Cortex surrénal
Le cortex surrénal ou cortico-surrénale, comme son nom l'indique, constitue le cortex (l'écorce) de la glande surrénale[1],[2]. Elle joue un rôle important dans la régulation du métabolisme des ions et des sels et à une action anti-inflammatoire. Elle régule, également, la production d'androgènes.
Composition
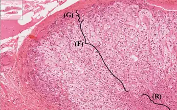
Le cortex surrénal dérive du mésoderme[4]. Il est composé de cellules glandulaires endocrines à sécrétion lipidique divisé en trois zones qui se répartissent en trois couches successives :
Dans la couche distale du cortex surrénale se trouve la zone glomérulaire (G). Les cellules y sont organisées en îlots. Ils produisent des minéralocorticoïdes qui permettent la régulation du métabolisme des ions et des sels.
Dans la couche suivante se trouve la zone fasciculaire (F). Les cellules y sont organisées en cordons. Elles produisent les glucocorticoïdes (cortisone, hydrocortisone) qui ont une action anti-inflammatoire.
Dans la dernière couche du cortex surrénal, se trouve la zone réticulaire (R). Les cellules y sont organisées en îlots. Ils produisent l'androgène.
Coloration
En microscopie optique, coloration de routine (Trichrome de Masson bleu, vert, etc.), coupe paraffine (extraction des lipides).
Références
- ↑ Tortora G. J. Derrickson B. Dubé Sophie Proulx C. & Tortora G. J. (2022). Manuel d'anatomie et de physiologie humaines (3e édition). De Boeck Supérieur ; Éditions du Renouveau Pédagogique
- ↑ Lacour, & Belon, J.-P. (2016). Physiologie humaine. Elsevier Masson
- ↑ « www.histology.be », sur www.histology.be (consulté le )
- ↑ Reece, Jane B., 1944- et Campbell, Neil A., 1946-, Campbell biologie, ERPI, (ISBN 978-2-7613-2856-2, 2761328566 et 9782761350655, OCLC 795117676, lire en ligne)
- Portail de la biologie cellulaire et moléculaire
