Bronchiolite
| Causes | Virus respiratoire syncytial ou infection virale des voies respiratoires (d) |
|---|
| Traitement | Home oxygen therapy (d) |
|---|---|
| Spécialité | Pneumologie, médecine d'urgence, pédiatrie et infectiologie |
| CISP-2 | R78 |
|---|---|
| CIM-10 | J21 |
| CIM-9 | 466.1 |
| DiseasesDB | 1701 |
| MedlinePlus | 000975 |
| eMedicine | 961963 |
| MeSH | D001988 |
| Patient UK | Bronchiolitis-pro |
Mise en garde médicale
Une bronchiolite est une infection aiguë des voies respiratoires inférieures d'origine virale, touchant les petites bronches du nourrisson et du jeune enfant et se transmettant sur un mode épidémique saisonnier. Les symptômes respiratoires sont souvent inquiétants pour les parents, mais cette maladie est le plus souvent bénigne. 99 % des bébés s'en sortent naturellement et seulement 0,3 % d'entre eux ont eu besoin d'être hospitalisés en 2021.
Causes
Le virus respiratoire syncytial (VRS) en est responsable, classiquement, dans près de 80 % des cas[1].
D'autres virus peuvent en être la cause (metapneumovirus, rhinovirus, adénovirus, virus de la grippe et parainfluenza, entérovirus, etc.). Le HMPV (Human Metapneumovirus) a été identifié en 2001[2] et semble être responsable de près de 10 % des bronchiolites.
Épidémiologie
.jpg)
La bronchiolite touche principalement les nourrissons de moins de deux ans. Elle évolue par épidémies saisonnières automno-hivernales, généralement de la mi-octobre à la fin de l'hiver, avec un pic de cas aux mois de décembre/janvier[3],[4]. C'est la maladie virale la plus fréquente chez les enfants de moins de deux ans avec près de 480 000 cas par an en France, ce qui correspond à 30 % des nourrissons[3].
Les enfants fragiles (prématurés, faible poids de naissance, âge inférieur à six semaines, anomalies respiratoires préexistantes, porteurs de maladies cardiaques ou neurologiques, immunodéficients…) sont particulièrement touchés, ainsi que ceux exposés au tabagisme passif ou à d'autres facteurs environnementaux (garde en collectivité, fratrie nombreuse, zone urbaine, bas niveau socio-économique sont des facteurs favorisants les récidives).
1 à 2 % des bronchiolites sont graves. Chaque année, en France, 2 % des nourrissons de moins d'un an seraient hospitalisés pour une bronchiolite plus sévère, mais les décès imputables à la bronchiolite aiguë sont très rares (inférieurs à 1 %)[3].
La période épidémique débute vers mi-octobre et court de décembre à janvier en Europe et peut s'étendre jusqu'à la fin de l'hiver[3].
C'est la première cause d'hospitalisation des enfants aux États-Unis[5] et la première cause de consultation et d’hospitalisation dans des services de pédiatrie et en réanimation pédiatrique durant la période hivernale en France[6].
Physiopathologie
La contamination est interhumaine, le virus en cause se transmet soit directement par le biais des sécrétions contaminées (lors d'une toux ou d'un éternuement, la salive) soit indirectement (par les mains souillées). Le VRS peut survivre à l'air libre 30 minutes sur la peau et jusqu'à six à sept heures sur un linge.
La période d'incubation est de deux à huit jours, puis le virus se multiplie dans la muqueuse nasale (une rhinopharyngite inaugure ainsi fréquemment une bronchiolite). Il gagne ensuite les voies respiratoires inférieures pour atteindre les bronchioles où il se multiplie, au sein des cellules épithéliales.
Le tableau clinique est dû à une obstruction des voies aériennes, d'une part causée par un bouchon muqueux obstruant la lumière, d'autre part due à une inflammation de la paroi bronchique. Le bouchon muqueux est créé par l'accumulation de cellules mortes et de sécrétions muqueuses. L'obstruction n'est que peu liée au spasme bronchique, les muscles lisses étant encore peu développés à cet âge.
Le virus est éliminé au bout de trois à sept jours en moyenne, mais la contamination peut parfois durer jusqu'à quatre semaines.
Description du tableau clinique
Les premiers symptômes sont ORL avec une rhinite (écoulement nasal) et une toux plutôt sèche. L'obstruction nasale est variable ainsi que la fièvre, absente ou modérée (autour de 38 °C). Cette rhinopharyngite aiguë peut rester isolée, mais précède la bronchiolite de 24 à 72 heures, et doit donc inciter à la vigilance en période épidémique.
