Adénome parathyroïdien

Adénome parathyroïdien
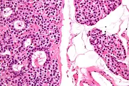
Description de cette image, également commentée ci-après
Adénome parathyroïdien en microscopie optique
Traitement
Spécialité Oncologie
Classification et ressources externes
CIM-10 D35.1
CIM-9 227.1
DiseasesDB 9626
MedlinePlus 001188
MeSH D010282

Wikipédia ne donne pas de conseils médicaux Mise en garde médicale

Un adénome parathyroïdien est une tumeur bénigne des glandes parathyroïdes[1], généralement responsable d'une hyperparathyroïdie primaire par hypersécrétion de parathormone. Le traitement en est chirurgical par parathyroïdectomie.

Notes et références

  1. « Tumeurs et affections de la parathyroïde », sur Société canadienne du cancer (consulté le ).
  • icône décorative Portail de la médecine
Cet article est issu de Wikipedia. Le texte est sous licence Creative Commons – Attribution – Partage à l’identique. Des conditions supplémentaires peuvent s’appliquer aux fichiers multimédias.