Encéphalopathie hépatique

Encéphalopathie hépatique
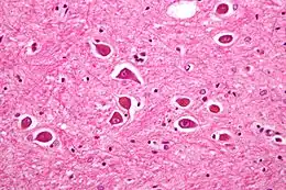
Description de cette image, également commentée ci-après
Vue au microscope d'astrocytes de type II, comme en cas d’encéphalopathie hépatique.
Causes Cirrhose, empoisonnement (d), hépatite B ou insuffisance hépatique aiguë
Symptômes Fœtor hepaticus (en), euphorie, tremblement, coma et ictère
Traitement
Médicament Lactulose
Spécialité Gastro-entérologie, hépatologie, infectiologie et médecine d'urgence
Classification et ressources externes
CIM-10 K72
CIM-9 572.2
MedlinePlus 000302
eMedicine 186101
article/182208
MeSH D006501

Wikipédia ne donne pas de conseils médicaux Mise en garde médicale

L'encéphalopathie hépatique est un syndrome neuropsychiatrique complexe secondaire à une insuffisance hépatocellulaire. Elle est caractérisée par des modifications de l’état de conscience et du comportement, des changements de personnalité, des signes neurologiques et des changements à l’électroencéphalogramme (EEG). Il peut être aigu et réversible (insuffisance hépatique aiguë) ou chronique et irréversible.

Épidémiologie

Elle complique chaque année une cirrhose sur cinq[1] et est associée avec un pronostic altéré[2].

Elle peut être classée en trois types selon sa cause[3] :

Pathogenèse

La cause première de l'encéphalopathie hépatique est l'association d'une insuffisance hépatocellulaire et d'un shunt porto-systémique causé par l'hypertension portale.

Une relation certaine existe entre l'encéphalopathie hépatique et l'augmentation de l’ammonium sérique, due à l'accumulation de son précurseur, la glutamine, qui aurait un effet toxique direct sur le cerveau[5]. La glutamine est théoriquement transformée en glutamate et en ammonium puis en urée par le foie. En cas de défaillance de cet organe, le taux sanguin de ces métabolites augmente fortement. Par ailleurs, l'ammonium est également métabolisé dans les cellules musculaires, l'atrophie musculaire pouvant donc aggraver la situation[6]. Un syndrome inflammatoire peut en aggraver les symptômes[7].

D'autres métabolites comme les mercaptans seraient aussi neurotoxiques. D'autre part, certains neurotransmetteurs dégradés dans le foie, comme le GABA, pourraient se trouver en excès dans le cerveau et participer à l'altération du niveau de vigilance. Enfin, certains arguments plaident en faveur d'un rôle possible du manganèse ; en effet, l'IRM encéphalique montre des images traduisant des dépôts de cet élément dans le globus pallidus[8].

Le microbiote intestinal pourrait également jouer un rôle[9].

Manifestations cliniques

Quatre stades[10], qui vont de l’euphorie/dépression, confusion modérée et cycles circadiens altérés au coma :

stadeencéphalopathie hépatiqueréflexesEEG
I
  • Confusion
  • Désorientation
  • Normaux
  • Pas d'astérixis
Normal
II
  • Confusion modérée
  • Somnolence
  • Vifs
  • Astérixis
Pathologique
III Pathologique
IV
  • Coma : initialement réactif au stimuli
  • Puis aréactif
  • Absent
  • Pas d'astérixis
Pathologique

L'astérixis (Flapping Tremor) consiste en une chute brutale du tonus des extenseurs de la main, avec une fréquence de 3 à 5 hertz et est très caractéristique de l'encéphalopathie hépatique.

Parfois un fœtor hepaticus, odeur douceâtre de l'haleine, rappelant celle de la pomme pourie, est retrouvé chez les patients encéphalopathes[11].

Une autre classification, dite « de West Haven » repose que sur des critères cliniques, allant du stade I au stade IV (coma)[3].

Diagnostic

Plusieurs tests psychomoteurs ont été proposés sans que l'un d'entre eux puisse être considéré comme décisif[1].

L'électroencéphalographie joue un rôle décisif dans le diagnostic en montrant des aspects typiques d'encéphalopathie métabolique, notamment les ondes triphasiques qui sont des éléments facilement identifiables du tracé EEG[12]. À chaque stade clinique correspond un stade électroencéphalographique, les ondes triphasiques définissant le stade III.

