Encéphalite herpétique

Encéphalite herpétique
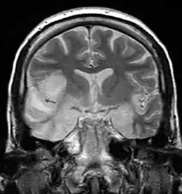
Description de cette image, également commentée ci-après
Image IRM d'une encéphalite herpétique montrant des anomalies au niveau du lobe temporal.
Traitement
Spécialité Infectiologie
Classification et ressources externes
CIM-10 B00.4
CIM-9 054.3
OMIM 613002
eMedicine 1165183

Wikipédia ne donne pas de conseils médicaux Mise en garde médicale

L’encéphalite herpétique est une encéphalite causée par le virus Herpes simplex, dont les manifestations communes sont des ulcérations orales (HSV-1) ou génitales (HSV-1 et HSV-2) et qui chez certains patients peut s'exprimer par une inflammation cérébrale.

Épidémiologie

Elle représente 10 % des cas d'encéphalite (2 cas par million d'habitants[1]). C'est la cause la plus fréquente des encéphalites infectieuses, sans variation saisonnière, atteignant aussi bien les hommes que les femmes[2].

Elle survient une fois sur 3 à l'occasion d'une primo-infection HSV-1 avant l'âge de 18 ans ; dans deux tiers des cas la maladie est observée chez des patients séropositifs pour HSV-1 ayant déjà eu des poussées d'herpès orofacial. Environ 50 % des patients ont plus de 50 ans[3].

Physiopathologie

Il est généralement admis que l'encéphalite herpétique est due à la propagation rétrograde le long des axones du nerf trijumeau du virus après sa réactivation, à partir d'un site périphérique de la face jusqu'au cerveau[1]. On sait que le virus demeure dormant dans le ganglion de Gasser, mais l'explication de sa réactivation et son cheminement avant d'atteindre le cerveau restent inconnus. Le nerf olfactif est aussi impliqué dans l'encéphalite herpétique[4] ce qui peut expliquer l'atteinte préférentielle du lobe temporal, dans la mesure où le nerf olfactif se projette dans cette région.

Symptômes

Les symptômes habituels comportent fièvre, paralysie, crises convulsives, hallucinations, troubles de mémoire, confusion, et altération de l'état de conscience.

Diagnostic

Il doit être rapide, la prise en charge à un stade précoce permettant de minimiser le risque de séquelles. Il se base sur l'imagerie et la ponction lombaire avec analyse du liquide céphalorachidien à la recherche de l'ADN du virus par réaction en chaîne par polymérase (PCR)[5].

La biopsie cérébrale permet la certitude diagnostique mais reste peu employée.

Imagerie

L'IRM cérébrale est anormale dans 90 % des cas[6]. Elle montre des images unilatérales (ou asymétriques) au niveau des lobes temporaux ou frontaux. Elles ne sont pas spécifiques et peuvent être retrouvées dans d'autres encéphalites, infectieuses ou non.

Le scanner crânien peut être normal dans un tiers des cas lorsqu'il est trop précoce[6].

Liquide céphalorachidien

L'analyse du liquide céphalorachidien montre typiquement une augmentation du nombre de lymphocytes, du taux de protides (protéinorachie).

Cela permet surtout de prouver la responsabilité du virus Herpes simplex en retrouvant l'ADN viral par PCR (réaction en chaîne par polymérase). La sensibilité et la spécificité de cette recherche sont proches de 100 %[7]. Cette recherche peut toutefois être négative les premiers jours, imposant un nouvel examen quelques jours après en cas de forte suspicion[8].

Évolution

Non traitée, cette encéphalite est rapidement mortelle dans environ 70 % des cas[1].

Chez les patients traités, la mortalité atteint environ 20 % et plus de la moitié des survivants souffre de séquelles neurologiques graves à long terme. Seule une faible proportion (2,5 %) des patients évolue vers la guérison avec récupération de l'intégralité des fonctions cérébrales[3].

Le retard de la mise en route du traitement est un facteur pronostic péjoratif[9].

