Achalasie

Achalasie
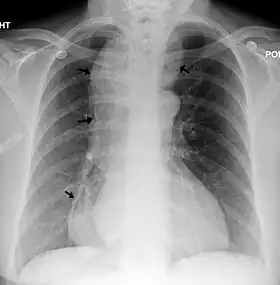
Description de cette image, également commentée ci-après
Une radiographie pulmonaire montrant une achalasie (les flèches pointent vers le contour de l'œsophage massivement dilaté)
Traitement
Traitement Myotomie de Heller (en)
Spécialité Gastro-entérologie, chirurgie générale et digestive et chirurgie thoracique
Classification et ressources externes
CIM-10 K22
OMIM 200400
DiseasesDB 72
MedlinePlus 000267
eMedicine 363551
MeSH D004931
Patient UK Achalasia-pro

Wikipédia ne donne pas de conseils médicaux Mise en garde médicale

L'achalasie, qui signifie « difficulté à se relâcher » , également appelée cardio-spasme ou mégaœsophage, est une maladie rare de cause inconnue consistant en un trouble moteur primitif de l'œsophage. Elle est définie par l’absence du péristaltisme œsophagien et par une absence de relaxation ou relaxation incomplète du sphincter inférieur de l'œsophage (SIO)[1].

Historique

L'atteinte a été décrite pour la première fois par Thomas Willis en 1674[2].

Épidémiologie

Le taux d'incidence est de 0,5 à 1 cas pour 100 000 habitants par an, à peu près comparable selon les pays[2]. La prévalence est de 1 pour 10 000. Au Royaume-Uni, environ 6 500 personnes en sont atteintes[3]. L'âge de survenue s'étend de 25 à 60 ans, l'incidence augmentant avec l'âge[2]. Cette affection touche aussi bien les hommes que les femmes[4].

Il existe des prédispositions génétiques, en particulier chez les porteurs de l'HLA-DQ1[5], de certains allèles du VIPR1[6] (récepteur 1 du peptide vasoactif intestinal), du promoteur de l'interleukine 10[7]. Il peut aussi se retrouver dans le cadre d'un syndrome MIRAGE (chromosome 7, gène SAMD9) ou d'un syndrome Allgrove (triple A)

Mécanismes

Le sphincter du bas œsophage est innervé et commandé par des neurones. Ces derniers sont en nombre réduit ou absents lors de l'achalasie[8]. Le mécanisme de cette disparition pourrait être auto immunitaire[9]. Le sphincter inférieur de l'œsophage (SIO) restera inerte et empêchera l'évacuation du liquide oesophagien.

Symptômes

La dysphagie est une sensation de gêne ressentie au moment d'avaler. Elle se manifeste chez 99 % des patients[10].

La régurgitation des aliments non digérés est présente chez 60 à 91 % des malades.

On note un amaigrissement de 5 à 10 kg chez 64 % des patients en moyenne.

Des douleurs thoraciques peuvent survenir après les repas chez 27 à 42 % des malades. Il peut s'agir de brûlures rétrosternales ou pyrosis.

Une toux peut être présente pour un tiers des malades, en particulier la nuit ou en position couchée.

Ces signes ne sont pas spécifiques, expliquant un diagnostic parfois très retardé pouvant atteindre plusieurs années[2].

Le score d'Eckardt[11] est utilisé pour évaluer la gravité des symptômes en fonction d'un grade.

Évolution

Outre le risque d'une évolution vers une forme grave, avec dilatation majeure du bas œsophage, un cancer peut compliquer la maladie[12]. Son dépistage clinique est difficile, le maître symptôme, la dysphagie, étant identique dans les deux cas.

L'utilité d'une fibroscopie de surveillance systématique pour dépistage reste discutée[13]. Cela s'explique en partie par la difficulté du diagnostic dans un œsophage dilaté avec présence fréquente de résidus alimentaires. L'examen peut toutefois être facilité par une coloration de la paroi au lugol permettant de mieux visualiser les zones suspectes (dysplasie)[14].

Diagnostic

La fibroscopie permet de différencier l'achalasie d'une autre maladie (pseudo-achalasie, amylose, sarcoïdose, maladie de Chagas, sclérodermie, cancer de l'œsophage…). Lors d'une achalasie débutante, cet examen est normal. Dans les formes plus évoluées, il peut exister une dilatation du bas œsophage et une résistance accrue au passage de la sonde dans l'estomac[2].

