Dent (anatomie humaine)

| Élément de | |
|---|---|
| Éléments constitutifs |
Couronne dentaire, col de la dent, racine dentaire, cavité dentaire (d), pulpe de la dent, dentine, émail dentaire |
| Nom latin |
Dens |
|---|---|
| TA2 |
914 |
La dent humaine est un organe dur, couleur ivoire implantée sur le processus alvéolaire du maxillaire et sur la partie alvéolaire de la mandibule.
Il y a 32 dents permanentes qui composent la denture adulte qui remplacent les 20 dents déciduales qui composent la denture infantile.
Chaque dent est constituée d'une racine dentaire qui s'implante dans une alvéole de la mandibule ou du maxillaire, et d'une couronne visible extérieurement. Les deux parties sont séparées par le col de la dent.
La forme des différentes parties est variable en fonction des types de dents : incisive, canine, prémolaire ou molaire.
Les dents interviennent dans l'alimentation pour couper et broyer les aliments. Elles jouent également un rôle phonatoire.
Anatomie

1-dent 2-émail dentaire 3-dentine 4-pulpe dentaire 5- 6- 7-cément 8-couronne 9-cuspide 10-sillon 11-collet 12-racines 13-furcation radiculaire 14-apex 15-foramen apical 16-sulcus gingivae 17-parodonte 18-gencive 19-gencive libre 20- 21-gencive attachée 22-ligament alvéolo-dentaire 23-os alvéolaire 24-vaisseaux et nerf… 25-…dentaires 26-…paradontaux 27-canal alvéolaire
Une dent est constituée d'une structure de dentine lui donnant sa forme globale et qui contient une cavité dentaire.
Au niveau de la couronne, la dentine est recouverte d'une couche d'émail dentaire. Au niveau de la racine, elle est recouverte d'une couche de cément.
La cavité dentaire s'ouvre vers l'extérieur au niveau du ou des apex des racines de la dent par les foramens apicaux qui se poursuivent par les canaux radiculaires le long de chaque racine. Les canaux radiculaires convergent dans la couronne pour former la cavité de la couronne dentaire. La cavité dentaire renferme la pulpe de la dent.
La racine est implantée dans l'os auquel elle est reliée par le ligament alvéolo-dentaire formant une syndesmose dento-alévéolaire (ou improprement gomphose).
Dentine
La dentine constitue la masse principale de la dent. Ce tissu est minéralisé à 70 % par l'hydroxyapatite. Les 30 % restants (dont 12 % d'eau) constituent la trame organique, composée essentiellement de collagène. La dentine est perforée de micro-tubes ou tubulis dentinaires. Ceux-ci contiennent les prolongements des cellules dentaires, les odontoblastes.
Émail dentaire
L'émail forme la couche externe de la couronne. Ce tissu est minéralisé à 97 % par l'hydroxyapatite. Les 3 % restants constituent la trame organique, composée essentiellement de collagène et d'eau. Tissu le plus dur du corps humain, il sert ainsi à l'identification en médecine médico-légale. L'émail est moins épais sur les dents temporaires que sur les dents permanentes.
Cément
Le cément recouvre la surface externe des racines. Les fibres collagèniques et élastiques du ligament alvéolo-dentaire s'y enracinent.
Cavité dentaire
La cavité dentaire est constituée des canaux radiculaires situés aux centre de chaque racine qui converge au centre de la couronne pour former la cavité de la couronne dentaire.
Elle contient la pulpe de la dent qui assure l'innervation et la vascularisation en provenance des racines dentaires. Les odontoblastes en tapissent la périphérie et envoient leurs prolongements dans les tubulis dentinaires. Elles synthétisent la dentine secondaire tout au long de la vie, de manière centripète, et à un rythme très lent. En réponse à une agression carieuse ou traumatique, elles peuvent sécréter à un rythme plus rapide de la dentine réactionnelle aussi appelée dentine tertiaire.
