Craniopharyngiome
| Spécialité | Oncologie |
|---|
| CIM-10 | D44.4 |
|---|---|
| CIM-9 | 237.0 |
| ICD-O | 9350/1 |
| DiseasesDB | 3153 |
| MedlinePlus | 000345 |
| eMedicine | 339424 |
| MeSH | D003397 |
| Patient UK | Craniopharyngiomas |
Mise en garde médicale
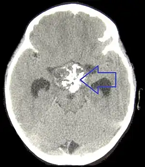
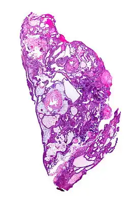
Le craniopharyngiome est une malformation tissulaire embryonnaire (c'est-à-dire apparue avant la naissance) de la région hypophysaire. Les raisons de cette malformation sont encore inconnues. La tumeur, souvent kystique, est visible à l'IRM (imagerie par résonance magnétique) et de nature bénigne. Elle se développe à partir des restes de la poche de Rathke, dans et au-dessus de l'hypophyse. Le craniopharyngiome se situe à proximité directe de zones du cerveau très importantes pour le développement somatique et psychique. La proximité du nerf optique peut aboutir à une réduction du champ visuel, voire une cécité.

Les parties voisines du cerveau comme l'hypophyse et l'hypothalamus sont à l'origine de la formation de nombreuses hormones responsables de la croissance, de la régulation du poids, de la puberté, du métabolisme de l'eau. Souvent, les premières plaintes des patients sont en relation avec un déficit hormonal. Par ailleurs, à proximité de cette région sont synthétisées diverses protéines qui jouent un rôle important dans le rythme nycthéméral (jour/nuit), la concentration, le comportement alimentaire des patients.
Symptômes
- Déficit hormonal
- Baisse de l'acuité visuelle
- Polyurie (uriner plus de 10l/jour)
- Polydipsie (boire plus de 8l/jour)
- Troubles du champ visuel (hémianopsie bitemporale)
- Céphalées importantes à répétition
- Retard de croissance
- Retard de puberté
- Vomissements répétés
Traitement
Le traitement d'un craniopharyngiome nouvellement diagnostiqué est essentiellement chirurgical. La décision de la technique opératoire (voie d'abord, exérèse complète ou partielle) dépendra des caractéristiques de la tumeur. La plupart du temps, le craniopharyngiome ne peut pas être enlevé entièrement, de peur de léser les structures environnantes.
Même si l'ablation est complète, il existe un risque de récidive. Dans ces cas, une nouvelle intervention peut être nécessaire et/ou un traitement par radiothérapie. À part de rares cas où l'hypophyse est peu touchée, les patients devront prendre régulièrement et à vie des hormones sous forme de comprimés, de spray nasal, ou d'injections (sous-cutanées ou intra-musculaires).
Plus de la moitié des patients développent un surpoids important. On décrit également des troubles de la mémoire et de l'attention. Ces séquelles entrainent des difficultés scolaires, parfois même une déscolarisation avec désocialisation.
Un centre de référence des maladies endocriniennes rares de la croissance existe en France. Son premier but est d'améliorer le diagnostic et la prise en charge de ces patients.
Information pour les patients français
Orphanet, en collaboration avec Maladies Rares Info Services, le Centre de référence des maladies endocriniennes rares de la croissance, le Centre de référence des maladies rares d'origine hypophysaire, et l'Association Craniopharyngiome Solidarité, a réalisé une plaquette d'information[1] destinée aux patients.
Associations de patients
- Craniopharyngiome-Solidarité (France)
- « Association des Parents d'Enfants ayant des Problèmes de Croissance (France) »(Archive.org • Wikiwix • Archive.is • Google • Que faire ?) (consulté le )
Centre de Référence
Voir aussi
Article lié
Bibliographie
- (en) Matthew R Garnett, Stéphanie Puget, Jacques Grill, Christian Sainte-Rose, « Craniopharyngioma », Orphanet Journal of Rare Diseases, vol. 2, , p. 18 (PMID 17425791, lire en ligne)
- Van Effenterre R., Boch A.L.,, « Les craniopharyngiomes », Encyclopédie Orphanet, (lire en ligne [PDF])
Notes et références
- ↑ [PDF]plaquette d'information éditée par Orphanet.
- Portail de la médecine