Bronchiolite oblitérante

Bronchiolite oblitérante
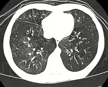
Description de cette image, également commentée ci-après
TDM bronchectasies, épaississants bronchiques[1]
Traitement
Médicament Ciclosporine, bortézomib et azithromycine
Spécialité Pneumologie
Classification et ressources externes
CIM-9 491.8
DiseasesDB 1704
MeSH D001989

Wikipédia ne donne pas de conseils médicaux Mise en garde médicale

Initialement décrite comme une complication des transplantations cœur-poumon, la bronchiolite oblitérante ou bronchiolite des greffés est en fait une complication potentielle de tous les types de transplantation pulmonaire (bipulmonaire, unipulmonaire, cœur-poumon).

Elle peut également résulter de l'intoxication par le diacétyle (arôme alimentaire au goût de beurre) des travailleurs des usines de popcorn.

En 2015, une étude de l'Université de Harvard (sujette à controverse) met en garde les vapoteurs de l'éventuelle présence de diacétyle dans certains liquides à vapoter destinés aux cigarettes électroniques en indiquant qu'ils seraient potentiellement déclencheurs de bronchiolite oblitérante.

En 2019, une nouvelle publication est réalisée par le Canadian Medical Association Journal[2], décrivant un lien avec le vapotage[3],[4].

Notes et références

  1. Xie BQ, Wang W, Zhang WQ, Guo XH, Yang MF, Wang L, He ZX, Tian YQ, « Ventilation/perfusion scintigraphy in children with post-infectious bronchiolitis obliterans: a pilot study », PLOS ONE, vol. 9, no 5, , e98381 (PMID 24852165, PMCID 4031120, DOI 10.1371/journal.pone.0098381, Bibcode 2014PLoSO...998381X)
  2. (en) bbc, « Vaping linked to teen's 'popcorn lung' type injury - BBC News », sur BBC News (consulté le ).
  3. (en) Simon T. Landman, Inderdeep Dhaliwal, Constance A. Mackenzie et Tereza Martinu, « Life-threatening bronchiolitis related to electronic cigarette use in a Canadian youth », CMAJ, (ISSN 0820-3946 et 1488-2329, PMID 31753841, DOI 10.1503/cmaj.191402, lire en ligne, consulté le )
  4. (en) Matthew B. Stanbrook, « Vaping-associated lung illnesses highlight risks to all users of electronic cigarettes », CMAJ, (ISSN 0820-3946 et 1488-2329, PMID 31753840, DOI 10.1503/cmaj.191503, lire en ligne, consulté le )

Liens externes

  • icône décorative Portail de la médecine
Cet article est issu de Wikipedia. Le texte est sous licence Creative Commons – Attribution – Partage à l’identique. Des conditions supplémentaires peuvent s’appliquer aux fichiers multimédias.