Anaplasie

L'anaplasie est l’absence de différenciation complète des cellules d’un tissu qui de ce fait retournent à une forme immature, moins spécialisée[1],[2].
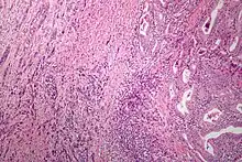
Elle est principalement observée dans les proliférations tumorales malignes où le degré de différenciation peut être faible ou nul. On parle alors de tumeur indifférenciée ou anaplasique[1]. L’anaplasie est donc la perte anormale de certains caractères de différenciation cellulaire, sans pour autant qu’il y ait un véritable retour à l'état de cellule primaire[3].
Les cellules anaplasiques se divisent rapidement et tant leur aspect que leur fonctionnement ne ressemblent plus à celui des cellules normales de l’organe concerné[2],[4]. Plus l'anaplasie est importante, plus la tumeur est jugée maligne et le pronostic mauvais[3].
Comme adjectif, le terme entre souvent dans la dénomination des cancers anaplasiques, tumeurs anaplasiques, lymphomas anaplasiques, etc.
Notes et références
- Portail de la biologie cellulaire et moléculaire
- Portail de la médecine