Ligament alvéolo-dentaire
Le ligament alvéolo-dentaire ou desmodonte constitue avec l'os une véritable articulation et renferme des cellules de régénération osseuse, ligamentaire et cémentaire. Il est richement innervé par des récepteurs mécaniques, propriocepteurs, qui renseignent le système nerveux central sur la position exacte des dents et la pression exercée par les muscles masticateurs.

Types de dent

Chez l'humain, les dents se répartissent de façon égale entre le maxillaire et la mandibule.
Deux dentitions se succèdent :
- les 20 dents temporaires ou dents de lait ou dents lactéales : qui commencent à pousser vers 6 mois et commencent à tomber vers 6 ans.
- les 32 dents permanentes qui prennent la place ou complètent les dents temporaires.
Les dents temporaires sont constituées des 8 incisives de lait, des 4 canines de lait et des 8 molaires de lait.
Les dents permanentes sont constituées de 8 incisives, de 4 canines, de 8 prémolaires et de 12 molaires dont l'inconstante dent de sagesse.
Dents antérieures
Incisives
Les incisives, au nombre de 8 : 4 incisives centrales et 4 incisives latérales. Elles ne possèdent qu'une racine et leur couronne est aplatie d'avant en arrière.
Canines
Les canines sont au nombre de 4 et ont une unique et longue racine. Elle forme une couronne conique.
Elles sont considérées comme les piliers de l'occlusion et sont souvent les dernières dents qui subsistent au 3e âge.
Dents postérieures
Prémolaires
Les prémolaires sont 8, elles ont une ou deux racines. Elles poussent en remplacement des 2 molaires temporaires.
Molaires
Les molaires, de 4 à 6, poussent en complément des dents temporaires Ce sont les dents de la mastication, elles ont plusieurs racines, normalement 2 ou 3.
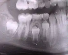
- On voit à la fois des dents temporaires et des dents définitives.
- Radiographie de dents saines (prémolaires, molaires, dent de sagesse incluse) et cariées (2e prémolaire supérieure et 1re molaire supérieure).
Numérotation

Pour simplifier la communication, la Fédération Dentaire Internationale attribue à chaque dent un numéro :
- pour le chiffre des unités : on numérote les dents en partant du centre vers le fond,
- 1 l'incisive centrale,
- 2 l'incisive latérale,
- 3 la canine,
- 4 la première prémolaire (la première molaire pour la dentition primaire),
- 5 la deuxième prémolaire (la deuxième molaire pour la dentition primaire),
- 6 la première molaire,
- 7 la deuxième molaire,
- 8 la dent de sagesse ou troisième molaire,
- le chiffre des dizaines est déterminé par la partie d'un quadrant imaginaire, correspondant à une hémi-arcade dentaire, dans lequel se trouve la dent. En regardant la personne en face, 1 est en haut à gauche (à la droite de la personne), 2 en haut à droite (à la gauche de la personne), 3 en bas à droite (à la gauche de la personne), 4 en bas à gauche (à la droite de la personne) ;
- pour les dents temporaires (dents de lait), le chiffre des dizaines est de 5 à 8 selon le même quadrant, dans le sens des aiguilles d'une montre.
Exemples : 23 est la canine supérieure gauche ; 74 est la première molaire temporaire mandibulaire gauche.