La bronchiolite proprement dite se manifeste par une difficulté respiratoire (dyspnée) avec respiration rapide (tachypnée). La dyspnée prédomine à l'expiration, est plus ou moins bruyante et accompagnée d'un freinage (augmentation du temps expiratoire par rapport au temps inspiratoire), voire d'une distension thoracique et de signes de lutte tels qu'un battement des ailes du nez ou un tirage inter-costal et sus-claviculaire). Elle ne doit pas être confondue avec l'asthme du nourrisson[7].
Certains signes de gravité justifient une consultation en urgence :
- enfant très jeune (moins de trois mois) ;
- difficultés ou refus alimentaires ;
- apnée (pause respiratoire) ou tachypnée > 60 par minute ;
- sueurs, cyanose (coloration bleutée de la peau) ;
- fréquence cardiaque très élevée ;
- troubles de la conscience : perte de connaissance, malaise.
L'auscultation des poumons perçoit au début de la maladie des crépitants (secs et inspiratoires) et/ou des sous-crépitants (plus humides et expiratoires), surtout chez le jeune nourrisson. Puis apparaissent des râles bronchiques et des sibilants, parfois audibles à distance (wheezing). Après l'âge d'un an, l'auscultation retrouve des râles sibilants expiratoires. Parfois l'auscultation peut être normale, notamment dans les formes graves à thorax distendu.
Malgré l’existence de nombreux guides de pratique clinique dans différents pays, d’importantes variations dans les approches du diagnostic, de la surveillance et de la prise en charge sont constatées[8].
Évolution
À court terme
La période d'incubation est de deux à huit jours puis les symptômes apparaissent et atteignent un pic d'intensité après deux à quatre jours. L'évolution clinique est favorable dans la très grande majorité des cas. L'évolution peut être traînante, avec une toux et une respiration sifflante pouvant se prolonger quelques semaines.
Le risque de décès à la phase aiguë, notamment à la suite d'une apnée, est souvent nul dans les séries occidentales les plus récentes.
Surinfection bactérienne
Une surinfection par une bactérie est possible. C'est uniquement dans ce cas qu'une antibiothérapie est utile. Les trois germes les plus fréquemment rencontrés sont Haemophilus influenzae, Streptococcus pneumoniae et Moraxella catarrhalis. Une réévaluation clinique de l'enfant est nécessaire dans les cas suivants[9] :
- une otite moyenne aiguë associée ;
- une fièvre supérieure à 38,5 °C persistante ;
- des sécrétions bronchiques purulentes associées à de la fièvre ;
- un foyer pulmonaire à la radiographie thoracique ;
- une élévation de la CRP et des polynucléaires neutrophiles à la prise de sang.
À moyen et long terme
Persistance des signes respiratoires au-delà des deux à trois semaines habituelles, et notamment du wheezing qui peut devenir chronique. Répétition des épisodes lors des deux premières années de vie. On parle d'« asthme du nourrisson » à partir du 3e épisode ; celui-ci évolue vers un asthme du grand enfant dans seulement 20 à 25 % des cas.
Examens complémentaires
En règle générale, le tableau est suffisamment typique sans qu'aucun examen complémentaire soit nécessaire.
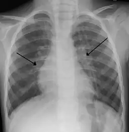
- La radiographie pulmonaire montre une opacité diffuse de la trame pulmonaire, une augmentation de la taille des espaces intercostaux et un abaissement des coupoles diaphragmatiques.
- La recherche du virus respiratoire syncytial peut être faite soit directement dans un prélèvement de la gorge ou du nez, soit indirectement par la recherche de ses antigènes. Cette recherche s'avère positive dans 70 %. Elle n'a d'intérêt que dans le cadre d'enquêtes épidémiologiques.
- Une mesure de la saturation en oxygène du sang par Oxymétrie colorimétrique peut être utile si une forme grave est suspectée.
En cas de bronchiolites répétées, il faut rechercher une maladie sous-jacente, par des examens complémentaires qui seront choisis en fonction des symptômes de l'enfant :
- corps étranger bronchique ;
- mucoviscidose ;
- déficit immunitaire ;
- infection ORL chronique ;
- allergie ;
- tuberculose ;
- reflux gastro-œsophagien ;
- troubles de la déglutition.
