Portail de la médecine
Cet article est issu de Wikipedia. Le texte est sous licence Creative Commons – Attribution – Partage à l’identique. Des conditions supplémentaires peuvent s’appliquer aux fichiers multimédias.