| Dents définitives | |||||||||||||||
|---|---|---|---|---|---|---|---|---|---|---|---|---|---|---|---|
| en haut à droite | en haut à gauche | ||||||||||||||
| 18 | 17 | 16 | 15 | 14 | 13 | 12 | 11 | 21 | 22 | 23 | 24 | 25 | 26 | 27 | 28 |
| 48 | 47 | 46 | 45 | 44 | 43 | 42 | 41 | 31 | 32 | 33 | 34 | 35 | 36 | 37 | 38 |
| en bas à droite | en bas à gauche | ||||||||||||||
| Dents de lait | |||||||||||||||
| en haut à droite | en haut à gauche | ||||||||||||||
| 55 | 54 | 53 | 52 | 51 | 61 | 62 | 63 | 64 | 65 | ||||||
| 85 | 84 | 83 | 82 | 81 | 71 | 72 | 73 | 74 | 75 | ||||||
| en bas à droite | en bas à gauche | ||||||||||||||
Odontogénèse
L'odontogénèse rassemble les phénomènes aboutissant à la formation des follicules dentaires et des dents. Dès l'âge fœtal (2ème mois), il y aura un épaississement au niveau du revêtement épithélial du stomadeum ou bouche primitive, le bourgeon ainsi formé va pénétrer le mésenchyme sous-jacent formant un mur, ou mur plongeant, ou lame primitive. Ce mur va émettre un sillon le sillon gingivo-labial qui sépare lèvres et gencive. Cette ébauche représentant la gencive va émettre un prolongement médial la lame dentaire qui sera à l'origine de l'épithélium dentaire qui va prendre la forme de cupule puis de cloche présentant deux couches cellulaires, une médiale ou adamantin médial et l'autre latérale ou adamantin latéral. Sous cette cupule de cellules épithéliales le mésenchyme se condense et forme la pulpe et à terme l'émail grâce à la prolifération des adamantoblastes et le bourgeon mésenchymateux donnera la dentine par prolifération des odontoblastes. Il y aura donc mise en place des mécanismes d'éruption dentaire avec disposition des trois parties de la dent, couronne, collet, racine.
Origine et évolution des dents
Les dents sont apparues chez l'ancêtre des Gnathostomes il y a environ 450 millions d'années. Elles sont issues de structures dermo-épidermiques (les odontodes) qui étaient disposés régulièrement sur l'ensemble de la surface du corps des Ostracodermes. Ces structures auraient migré à l'intérieur de la bouche chez les Gnathostomes.
Ces structures ont ensuite évolué de diverses manières selon les lignées, souvent en relation avec le régime alimentaire. Les dents des Mammifères se sont ainsi spécialisées selon l'axe antéro-postérieur, avec l'apparition d'incisives, de canines, de prémolaires et de molaires. La forme des dents (jugales notamment, c'est-à-dire molaires et prémolaires), montre aussi une grande spécialisation chez les Mammifères, avec l'évolution d'une occlusion des dents supérieures et inférieures, c'est-à-dire une complémentarité de forme entre les dents supérieures et inférieures permettant une augmentation de la surface et de l'efficacité du broyage lors de la mastication.
L'évolution dentaire des Vertébrés montre aussi des phases de « régression ». Chez les Mammifères, on observe une diminution du nombre de génération dentaire: la polyphyodontie (nombreux remplacements des dents), caractère ancestral que l'on retrouve par exemple chez les Gnathostomes comme le requin, est remplacé par une diphyodontie (un seul remplacement dentaire, donc seulement deux générations de dents (dents de lait et dents adultes)), voire par une monophyodontie (pas de remplacement dentaire) chez certains groupes. Le nombre de dents (notamment jugales) tend aussi à diminuer chez les Mammifères, surtout chez les Monotrèmes qui n'ont plus d'incisives ni canines, et moins de molaires et prémolaires. La régression dentaire est même totale chez les Oiseaux, qui n'ont plus de dents du tout (anodontie, au profit d'un gésier), mais chez lesquels on peut encore observer au cours du développement des bourgeons de dent qui avortent par la suite par apoptose.
Les variations de taille des molaires humaines et de nos plus proches parents homininés a beaucoup influencé les visions de l'évolution humaine, qui semble se poursuivre ou accélérer avec une diminution globale de taille, disproportionnée pour la troisième molaire notée depuis plus d'un siècle[1]. Cette évolution récente est généralement attribuée à une pression de sélection réduite en raison d'un accès amélioré aux soins dentaires, à une généralisation de la cuisson, et à de profonds changements de régime alimentaire[2],[3]. Une règle mathématique simple semble caractériser la tendance (gradient morphogénétique) observée chez les hominidés en termes de taille de dents[4].