Cependant, dans la grande majorité des cas, aucune cause n'est retrouvée, et la répétition des épisodes n'est due qu'à une exposition trop importante à d'autres enfants malades.
Critères de gravité pour une hospitalisation
Parfois la bronchiolite aiguë du nourrisson pourrait mettre en jeu le pronostic vital et l'hospitalisation est nécessaire dans les cas suivants[9] :
Sévérité clinique
- Altération importante de l'état général
- Apnée et cyanose
- Fréquence respiratoire supérieure à 60 par minute
- Saturation en O2 inférieure à 94 % en air ambiant et au repos ou lors de la prise du biberon
- Troubles de la ventilation suspectés par la clinique et confirmés par la radiologie
- Troubles digestifs (vomissement, anorexie) compromettant l'hydratation, déshydratation avec perte de poids supérieure à 5 %
Terrain
- Âge inférieur à 6 semaines
- Prématurité inférieure à 34 SA, âge corrigé inférieur à 3 mois
- Cardiopathie ou pathologie pulmonaire chronique grave
Environnement
- Difficultés psycho-sociales, environnement familial problématique
Prévention
Deux anticorps monoclonaux et désormais trois vaccins permettent une immunisation contre le virus respiratoire syncytial.
Le palivizumab est un anticorps monoclonal dirigé contre le virus respiratoire syncytial[10]. Il est efficace dans la prévention de la bronchiolite mais son coût, très important, le réservait à certains enfants particulièrement fragiles. Il n'a pas d'efficacité curative démontrée, de la même façon que pour les autres traitements antiviraux. Donné en injection intramusculaire mensuelle pendant cinq mois[11], il permettait d'éviter les formes graves de la maladie[12]. Il était administré aux prématurés, aux nouveau-nés avec une maladie pulmonaire ou une cardiopathie congénitales[11].
Le nirsevimab (Beyfortus) a l'avantage de pouvoir être donné en une unique injection[13]. Ce médicament préventif a reçu l'autorisation de l'Agence européenne des médicaments le [14]. Il est commercialisé en 2023[15],[16].
En 2024, deux vaccins contre le virus respiratoire syncytial (VRS), à protéine recombinante, ont obtenu une autorisation de mise sur le marché (AMM) : Arexvy (GSK) et Abrysvo (Pfizer). Ils sont suivi par un troisième (mRESVIA de Moderna) qui utilise la technique de l'ARN messager[17]. En France, les personnes âgées de 75 ans et plus ou celles de 65 ans et plus présentant des pathologies cardiorespiratoires chroniques sont invitées à se faire vacciner[18].
Le vaccin Abrysvo, développé par Pfizer, recourt à la technologie classique des protéines virales, sans adjuvant. Il contient des glycoprotéines F (de préfusion) des types VRS A et B. Ce vaccin peut être administré par injection à la mère au 8e mois de grossesse (entre 32 et 36 semaines d'aménorrhée) afin d'immuniser le bébé jusqu'à ses 6 mois (période où il est le plus vulnérable)[19].
Traitement
Avant le vaccin, il n'existait pas de traitement étiologique ou préventif largement disponible contre cette infection : la prise en charge de la bronchiolite était essentiellement symptomatique[6],[20].
Mesures générales
La désobstruction rhinopharyngée, consistant en un nettoyage du nez et du circuit nez/sinus/arrière gorge est primordiale. Elle doit être réalisée plusieurs fois par jour, avec du sérum physiologique, narine par narine, nourrisson couché sur le dos, la tête tournée sur le côté ou en position latérale. L'utilisation du mouche-bébé est moins efficace[9].
Il faut veiller à apporter une hydratation et une alimentation suffisantes et adaptées à la fièvre et à la polypnée, qui augmentent légèrement les besoins. Il peut être utile de fractionner les repas de l'enfant.
Il faut assurer la suppression du tabac dans l'environnement. La chambre de l'enfant doit être correctement aérée et la température maintenue sous 19 °C.
Lors du couchage, il est recommandé de placer l'enfant en position proclive dorsale à 30 degrés[21] (c'est-à-dire la tête et le torse surélevés par rapport aux jambes)[22].
Dans les formes graves l'hospitalisation est de mise avec oxygénothérapie (parfois sous forme d'oxygénothérapie nasale à haut débit[23] ou de ventilation en pression positive continue[24]), alimentation entérale ou parentérale, voire la ventilation assistée.
