Carcinosarcome

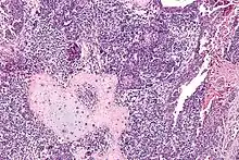
Carcinosarome utérin. HE, x250.
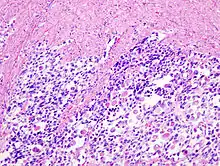
_rhabdomyosarcomatous.jpg)
Invasion du myomètre par un carcinosarcome utérin avec différenciation rhabdomyosarcomateuse. HE, x400.
Le carcinosarcome est une tumeur maligne associant des aspects carcinomateux et sarcomateux[1]. Il est fréquemment de localisation utérine.
Notes et références
- ↑ (en) « Carcinosarcoma », sur NCI Dictionary of Cancer Terms (consulté le )
Liens externes
- Ressources relatives à la santé :
- Portail de la médecine
Cet article est issu de Wikipedia. Le texte est sous licence Creative Commons – Attribution – Partage à l’identique. Des conditions supplémentaires peuvent s’appliquer aux fichiers multimédias.