Rôles
Les dents ont plusieurs rôles importants :
- alimentation : les incisives permettent de sectionner les aliments (ou autre chose) ; les molaires et prémolaires permettent la mastication, le broyage des aliments ; les canines permettent de déchiqueter les aliments comme la viande (voir les carnivores et leurs canines) ;
- phonétique : les dents, en association avec la langue et les lèvres, permettent de prononcer de nombreux phonèmes ;
- esthétique : elles soutiennent les tissus mous qui les entourent (lèvres, joues) et participent au sourire.
Quand elles sont absentes, on assiste à l'affaissement de l'étage inférieur de la face (la mandibule « remonte » et s'avance, les lèvres s'enfoncent) : c'est le profil du vieillard édenté. Ce phénomène est accentué par la disparition de l'os alvéolaire. Cet os existe par et pour la dent, et « fond » progressivement lorsque, avec la dent, la stimulation mécanique disparaît. Certaines espèces ont des dents qui dépassent hors de la bouche ; - attaque et défense, pour de nombreux animaux : il s'agit d'armes. Les dents des serpents venimeux, tels le crotale, sont percées de canaux à venin. En revanche, les cétacés mysticètes, comme les baleines grises, n'ont pas de dents : leurs fanons qui servent de filtres sont des structures kératinisées plus proches des griffes ou des ongles.
Soins des dents
Les dents étant minéralisées, elles peuvent se déminéraliser à la suite de la production d'acide par les bactéries buccales : c'est ce qu'on appelle la carie. Elles peuvent aussi perdre progressivement leur attache aux mâchoires à la suite d'une réaction inflammatoire causée par les bactéries buccales : c'est la maladie parodontale.
Il est particulièrement important de bien les nettoyer, par un brossage régulier et adapté ainsi que par le passage de fils dentaire, brossette ou bâtonnet entre les dents.


En cas de pathologie, il faut consulter un dentiste. La médecine dentaire peut se subdiviser en plusieurs parties :
- odontologie conservatrice - soins sur la couronne dentaire : traitement des caries, hyperesthésie dentinaire, etc.
- endodontie - soins à l'intérieur des racines dentaires : traitement endodontiques…
- endodontie chirurgicale - chirurgie de l'extrémité des racines dentaires : exérèse de granulomes et kystes, etc.
- occlusodontie ou science de l'occlusion dentaire, dont la gnathologie, l'occlusion neuromusculaire et l'occlusodontologie : le rôle de la dent et de tous les tissus qui l'entourent dans la fonction manducatrice du complexe stomatognathique. Les fonctions occlusales réflexes, innées ou acquises, conditionnent la bonne marche de l'appareil manducateur, face à la gravité terrestre, aux disciplines scientifiques et aux spécialités médicales. Traitement des problèmes de contacts dentaires, de douleurs, de craquements de l'articulation temporo-mandibulaire et des tensions au niveau des muscles masticateurs et cervicaux ;
- odontologie chirurgicale - chirurgie en rapport avec les dents : avulsion de dents de sagesse, canines incluses, etc.
- prothèse - tout ce qui concerne la reconstitution des pertes de substance des dents ou le remplacement des dents absentes : couronnes, bridges, prothèses amovibles…
- parodontologie ou parodontie : traitement des maladies parodontales (pathologies des tissus entourant les dents) ;
- chirurgie : avulsion (extraction) de dents de sagesse ou de canines incluses ou enclavées ou de tout organe dentaire trop délabré pour être restauré ;
- implantologie : remplacement des dents absentes par des « racines » artificielles en titane, fixées dans l'os ;
- orthodontie, ou orthopédie dento-faciale : traitement de l'alignement des dents et de l'engrènement des mâchoires ;
- pédodontie, ou odontologie pédiatrique : soins dentaires chez les enfants ;
- gérodontologie : soins dentaires de la personne très âgée.