Traitement médicamenteux
Les sirops contre la toux et les médicaments sédatifs ne sont pas indiqués car la toux doit être respectée. Les mucolytiques et les mucorégulateurs n'ont pas d'indication per os. Les mucolytiques peuvent être dangereux en nébulisation, parfois responsables d'un bronchospasme.
Les corticoïdes[25], bronchodilatateurs bétamimétiques[26], antihistaminiques et antibiotiques[27] n'ont pas d'efficacité sur la durée ou la sévérité de la maladie.
La nébulisation de solutions salines hypertoniques (≥ 3 %) peut améliorer les symptômes ainsi que la durée de séjour d'un nourrisson hospitalisé[28]. Elle pourrait également réduire le risque d'hospitalisation pour un nourrisson pris en charge aux urgences ou en ambulatoire[28]. Les données des études restent de qualité faible à modérée[28]. L'ajout de vitamine D ou de zinc à la nébulisation de solutions salines hypertoniques est inutile[29], mais l'effet de la vitamine D seule contre placebo permet de réduire la durée d'hospitalisation de deux jours[30]. (Le récepteur de la vitamine D serait impliqué dans cette maladie[31],[32].) Un taux prénatal plus élevé de vitamine D est associé à une prévalence plus faible d'infections respiratoires de 60 % avant six mois et seulement de 20 % de six mois à trois ans[33],[34].
Les antibiotiques ne sont utilisés que dans les rares complications bactériennes. Il faut alors choisir un antibiotique efficace contre les trois germes les plus fréquemment rencontrés (Haemophilus influenzae, Streptococcus pneumoniae et Moraxella catarrhalis). En l'absence d'allergie, l'amoxicilline associée à de l'acide clavulanique est une antibiothérapie possible.
D'après une méta-analyse, l'utilisation de formulations de médecines chinoises traditionnelles en complément des soins habituels réduit la durée d'hospitalisation mais des études cliniques complémentaires sont indispensables pour établir un protocole d'utilisation rigoureux[35].
Kinésithérapie
En France, à la différence de la pratique aux États-Unis, la kinésithérapie respiratoire a été préconisée par un consensus datant de l'an 2000. Cette recommandation était fondée sur un faible niveau de preuve (grade C)[36]. La technique est celle de l'augmentation du flux expiratoire (AFE lente) avec toux provoquée. En particulier, il n'a pas été démontré d'efficacité de cette technique tant en termes de délai de guérison que de taux de survenue de complications. Les vomissements et troubles respiratoires ont été plus fréquents dans le groupe traité par kinésithérapie. D'autre part, on estime que la kinésithérapie entraîne environ une fracture de côte pour 1 000 nourrissons traités[37]. Le recours systématique à la kinésithérapie respiratoire n'est probablement pas justifié[38],[39]. La prise en charge en kinésithérapie réalisée en ambulatoire permettrait de soulager les symptômes et de rassurer les parents.
Les techniques utilisant la percussion et les vibrations ont été évaluées mais n'apportent pas la preuve de leur efficacité[40] et ne sont plus utilisées depuis les années 1990. Par contre aucun effet indésirable n'a été recensé en utilisant ces techniques.
Notes et références
- ↑ (en) Bush A, Thomson AH, « Acute bronchiolitis » BMJ 2007;335:1037-1041
- ↑ (en) van den Hoogen BG, de Jong JC, Groen J, Kuiken T, de Groot R, Fouchier RA, Osterhaus AD, « A newly discovered human pneumovirus isolated from young children with respiratory tract disease », Nat Med, vol. 7, no 6, , p. 719-24. (PMID 11385510, DOI 10.1038/89098)
- 1 2 3 4 Bronchiolite. Santé Publique France, 18 mars 2020 (Consulté le 20/02/2020)
- ↑ Fuger M, Timsit S, Chéron G. "Bronchiolite du nourrisson." EMC - Médecine d’urgence 2018;13(2):1-9 [Article 25-140-C-20]
- ↑ (en) Breese Hall C, « Therapy for bronchiolitis: when some become none » New Eng J Med. 2007;357:402-404
- 1 2 Bronchiolite : pourquoi elle ne touche que les nourrissons (communiqué de presse), Institut Pasteur, 23/02/2017 (Consulté le 20/04/2020)
- ↑ Epidémie de bronchiolites, Syndicat National des Jeunes Médecins Généralistes, 18 novembre 2019 (Consulté le 20/04/2020)
- ↑ La bronchiolite : recommandations pour le diagnostic, la surveillance et la prise en charge des enfants de un à 24 mois, Friedman JN, Rieder MJ, Walton JM; Paediatr Child Health. 2014;19(9):492–498.
