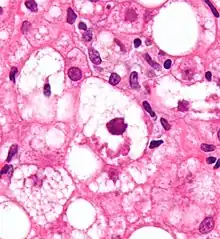
Corps de Mallory

Corps de Mallory
Les corps de Mallory entrent le plus souvent dans le cadre d'une hépatopathie alcoolique[1]. Ils représentent des amas résiduels de microfilaments consécutifs à la toxicité de l’alcool et de ses métabolites.
De manière plus générale, les corps de Mallory se retrouvent aussi dans une stéatohépatite non alcoolique[2]
Ils portent le nom du pathologiste américain Frank Burr Mallory.
Notes et références
- ↑ Anatomie pathologique générale et spéciale, Alan Stevens, James Lowe, 1997
- ↑ NASH
- Portail de la médecine
Cet article est issu de Wikipedia. Le texte est sous licence Creative Commons – Attribution – Partage à l’identique. Des conditions supplémentaires peuvent s’appliquer aux fichiers multimédias.