Chez le nouveau-né

Rarement l'encéphalite herpétique peut être acquise chez le nouveau-né par transmission de la mère porteuse d'herpès génital lors de l'accouchement. Les symptômes chez ces enfants comprennent alors léthargie, tremblements, irritabilité, convulsions et une mauvaise prise alimentaire dans les deux semaines suivant leur naissance.

Traitement

Il repose sur l'administration d'aciclovir en intraveineuse pendant deux à trois semaines, débutée dès la suspicion de l'atteinte[10], avec une diminution importante de la mortalité de la maladie[11]. Un traitement antiépileptique comme la carbamazépine peut être prescrit sur plusieurs années après la maladie et si besoin pour réguler des crises convulsives et le changement d'humeur qui sont les signes des antécédents d'une encéphalite herpétique.

Cela reste une maladie grave avec une mortalité dépassant 10% et un taux de séquelles neurologiques graves atteignant 20%[12].

Notes et références

  1. 1 2 3 (en) Whitley RJ, « Herpes simplex encephalitis: adolescents and adults », Antiviral Res., vol. 71, nos 2-3, , p. 141–8 (PMID 16675036, DOI 10.1016/j.antiviral.2006.04.002)
  2. Granerod J, Ambrose HE, Davies NW et al., UK Health Protection Agency (HPA) Aetiology of Encephalitis Study Group. Causes of encephalitis and differences in their clinical presentations in England: a multicentre, population-based prospective study, Lancet Infect Dis, 2010;12:835-44
  3. 1 2 (en) Whitley RJ, Gnann JW, « Viral encephalitis: familiar infections and emerging pathogens », Lancet, vol. 359, no 9305, , p. 507–13 (PMID 11853816, DOI 10.1016/S0140-6736(02)07681-X)
  4. (en) Dinn J, « Transolfactory spread of virus in herpes simplex encephalitis. », Br Med J, vol. 281, no 6252, , p. 1392 (PMID 7437807)
  5. DeBiasi RL, Kleinschmidt-DeMasters BK, Weinberg A, Tyler KL, Use of PCR for the diagnosis of herpesvirus infections of the central nervous system, J Clin Virol, 2002;25:Suppl 1:S5-S11
  6. 1 2 (en) Sabah M, Mulcahy J, Zeman A, « Herpes simplex encephalitis » BMJ 2012;344:e3166. PMID 22674925
  7. (en) Lakeman FD, Whitley RJ, « Diagnosis of herpes simplex encephalitis: application of polymerase chain reaction to cerebrospinal fluid from brain-biopsied patients and correlation with disease » J Infect Dis. 1995;171:857-863. PMID 7706811
  8. (en) Weil AA, Glaser CA, Amad Z, Forghani B, « Patients with suspected herpes simplex encephalitis: rethinking an initial negative polymerase chain reaction result » Clin Infect Dis. 2002;34:1154-1157. PMID 11915008
  9. Raschilas F, Wolff M, Delatour F et al. Outcome of and prognostic factors for herpes simplex encephalitis in adult patients: results of a multicenter study, Clin Infect Dis, 2002;35:254-60
  10. Tunkel AR, Glaser CA, Bloch KC et al. The management of encephalitis: clinical practice guidelines by the Infectious Diseases Society of America (IDSA), Clin Infect Dis, 2008;47:303-27
  11. Whitley RJ, Alford CA, Hirsch MS et al. Vidarabine versus acyclovir therapy in herpes simplex encephalitis, N Engl J Med, 1986;314:144-149
  12. Raschilas F, Wolff M, Delatour F et al. Outcome of and prognostic factors for herpes simplex encephalitis in adult patients: results of a multicenter study, Clin Infect Dis, 2002;35:254-260
  • icône décorative Portail des maladies infectieuses
  • icône décorative Portail de la virologie
  • icône décorative Portail des neurosciences
Cet article est issu de Wikipedia. Le texte est sous licence Creative Commons – Attribution – Partage à l’identique. Des conditions supplémentaires peuvent s’appliquer aux fichiers multimédias.