Cellule parafolliculaire

Cellule Parafolliculaire
Cellule Parafolliculaire

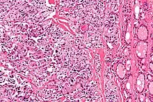
Les cellules parafolliculaires ou cellules C, sont des cellules de la thyroïde qui produisent et sécrètent de la calcitonine.

Les cellules C ont un aspect plus pâle que celles de la thyroïde. Elles se trouvent autour des follicules dans une proportion de une pour cinq thyréocytes. Les cellules C dérivent des crêtes neurales, donc du neuroectoderme[1].

Notes et références

  1. Chevallier JM, H. Martelli et Ph Wind, « La découverte chirurgicale des glandes parathyroïdes et du nerf laryngé récurrent : application en salle d'opération des notions embryologiques connues », Annales de chirurgie, vol. 49, no 4, (résumé)
  • icône décorative Portail de la médecine
Cet article est issu de Wikipedia. Le texte est sous licence Creative Commons – Attribution – Partage à l’identique. Des conditions supplémentaires peuvent s’appliquer aux fichiers multimédias.