Prospective : Un espoir souvent évoqué est que l'on puisse un jour forcer des cellules souches à reconstituer une dent.
Des tests faits sur des souris, ont récemment monté que le tideglusib, un médicament en cours de test, peut induire le réveil de cellules souches situées dans le centre de la pulpe molle d'une dent et ainsi restaurer la dentine originale d'une dent (la couche épaisse et dure du matériau dentaire sous l'émail)[5]. Ce médicament originellement destiné à la maladie d'Alzheimer a passé avec succès plusieurs essais cliniques de sécurité[6],[7], il pourrait éventuellement bientôt faire l'objet de tests sur l'Homme[8].
Traumatisme et toxicologie dentaire
Un dommage accidentel aux dents lié à un choc entraîne une dent endommagée, déplacée voire perdue, et nécessite une consultation d'urgence chez un dentiste.
- Contusion dentaire
- Fracture dentaire, avec ou sans lésion de la pulpe
- Luxation dentaire, partielle ou complète
- Fracture de l'os alvéolaire
La dent (dent de lait y compris) peut accumuler certains métaux lourds (plomb notamment) et il a été montré en 2009 que l'exposition chronique au plomb peut affecter la gencive, être source d'un goût métallique dans la bouche et augmenter très significativement (autant que le tabagisme) le risque de déchaussements et perte spontanée de dents (d'après une étude faite sur 333 hommes inscrits à l'étude sur le vieillissement chez les anciens combattants qui a comparé le plomb osseux (du tibia et de la rotule, indicateur d'une contamination chronique et ancienne par le plomb) avec le risque de perte des dents, en tenant compte de l'âge, du tabagisme, du diabète et d'autres facteurs de confusion potentiels[9]).
De même que certains aliments, le reflux gastro-œsophagien contribue fortement à l'attaque chimique des dents.
Déchaussement et chute anormale de dents
Une perte spontanée de dents naturelles peut survenir, parfois sans traumatisme apparent préalable[9].
Elle est commune chez les personnes très âgées mais anormale chez les adultes moyennement âgés. Elle a longtemps été supposée être la conséquence d'une mauvaise santé, une mauvaise santé buccodentaire généralement liée à une mauvaise hygiène de vie ou à une situation de pauvreté et parfois de sous-alimentation[9].
C'est un problème important de santé publique, associé à une dégradation de la qualité de vie des personnes concernées[10],[11].
Environ 25% des adultes américains de plus de 60 ans ont perdu toutes leurs dents selon Beltran-Aguilar et al.(2005)[12].
La perte de plusieurs dents ou de toutes les dents conduit souvent à une altération du régime alimentaire et à un risque accru de maladies cardiovasculaires, de certains cancers et d'autres conséquences systémiques[13],[14],[15].
Les facteurs de risque incluent de nombreux déterminants « environnementaux » (de la santé bucco-dentaire à l'intoxication chronique par le plomb, en passant par le tabagisme).
Anomalies dentaires
Les anomalies dentaires sont très variables car l'odontogenèse dure longtemps (plusieurs années) et est très sensible aux différentes agressions. Par ailleurs certaines anomalies sont héréditaires.
Anomalies de nombre
- Diminution :
- hypodontie : manque de certaines dents à la suite d'agénésies. Origine héréditaire. Rare en denture temporaire,
- oligodontie : absence de nombreuses dents ; souvent les quelques dents présentes sont plus petites. Souvent associé à un syndrome ectodermique (syndrome de Christ-Siemens-Touraine),
- anodontie : aucune dent n'est formée.
