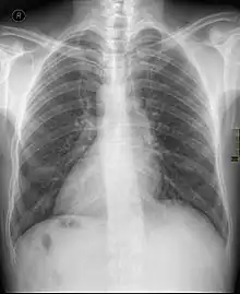
Dextrocardie

Cœur normal
La dextrocardie est une malformation de naissance dans laquelle le cœur se trouve dans la moitié droite du thorax. La pointe du cœur est aussi orientée à droite.

On trouve trois cas de figure :
- Dextroposition du cœur : une malformation des poumons ou du diaphragme déplace le cœur à droite.
- Dextrocardie isolée
- Dextrocardie dans le cadre d'un situs inversus où l'ensemble des organes est concerné.
Historique
La première publication de l'ère moderne en parlant date de 1788[1], mais d'autres cas ont été décrits au XVIIe siècle[2], dont par Girolamo Fabrizi d'Acquapendente[3].
Épidémiologie
Cette malformation est retrouvée dans 0,01 % des naissances vivantes[4]. Une étude japonaise analysant 1753 échographies de fœtus sur une période de cinq ans n'a découvert que deux cas[5].
Présentation
L'anomalie peut être découverte lors d'un examen systématique, clinique ou radiologique, ou motivée par la présence d'autres malformations.
Notes et références
- ↑ Baillie M, An account of a remarkable transposition of the viscera: in a letter to John Hunter, Esq, F.R.S. Phil Trans R Soc London, 1788;78:350-363
- ↑ Cleveland M. Situs inversus viscerum: an anatomic study, Arch Surg, 1926;13:343-368
- ↑ Perloff JK. The cardiac malpositions, Am J Cardiol, 2011;108:1352-1361
- ↑ Evans WN, Acherman RJ, Collazos JC et al. Dextrocardia: practical clinical points and comments on terminology. Pediatr Cardiol, 2010;31:1-6
- ↑ (ja + en) Takumi, Sate et al., « Clinical Course and Prognosis of Minor Abnormal Sonographic Findings in Fetal Echocardiography: Five Years of Experience at a Single Institute », Pediatric Cardiology and Cardiac Surgery, vol. 30, no 5, , p. 563-568 (DOI 10.9794/jspccs.30.563, lire en ligne)
Voir aussi
- Portail du handicap
- Portail de la médecine
Cet article est issu de Wikipedia. Le texte est sous licence Creative Commons – Attribution – Partage à l’identique. Des conditions supplémentaires peuvent s’appliquer aux fichiers multimédias.