Le transit œsogastroduodénal est un examen radiologique qui permet l'étude de l'œsophage, de l'estomac et du duodénum après absorption orale d'un produit de contraste. En cas d'achalasie, il met en évidence une dilatation de l'œsophage et permet d'estimer la vitesse de vidange du contenu œsophagien.

La manométrie œsophagienne est le principal outil diagnostic en mettant en évidence l'absence de péristaltisme du corps de l'œsophage, l'élévation de la pression du sphincter inférieur de l’œsophage et l'absence de relaxation complète de ce dernier à la déglutition[2]. Cet examen peut être fait avec une sonde comportant plusieurs capteurs de pression étagés permettant de préciser le mécanisme de l'anomalie[2].

Traitement

Plusieurs traitements existent. Leur but est de diminuer la pression du sphincter inférieur de l’œsophage pour livrer le passage au bol alimentaire.

Traitements médicamenteux

Ce sont les médicaments myorelaxants : dérivés nitrés et inhibiteurs calciques. Les effets secondaires sont l'hypotension, les céphalées ou un œdème des membres inférieurs.

L'indication des nitrés reste empirique : il existe une baisse de la pression du bas œsophage mais l'efficacité clinique n'est pas démontrée rigoureusement[15].

La nifédipine, un antagoniste calcique, baisse également la pression du bas œsophage et améliore les symptômes[16].

Ces traitements sont indiqués lorsque l'achalasie est récente ou qu'il existe un refus ou une contre-indication aux traitements plus invasifs.

Traitement endoscopique

La dilatation pneumatique est le traitement le plus souvent proposé en France et le plus efficace (80 % d'amélioration des symptômes[17]). Elle consiste en l'introduction d'un ballon au niveau de la jonction œsogastrique et de le gonfler sous une pression déterminée jusqu'à entraîner une déchirure du sphincter du bas œsophage[2]. La procédure peut être éventuellement répétée en employant dans un second temps, un ballon de diamètre plus grand. Ce traitement est proposée lorsque le score d'Eckardt est supérieur à 3. Les complications possibles sont : perforations (3 %)[18], fissuration de l'œsophage (2,5 %), reflux gastro-œsophagien (25–30 %). Près d'un tiers des patients rechute entre 4 et 6 ans[2] après la procédure qui peut être alors répétée.

L'injection de toxine botulique[19] semble être, à moyen terme, moins efficace que la dilatation pneumatique[20].

Une myotomie par voie endoscopique peut également être réalisée[21]. Elle consiste à aller sectionner le sphincter du bas œsophage par cette voie. Cette technique semble être très efficace sur les symptômes (réponse supérieure à 90%[2]) mais avec un risque de reflux gastro-œsophagien pouvant atteindre un patient sur deux[22].

Dans les formes très évoluées, avec dilatation majeure du bas œsophage, une œsophagectomie peut être proposée[2].

Traitement chirurgical

La myotomie d'Heller[23], initié par Ernst Heller en 1913[24], consiste à réaliser une incision longitudinale extra-muqueuse de la couche musculaire du cardia sur une dizaine de centimètres. Elle peut être associée à une fundo plicature pour diminuer le taux de reflux gastro-œsophagien[25]. Elle est efficace sur les symptômes dans 90 % des cas[26].

Le traitement chirurgical est proposé au sujet jeune ou en cas d'échec à la dilatation pneumatique. Les contre-indications au traitement sont les antécédents de chirurgie œsophagienne. Les complications possibles sont : perforations[27], dysphagie persistante (5–10 %).