- Augmentation
- hyperdontie = polydontie : dents surnuméraires, trop nombreuses (plus rare que l'hypodontie). La dent surnuméraire est une anomalie de nombre plus fréquente en denture permanente qu’en denture temporaire. Elle se situe la plupart du temps, dans la région incisive du maxillaire supérieur[16],
- mésiodens : dent supplémentaire entre les deux incisives centrales maxillaires,
- dédoublement = dents jumelles = doublon surnuméraire : soit une quatrième molaire, soit une troisième prémolaire. Ces dents restent généralement incluses,
- hyperdontie syndromique : dans la dysostose cléïdo-crânienne ou le syndrome de Garner,
- Polyphyodontie. Normalement l'homme est diphyodonte : deux dentures se succèdent. Exceptionnellement on peut voir trois dentures successives :
- dentition pré-déciduelle : dent rudimentaire sans racine présente à la naissance ; va tomber pendant la première semaine néo-natale,
- dentition post-permanente.
Anomalies de taille
- Microdontie : dent plus petite que la normale. Aussi appelée « dent en grain de riz ». Concerne souvent les incisives latérales supérieures ou les dents de sagesse supérieures ;
- macrodontie : dent plus grosse que la normale. Peut-être liée à un gigantisme hypophysaire.
Dysmorphies : anomalies de forme
- Anomalies de toute la dent :
- gémination : le germe s'est divisé en partie ; la dent est plus volumineuse. (ou : une dent normale est collée à une dent surnuméraire),
- fusion : union avec interpénétration tissulaire de deux germes, durant leur formation,
- dédoublement : stade ultime de la gémination. Impliqué dans l'étiopathogénie des dents surnuméraires,
- dent invaginée = dens in dente : il y a comme une seconde dent à l'intérieur de la dent principale (essentiellement sur les dents monoradiculées),
- taurodontisme : chambre pulpaire anormalement grande ; furcation plus apicale,
- dilacération : un traumatisme durant la formation de la dent a entraîné un dommage du germe,
- anomalies de la couronne :
- anomalies de racines :
- taille : anormale si la longueur est inférieure ou égale à celle de la couronne,
- direction : axe plus ou moins coudé, en baïonnette, torsadé… Ces courbures peuvent être dues à des obstacles durant la croissance,
- nombre : variable, surtout sur la troisième molaire : de une à sept racines,
- concrescence = concrétion : les racines de deux dents sont entrées en contact au cours du développement et ont fusionné.
Dystopies
- Inclusion ; la dent reste incluse dans l'os sans faire son éruption :
- enclavement et ankylose : une dent temporaire qui ne tombe pas empêche la dent permanente de pousser ;
- ectopie : canine supérieure palatine ; incisive latérale inférieure près de la deuxième molaire lactéale ; dent de sagesse peut sortir au niveau du rebord basilaire, sous le condyle mandibulaire…
- transposition : inversion de place entre deux dents ;
- anastrophie : inversion du sens d'éruption du germe.
Dysplasies : anomalies de structure
- Dysplasies de cause générale :
- hypoplasie simple : modification légère de la morphologie de l'émail, sans altération de la dent ;
- hypoplasie complexe : modification de la structure et des caractères généraux de la dent. Dent de Hutchinson (incisive centrale maxillaire en tour de vis) ; dent de Mozer (première molaire supérieure conique) ;
- fluorose dentaire : défaut de minéralisation à la suite d'une ingestion excessive de fluor pendant la formation des dents,
- dysplasies de cause locale :
- hypoplasie traumatique,
- hypoplasie d'origine infectieuse : dent de Turner,
- odontodysplasie régionale = dent fantôme. Touche l'émail plus la dentine. Plutôt chez les filles, les dents temporaires antérieures. Elles sont appelées ainsi car on les distingue à peine à la radiographie ;
- dent en écaille : due à un arrêt de croissance de la papille ecto-mésenchymateuse et une incapacité pour la pulpe à former de la dentine normale ;
- dysplasies héréditaires :
- amélogenèse imparfaite : l'émail ne se constitue pas correctement. On distingue les amélogenèses imparfaites hypoplasique, hypomature, hypominéralisée,
- dentinogenèse imparfaite : la dentine ne se forme pas correctement. On distingue : le type 1 : dans l'ostéogenèse imparfaite ; le type 2 : dentine opalescente héréditaire ; le type 3 : dentinogenèse imparfaite de BrandyWine.