L'examen clinique peut retrouver les signes d'une cirrhose hépatique ou de ses conséquences : gros foie, circulation veineuse collatérale abdominale et thoracique, œdèmes…

Le dosage du taux sanguin d'ammonium (ammoniémie) est peu fiable, car non corrélée avec la gravité. La pression partielle de ce gaz pourrait être un meilleur indice d'atteinte[13].

De principe, un scanner ou une IRM cérébrale devra être faite pour éliminer d'autres causes aux symptômes. Ces examens sont normaux en cas d'encéphalopathie hépatique. On peut toutefois trouver une hyperdensité des ganglions de la base en cas de shunt porto-systémique[14].

Facteurs précipitants

Traitement

La prise en charge de l'encéphalopathie hépatique a fait l'objet de la publication de recommandations. Celles de l'American Association for the Study of Liver Diseases et celle de l'European Association for the Study of the Liver datent de 2014[15].

Dans l'idéal, il faut traiter le facteur déclenchant et faire diminuer le taux d’ammonium sérique.

Le lactulose, un disaccharide non absorbable, favorise l'excrétion de l'ammoniaque dans le tube digestif et son métabolisme par le microbiote digestif[1]. Il n'a pas d'efficacité prouvée en curatif[16] mais garde un intérêt à titre préventif[17]. Le lactitol peut constituer une alternative au lactulose[18]. L'utilisation de probiotiques semble avoir un intérêt en préventif[19] mais pas en curatif[20].

Une antibiothérapie peut limiter la prolifération bactérienne digestive et la production d'ammoniaque. La rifaximine absorbée par voie orale ne pénètre que peu dans le sang. Elle a une certaine efficacité à titre préventif[21].

L'intérêt d'un régime pauvre en protides (afin de diminuer la production d'ammonium) n'est pas établi[22].

La conduite automobile doit être interdite, l'encéphalopathie hépatique, même débutante, augmentant le risque d'accidents de la route[23].

Le traitement est également celui de la maladie hépatique responsable. En cas de cirrhose, doit être discutée, en absence de contre-indication, une greffe du foie.

D'autres médicaments sont en cours de test et semblent prometteurs : L-ornithine et L-aspartate[24], acides aminés chainés[25] par exemple.

Pour les patients qui ne tolèrent pas le lactulose ou les autres traitements susmentionnés, le polyéthylène glycol 3350 (PEG 3350), est une alternative efficace. Il peut également agir plus rapidement que les autres traitements, chez les patients présentant une cirrhose aiguë et dont les symptômes d'encéphalopathie hépatique sont sévères[26].