Article connexe

Notes et références

  1. Société nationale française de gastroentérologie, Œsophage: Achalasie, septembre 1999.
  2. 1 2 3 4 5 6 7 8 9 10 11 Boeckxstaens GE, Zaninotto G, Richter JE, Achalasia, Lancet, 2014;383:83-93
  3. BBC News, Achalasia, 7 août 2009
  4. Farnoosh Farrokhi et Michael F Vaezi, 'Idiopathic Achalasia' , 26 septembre 2007
  5. de la Concha EG, Fernandez-Arquero M, Conejero L et al. Presence of a protective allele for achalasia on the central region of the major histocompatibility complex, Tissue Antigens, 2000;56:149–153
  6. Paladini F, Cocco E, Cascino I et al. Age-dependent association of idiopathic achalasia with vasoactive intestinal peptide receptor 1 gene, Neurogastroenterol Motil, 2009;21:597–602
  7. Nunez C, Garcia-Gonzalez MA, Santiago JL et al. Association of IL10 promoter polymorphisms with idiopathic achalasia, Hum Immunol, 2011;72:749–752
  8. Boeckxstaens GE, The lower oesophageal sphincter, Neurogastroenterol Motil, 2005;17:13–21
  9. Moses PL, Ellis LM, Anees MRet al. Antineuronal antibodies in idiopathic achalasia and gastro-oesophageal reflux disease, Gut, 2003;52:629–636
  10. Etienne-Henry Metman, S Debbabi, L Picon abstract Aspect clinique des troubles moteurs primitifs de l'œsophage
  11. Alexander J. Eckardt & Volker F. Eckardt, Clinical scoring system for achalasia (Eckardt score)
  12. (en) Leeuwenburgh I, Scholten P, Alderliesten J et al. « Long-term esophageal cancer risk in patients with primary achalasia: a prospective study » Am J Gastroenterol, 2010;105:2144–2149
  13. (en) Hirota WK, Zuckerman MJ, Adler DG et al. « ASGE guideline: the role of endoscopy in the surveillance of premalignant conditions of the upper GI tract » Gastrointest Endosc, 2006;63:570–580
  14. (en) Rohof WO, Bergman J, Bartelsman JF et al. « Screening for dysplasia in idiopathic achalasia using Lugol staining » Gastroenterology, 2011;140:S227
  15. Wen ZH, Gardener E, Wang YP, Nitrates for achalasia, Cochrane Database Syst Rev, 2004;CD002299
  16. Traube M, Dubovik S, Lange RC et al. The role of nifedipine therapy in achalasia: results of a randomized, double-blind, placebo-controlled study, Am J Gastroenterol, 1989;84:1259–1262
  17. Richter JE, Update on the management of achalasia: balloons, surgery and drugs, Expert Rev Gastroenterol Hepatol, 2008;2:435–445
  18. Ferguson MK, Achalasia: current evaluation and therapy, Ann Thorac Surg, 1991;52:336-342
  19. Annese V, Bassotti G, Coccia G et al. A multicentre randomised study of intrasphincteric botulinum toxin in patients with oesophageal achalasia. GISMAD Achalasia Study Group Gut, 2000;46:597–600
  20. Leyden JE, Moss AC, MacMathuna P, Endoscopic pneumatic dilation versus botulinum toxin injection in the management of primary achalasia, Cochrane Database Syst Rev, 2006;4:CD005046.
  21. Inoue H, Minami H, Kobayashi Y et al. Peroral endoscopic myotomy (POEM) for esophageal achalasia, Endoscopy, 2010;42:265–271
  22. Swanstrom LL, Kurian A, Dunst CM et al. Long-term outcomes of an endoscopic myotomy for achalasia: the POEM procedure, Ann Surg, 2012;256:659–667
  23. Boeckxstaens GE, Annese V, Bruley des Varannes S et al. Pneumatic dilation versus laparoscopic Heller's myotomy for idiopathic achalasia, N Engl J Med, 2011;364:1807-1816.
  24. Heller E, Extramukose kardioplastik beim chronischen kardiospasm mit dilatation des oesophagus, Mitt Greenzgeb Med Chir, 1913;27:141–148
  25. A. Valverde, J. Cahais, R. Lupinacci et N. Goasguen, « Laparoscopic Heller myotomy », Journal of Visceral Surgery, vol. 155, no 1, , p. 59–64 (ISSN 1878-7886, PMID 29475748, DOI 10.1016/j.jviscsurg.2018.01.006, lire en ligne, consulté le )
  26. Campos GM, Vittinghoff E, Rabl C et al. Endoscopic and surgical treatments for achalasia: a systematic review and meta-analysis, Ann Surg, 2009;249:45–57
  27. J. Cahais, R. M. Lupinacci et A. Valverde, « Laparoscopic Heller myotomy with minimal dissection and Dor anterior valve », Journal of Visceral Surgery, (ISSN 1878-7886, PMID 30054201, DOI 10.1016/j.jviscsurg.2018.06.013, lire en ligne, consulté le )
  • icône décorative Portail de la médecine
Cet article est issu de Wikipedia. Le texte est sous licence Creative Commons – Attribution – Partage à l’identique. Des conditions supplémentaires peuvent s’appliquer aux fichiers multimédias.