Astrocytome anaplasique

Astrocytome anaplasique
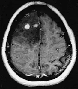
Description de l'image 405518-FIBRILLARY OR DIFFUSE ASTROCYTIC NEOPLASM.jpg.
Traitement
Médicament Bevacizumab et témozolomide
Spécialité Oncologie
Classification et ressources externes
CIM-10 C71
ICD-O 9401/3

Wikipédia ne donne pas de conseils médicaux Mise en garde médicale

L'astrocytome anaplasique est une tumeur maligne (grade III selon la classification de l'OMS). Il se développe à partir des astrocytes (cellules nerveuses en forme d'étoile)[1]. Il est classé avec les glioblastomes multiformes et les oligodendrogliomes parmi les gliomes malins.

Beaucoup moins fréquents que les glioblastomes, il survient à tout âge mais le plus souvent entre 40 et 60 ans et plus fréquemment chez l'homme. La médiane de survie peut être de l'ordre de trois ans. On ne connaît pas les causes de cette maladie. La tumeur siège le plus souvent au niveau de la substance blanche. Leur prolifération cellulaire est importante et ils peuvent évoluer rapidement vers un glioblastome.

Les signes neurologiques ne sont pas spécifiques, ce sont ceux de l'hypertension intracrânienne associés souvent à des modifications du comportement ou à des déficits neurologiques focaux, des crises d'épilepsie.

Notes et références

Articles connexes

  • icône décorative Portail de la médecine
Cet article est issu de Wikipedia. Le texte est sous licence Creative Commons – Attribution – Partage à l’identique. Des conditions supplémentaires peuvent s’appliquer aux fichiers multimédias.