- 1 2 3 « Prise en charge de la bronchiolite du nourrisson - Conférence de consensus », ANAES,
- ↑ « SYNAGIS (palivizumab) : nouvelles présentations en solution injectable prête à l'emploi », sur VIDAL (consulté le )
- 1 2 Dalziel SR, Haskell L, O'Brien S et al. Bronchiolitis, Lancet, 2022;400:392-406
- ↑ Andabaka T, Nickerson JW, Rojas-Reyes MX, Rueda JD, Bacic Vrca V, Barsic B, Monoclonal antibody for reducing the risk of respiratory syncytial virus infection in children, Cochrane Database Syst Rev, 2013; 4CD006602
- ↑ Griffin MP, Yuan Y, Takas T et al. Single-dose nirsevimab for prevention of RSV in preterm infants, N Engl J Med, 2020;383:415-425
- ↑ https://www.lefigaro.fr/flash-eco/bronchiolite-un-vaccin-sanofi-astrazeneca-obtient-le-feu-vert-de-l-agence-europeenne-du-medicament-20220916
- ↑ « Bronchiolite : ce qui change pour la deuxième campagne de Beyfortus », sur TF1 INFO, (consulté le )
- ↑ LIBERATION et AFP, « Bronchiolite : un premier médicament préventif approuvé par l’Union européenne », sur Libération (consulté le )
- ↑ « Bronchiolite : le vaccin Moderna pour les plus de 60 ans approuvé par l'UE », sur Les Echos, (consulté le )
- ↑ Ouest-France, « Bronchiolite : la vaccination des seniors recommandée par les autorités sanitaires », sur Ouest-France.fr, (consulté le )
- ↑ « Vaccination maternelle contre le VRS : une nouvelle possibilité pour protéger le nouveau-né », sur Haute Autorité de Santé (consulté le )
- ↑ Bronchiolitis, R Smyth, P Openshaw, Lancet, Seminar, 2006, vol. 368, no 9532, p. 312-322, 22 juillet 2006
- ↑ http://www.has-sante.fr/portail/jcms/c_271917/prise-en-charge-de-la-bronchiolite-du-nourrisson
- ↑ « Bronchiolite du NNO : Prévention et mesures parentales », sur esculape.com (consulté le ).
- ↑ Lin J, Zhang Y, Xiong L, Liu S, Gong C, Dai J, High-flow nasal cannula therapy for children with bronchiolitis: a systematic review and meta-analysis, Arch Dis Child, 2019;104:564-57
- ↑ Jat KR, Mathew JL, Continuous positive airway pressure (CPAP) for acute bronchiolitis in children, Cochrane Database Syst Rev, 2019;1CD010473
- ↑ (en) Patel H, Platt R, Lozano JM, Wang EEL, « Glucocorticoids for acute viral bronchiolitis in infants and young children » Cochrane Database Syst Rev. 2004;(3):CD004878
- ↑ (en) Gadomski AM, Bhasale AL, « Bronchodilators for bronchiolitis » Cochrane Database Syst Rev. 2006;(3):CD001262
- ↑ Si-Yi Che, Huan He, Yu Deng et En-Mei Liu, « [Clinical effect of azithromycin adjuvant therapy in children with bronchiolitis: a systematic review and Meta analysis] », Zhongguo Dang Dai Er Ke Za Zhi = Chinese Journal of Contemporary Pediatrics, vol. 21, no 8, , p. 812–819 (ISSN 1008-8830, PMID 31416508, PMCID 7389899, DOI 10.7499/j.issn.1008-8830.2019.08.014, lire en ligne, consulté le )
- 1 2 3 (en) Linjie Zhang, Raúl A Mendoza-Sassi, Claire Wainwright et Terry P Klassen, « Nebulised hypertonic saline solution for acute bronchiolitis in infants », Cochrane Database of Systematic Reviews, (DOI 10.1002/14651858.CD006458.pub4, lire en ligne, consulté le )
- ↑ (en) Parisa Khoshnevisasl, Mansour Sadeghzadeh, Koorosh Kamali et Armita Ardalani, « A randomized clinical trial to assess the effect of zinc and vitamin D supplementation in addition to hypertonic saline on treatment of acute bronchiolitis », BMC Infectious Diseases, vol. 22, no 1, , p. 538 (ISSN 1471-2334, PMID 35692038, PMCID PMC9190165, DOI 10.1186/s12879-022-07492-2, lire en ligne, consulté le )
