Buchnera aphidicola

Buchnera aphidicola
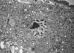
Description de cette image, également commentée ci-après
Cellules de Buchnera aphidicola dans une cellule-hôte
Classification
Domaine Bacteria
Embranchement Pseudomonadota
Classe Gammaproteobacteria
Ordre Enterobacterales
Famille Erwiniaceae
Genre Buchnera

Espèce

Buchnera aphidicola
Munson et al. 1991

Buchnera aphidicola est une espèce de bactéries bacilles Gram négatifs de la famille des Erwiniaceae.

Description

Elle est un endosymbiote obligatoire de toutes les espèces de pucerons, dont la plus étudiée Acyrthosiphon pisum (Aphidoidea). Il est admis qu'une bactérie Buchnera ancestrale ait été une bactérie non symbiotique gram négatif similaire aux Enterobacteriaceae actuels tel que Escherichia coli. Buchnera aphidicola mesure µm de diamètre et possède des caractéristiques typiques aux Enterobacteriaceae tels qu'une paroi cellulaire gram négative. Cependant, contrairement à la plupart des bactéries gram-négatives, Buchnera aphidicola ne possède pas de gènes responsables de la synthèse de lipopolysaccharides (LPS) pour la membrane externe. La symbiose avec l´hôte qui implique une transmission verticale de la bactérie a conduit à la perte des gènes requis pour la respiration anaérobie, la synthèse de sucres aminés, d´acide gras, de phospholipides et de glucides. La conséquence de ces pertes géniques est une réduction importante de la taille du génome.

La relation symbiotique avec les pucerons s´est établie entre 160 et 280 millions d´années[1] et persiste par transmission maternelle et co-spéciation. Les aphidoidea possèdent des cellules spécialisées appelées bactériocytes (ou mycétocytes) qui accueillent les bactéries Buchnera. Il a été estimé qu'un puceron mature possède 5,6 × 106 bactéries Buchnera.

Annexes

Description originale

  • Munson, Baumann & Kinsey, 1991 : Buchnera gen. nov. and Buchnera aphidicola sp. nov., a taxon consisting of the mycetocyte-associated, primary endosymbionts of aphids. International Journal of Systematic Bacteriology, vol. 41, n. 4, p. 566-568.

Notes et références

  1. (en) Pérez-Brocal V, Gil R, Ramos S, Lamelas A, Postigo M, Michelena J, Silva F, Moya A, Latorre A, « A small microbial genome: the end of a long symbiotic relationship? », Science, vol. 314, no 5797, , p. 312–3 (PMID 17038625, DOI 10.1126/science.1130441)

Liens externes

  • icône décorative Portail de la microbiologie
Cet article est issu de Wikipedia. Le texte est sous licence Creative Commons – Attribution – Partage à l’identique. Des conditions supplémentaires peuvent s’appliquer aux fichiers multimédias.