Dyschromies
- Dyschromies primitives = dyschromies intrinsèques : certains produits ingérés lors de la formation des dents peuvent les colorer dans la masse. La coloration est définitive :
- érythrodontie : coloration rose-brun. C'est un symptôme de la porphyrie congénitale,
- dent verte : due à un ictère néo-natal,
- dent brun-jaune = coloration à la tétracycline (un antibiotique),
- fluorose dentaire : un apport excessif de fluor peut colorer les dents. Dans les formes modérées : fines lignes blanches horizontales et parallèles. Dans les formes plus avancées : taches blanchâtres s'étendant progressivement. Dans les formes sévères : taches jaunâtres ou brunâtres avec zones d'érosions. La fluorose dentaire apparaît dès prise orale régulière de 2 mg par jour de fluor,
- coloration verdâtre lors de traitement par ciprofloxacine chez les nourrissons,
- dyschromies acquises = dyschromies extrinsèques : certains produits peuvent entraîner des colorations plus ou moins superficielles des dents. La coloration s'élimine par brossage, détartrage, polissage ou autres :
- sels métalliques : fer brun, cuivre vert, zinc noir, argent ardoise,
- produits chimiques : mercure, goudron (dans le tabac), vapeurs nitreuses,
- médicaments : chlorhexidine (brun). La chlorexidine est présente dans de nombreux bains de bouche. Son utilisation au long cours est à proscrire,
- bactéries : certaines bactéries ou champignons sont chromogènes (vert, orangé, noir),
- causes iatrogènes : un amalgame peut donner à la dent une coloration noirâtre,
- aliments : café, thé, vin, myrtilles… Ces colorations sont généralement réversibles,
- dyschromies d'origine interne (après éruption de la dent) :
- traumatisme : un choc violent provoque la nécrose de la pulpe, qui va entraîner une coloration brunâtre ou rosâtre de la dent,
- granulome interne.
Art et culture
Le noircissement des dents est une pratique culturelle de teinte des dents en noir, qui a été présente dans de nombreuses cultures à travers le monde. Elle subsiste notamment en Asie du Sud.
Expressions
- « Faire ses dents » : avoir les dents qui percent, chez un jeune enfant. Par extension il s'agit d'une personne qui apprend quelque chose par l'expérience.
- « Avoir une dent contre quelqu'un » : avoir des griefs, en vouloir à quelqu'un.
- « Avoir la dent dure » : manquer d'indulgence dans des attaques verbales.
- « Avoir les dents longues » : avoir beaucoup d'ambition, donc d'appétit. Par exagération, on peut dire de quelqu'un : il a les dents qui rayent le parquet.
- « Œil pour œil, dent pour dent » (loi du Talion) : par vengeance, infliger à quelqu'un les mêmes dommages qu'il vous a infligés. Originellement ce principe aurait été établi pour éviter une vengeance excessive (cf. commentaires dans la traduction œcuménique de l'Ancien Testament) : la réplique doit être proportionnée à l'offense. Maintenant, cela a, au contraire, le sens de : ne laisser passer aucune offense.
- « Mentir comme un arracheur de dents » : mentir sans scrupule. Vient de la réputation des barbiers-chirurgiens du Moyen Âge, qui vantaient nombre de panacées douteuses depuis leurs étals.
- « Se casser les dents sur quelque chose » : subir un échec cuisant.
- « Croquer la vie à pleines dents » : avoir un appétit de vivre pleinement, profiter de la vie (dans la même idée : soif de vivre).
- « Prendre le mors aux dents » : s'emballer.