- ↑ (en) Khaled Saad, Nafisa H.R. Abd Aziz, Amira A. El-Houfey et Osama El-Asheer, « Trial of Vitamin D Supplementation in Infants with Bronchiolitis: A Randomized, Double-Blind, Placebo-Controlled Study », Pediatric Allergy, Immunology, and Pulmonology, vol. 28, no 2, , p. 102–106 (ISSN 2151-321X et 2151-3228, DOI 10.1089/ped.2015.0492, lire en ligne, consulté le )
- ↑ Arie Jan Stoppelenburg, Johannes Hendrick von Hegedus, Ron Huis in't Veld et Louis Bont, « Defective control of vitamin D receptor-mediated epithelial STAT1 signalling predisposes to severe respiratory syncytial virus bronchiolitis », The Journal of Pathology, vol. 232, no 1, , p. 57–64 (ISSN 1096-9896, PMID 24105653, DOI 10.1002/path.4267, lire en ligne, consulté le )
- ↑ Maria Zacharioudaki, Ippokratis Messaritakis et Emmanouil Galanakis, « Vitamin D receptor, vitamin D binding protein and CYP27B1 single nucleotide polymorphisms and susceptibility to viral infections in infants », Scientific Reports, vol. 11, , p. 13835 (ISSN 2045-2322, PMID 34226633, PMCID 8257681, DOI 10.1038/s41598-021-93243-3, lire en ligne, consulté le )
- ↑ Rosa M. Pacheco-González, Luis García-Marcos et Eva Morales, « Prenatal vitamin D status and respiratory and allergic outcomes in childhood: A meta-analysis of observational studies », Pediatric Allergy and Immunology: Official Publication of the European Society of Pediatric Allergy and Immunology, vol. 29, no 3, , p. 243–253 (ISSN 1399-3038, PMID 29444346, DOI 10.1111/pai.12876, lire en ligne, consulté le )
- ↑ M. Treiber, F. Mujezinović, B. Pečovnik Balon et M. Gorenjak, « Association between umbilical cord vitamin D levels and adverse neonatal outcomes », The Journal of International Medical Research, vol. 48, no 10, , p. 0300060520955001 (ISSN 0300-0605, PMID 33044113, PMCID 7555573, DOI 10.1177/0300060520955001, lire en ligne, consulté le )
- ↑ (en-US) Hao Wang, Xiaoying Liu, Yabin Wu et Chune Yang, « Efficacy and safety of integrated traditional Chinese and Western medicine for the treatment of infant bronchiolitis: A systematic review, meta-analysis and GRADE evaluation », Medicine, vol. 101, no 30, , e29531 (PMID 35905219, PMCID PMC9333466, DOI 10.1097/MD.0000000000029531, lire en ligne, consulté le )
- ↑ Anaes 2000 et institut national de prévention et d'éducation pour la santé 2003
- ↑ Prescrire rédaction, « Bronchiolite : un essai négatif pour la kinésithérapie respiratoire », Prescrire, vol. 30, no 325, , p. 849
- ↑ Rev. Prescrire (novembre 2006)
- ↑ B. Sterling, E. Bosdure, N. Stremler-Le Bel, B. Chabrol, J.-C. Dubus, « Bronchiolite et kinésithérapie respiratoire : un dogme ébranlé », Archives de Pédiatrie 2015;22:98-103
- ↑ (en) Perrota C, Ortiz Z, Roque M, « Chest physiotherapy for acute bronchiolitis in paediatric patients between 0 and 24 months old » Cochrane Database Syst Rev 2005;(2):CD004873
Voir aussi
Liens connexes
Liens externes
- France
- Prise en charge du premier épisode de bronchiolite aiguë chez le nourrisson de moins de 12 mois Méthode Recommandations pour la pratique clinique. Texte des recommandations, novembre 2019, Haute Autorité de santé France (Consulté le 20/02/2020).
- Québec
- CHAPITRE 6─SYNDROMES CLINIQUES. Bronchiolite. Ministère de la Santé et des Services sociaux, 2016.
- La bronchiolite : recommandations pour le diagnostic, la surveillance et la prise en charge des enfants de un à 24 mois, Société canadienne de pédiatrie, 31 janvier 2018 (Consulté le 20/04/2020).
- Portail de la médecine
- Portail de la virologie
- Portail des maladies infectieuses
- Portail de l'enfance