Notes et références

  1. 1 2 3 (en) Ellul MA, Gholkar SA, Cross TJ, Hepatic encephalopathy due to liver cirrhosis, BMJ, 2015;351:h4187
  2. (en) Bustamante J, Rimola A, Ventura PJ et al. Prognostic significance of hepatic encephalopathy in patients with cirrhosis, J Hepatol, 1999;30:890-5
  3. 1 2 (en) Ferenci P, Lockwood A, Mullen K et al. « Hepatic encephalopathy—definition, nomenclature, diagnosis, and quantification: final report of the working party at the 11th World Congresses of Gastroenterology, Vienna, 1998 » Hepatology, 2002;35:716-21
  4. (en) Riggio O, Nardelli S, Moscucci F et al. « Hepatic encephalopathy after transjugular intrahepatic portosystemic shunt » Clin Liver Dis, 2012;16:133-46
  5. (en) Desjardins P, Du T, Jiang W et al. « Pathogenesis of hepatic encephalopathy and brain edema in acute liver failure: role of glutamine redefined » Neurochem Int, 2012;60:690-6
  6. (en) Merli M, Giusto M, Lucidi C et al. « Muscle depletion increases the risk of overt and minimal hepatic encephalopathy: results of a prospective study » Metab Brain Dis, 2013;28:281-4
  7. (en) Shawcross DL, Davies NA, Williams R et al. « Systemic inflammatory response exacerbates the neuropsychological effects of induced hyperammonemia in cirrhosis » J Hepatol, 2004;40:247-54.
  8. (en) Butterworth RF, Spahr L, Fontaine S, Layrargues GP, « Manganese toxicity, dopaminergic dysfunction and hepatic encephalopathy », Metab Brain Dis, vol. 10, no 4, , p. 259-67. (PMID 8847990, DOI 10.1007/BF02109357, lire en ligne)
  9. (en) Rai R, Saraswat VA, Dhiman RK, « Gut microbiota: its role in hepatic encephalopathy » J Clin Exp Hepatol, 2015;5(suppl 1):S29-36.
  10. Ph. Furger et al. SURF - GUIDELINES Médecine interne générale, 5e édition, D&F Éditions
  11. « fœtor hepaticus », sur le dictionnaire de l’Académie nationale de médecine .
  12. (en) Amodio P, Campagna F, Olianas S, « Detection of minimal hepatic encephalopathy: normalization and optimization of the Psychometric Hepatic Encephalopathy Score. A neuropsychological and quantified EEG study » J Hepatol, 2008;49:346-53
  13. (en) Kramer L, Tribl B, Gendo A et al. « Partial pressure of ammonia versus ammonia in hepatic encephalopathy » Hepatology, 2000;31:30-4
  14. (en) Jiang M, Wang Z, Tsauo J et al. « Basal ganglia hyperintensity may be a marker of hepatic encephalopathy secondary to portosystemic shunting » Clin Res Hepatol Gastroenterol, 2015;39:e5-6
  15. (en)American Association for the Study of Liver and European Association for the Study of the Liver, « Hepatic encephalopathy in chronic liver disease: 2014 practice guideline by the European Association for the Study of the Liver and the American Association for the Study of Liver Diseases » J Hepatol, 2014;6:642-59.
  16. (en) Als-Nielsen B, Gluud LL, Gluud C, « Nonabsorbable disaccharides for hepatic encephalopathy », Cochrane Database Syst Rev, 2004;(2):CD003044
  17. (en) Sharma BC, Sharma P, Agrawal A et al. « Secondary prophylaxis of hepatic encephalopathy: an open-label randomized controlled trial of lactulose versus placebo » Gastroenterology, 2009;137:885-91
  18. (en) Cammà C, Fiorello F, Tinè F et al. « Lactitol in treatment of chronic hepatic encephalopathy. A meta-analysis » Dig Dis Sci, 1993;38:916-22
  19. (en) Xu J, Ma R, Chen LF et al. Effects of probiotic therapy on hepatic encephalopathy in patients with liver cirrhosis: an updated meta-analysis of six randomized controlled trials Hepatobiliary Pancreat Dis Int, 2014;13:354-6.
  20. (en) McGee RG, Bakens A, Wiley K et al. « Probiotics for patients with hepatic encephalopathy » Cochrane Database Syst Rev, 2011;(2):CD008716.
  21. (en) Bass NM, Mullen KD, Sanyal A et al. « Rifaximin treatment in hepatic encephalopathy » N Engl J Med, 2010;362:1071-81.
  22. (en) Cabral CM, Burns DL, « Low-protein diets for hepatic encephalopathy debunked: let them eat steak » Nutr Clin Pract, 2011;26:155-9.
  23. (en) Bajaj JS, Saeian K, Schubert CM, « Minimal hepatic encephalopathy is associated with motor vehicle crashes: the reality beyond the driving test » Hepatology, 2009;50:1175-83.
  24. (en) Zhu GQ, « Systematic review with network meta-analysis: the comparative effectiveness and safety of interventions in patients with overt hepatic encephalopathy » Aliment Pharmacol Ther, 2015;41:624-35.
  25. (en) Gluud LL, Dam G, Les I. et al. « Branched-chain amino acids for people with hepatic encephalopathy » Cochrane Database Syst Rev, 2015;(2):CD001939.
  26. (en) Rahimi , Singal , Cuthbert , Rockey, « Lactulose vs polyethylene glycol 3350--electrolyte solution for treatment of overt hepatic encephalopathy: the HELP randomized clinical trial. CONCLUSIONS AND RELEVANCE » Hepatology, 2014 Nov;174(11):1727-33. doi: 10.1001/jamainternmed.2014.4746.
  • icône décorative Portail des neurosciences
  • icône décorative Portail de la médecine
Cet article est issu de Wikipedia. Le texte est sous licence Creative Commons – Attribution – Partage à l’identique. Des conditions supplémentaires peuvent s’appliquer aux fichiers multimédias.