- « En dents de scie » : irrégulier, hérissé de pointes.
Filmographie
- Les Dents de la mer
- Le Dentiste
Notes et références
- ↑ Dahlberg, A. A. (1945) The changing dentition of man. J. Am. Dent. Assoc. 32, 676–690
- ↑ Brace, C. L. (1967), Environment, tooth form, and size in the Pleistocene. J. Dent. Res. 46, 809–816
- ↑ Bermúdez de Castro, J. M. & Nicolas, M. E. (1995)Posterior dental size reduction in hominids: the Atapuerca evidence. Am. J. Phys. Anthropol. 96, 335–356
- ↑ Alistair R. Evans & al. (2016) A simple rule governs the evolution and development of hominin tooth size ; Nature 530, 477–480 (25 février 2016) doi:10.1038/nature16972, publié en ligne le 24 février 2016 (résumé)
- ↑ Vitor & al. (2017) Promotion of natural tooth repair by small molecule GSK3 antagonists ; Scientific Reports 7, Article number: 39654 (2017) doi:10.1038/srep39654, publié 09 janvier 2017
- ↑ Lovestone, S. A phase II trial of tideglusib in Alzheimer’s disease. J. Alzheimers Dis. 45, 75–88 (2015).
- ↑ Tolosa, E. A phase 2 trial of the GSK-3 inhibitor tideglusib in progressive supranuclear palsy. Mov. Disord. 29, 470–8 (2014).
- ↑ Science (2016) News intitulée Smile! Researchers have found a natural alternative to painful tooth fillings ; publiée et consultée le 9 janvier 2017
- 1 2 3 Arora M, Weuve J, Weisskopf M.G, Sparrow D, Nie H, Garcia R.I & Hu H (2009) Cumulative lead exposure and tooth loss in men: the Normative Aging Study. Environmental health perspectives, 117(10), 1531.
- ↑ Brennan DS, Spencer AJ, Roberts-Thomson KF. Tooth loss, chewing ability and quality of life. Qual Life Res. 2008;17:227–235
- ↑ Naito M, Yuasa H, Nomura Y, Nakayama T, Hamajima N, Hanada N. Oral health status and health-related quality of life: a systematic review. J Oral Sci. 2006;48:1–7
- ↑ Beltran-Aguilar ED, Barker LK, Canto MT, Dye BA, Gooch BF, Griffin SO, et al. Surveillance for dental caries, dental sealants, tooth retention, edentulism, and enamel fluorosis—United States, 1988–1994 and 1999–2002. MMWR Surveill Summ. 2005;54:1–43
- ↑ Bahekar AA, Singh S, Saha S, Molnar J, Arora R. The prevalence and incidence of coronary heart disease is significantly increased in periodontitis: a meta-analysis. Am Heart J. 2007;154:830–837
- ↑ Michaud DS, Joshipura K, Giovannucci E, Fuchs CS. A prospective study of periodontal disease and pancreatic cancer in US male health professionals. J Natl Cancer Inst. 2007;99:171–175
- ↑ Walls AW, Steele JG, Sheiham A, Marcenes W, Moynihan PJ. Oral health and nutrition in older people. J Public Health Dent. 2000;60:304–307.
- ↑ Dents surnuméraires : Aspects cliniques et approches thérapeutiques Le courrier du dentiste, 15 mai 2002
Liens externes
- Ressources relatives à la santé :
- Ressource relative aux beaux-arts :
- « Dent (anatomie humaine) », sur le dictionnaire de l’Académie nationale de médecine
Voir aussi
Bibliographie
- Augustin Cabanès , Dents et dentistes à travers l'histoire, Paris, Laboratoires Bottu, 1928, 2 tomes
- Françoise Tilotta, Gérard Lévy, Alain Lautrou, Anatomie dentaire, Elsevier Health Sciences, , 320 p. (lire en ligne)
Articles connexes
- Portail de la médecine
- Portail de l’anatomie