Chorioamniotite

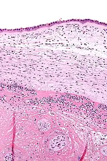
Histopathologie de la chorioamnionite. L'amnios (partie haute de l'image) présente des neutrophiles épars, ce qui permet de diagnostiquer une chorioamnionite.
Une chorioamniotite est une inflammation des membranes fœtales, l'amnios et le chorion, généralement causée par une infection bactérienne[1].
Notes et références
- ↑ Kim CJ et al. « Acute chorioamnionitis and funisitis : definition, pathologic features, and clinical significance » Am J Obstet Gynecol. 2015;213(4 suppl):S29-S52. Accès libre.
- Portail de la médecine
Cet article est issu de Wikipedia. Le texte est sous licence Creative Commons – Attribution – Partage à l’identique. Des conditions supplémentaires peuvent s’appliquer aux fichiers multimédias.