Œsophagite à éosinophiles

Œsophagite à éosinophiles
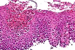
Description de cette image, également commentée ci-après
Œsophagite à éosinophiles, coloration à l'hématoxyline et à l'éosine.
Symptômes Inflammation
Traitement
Médicament Fluticasone
Spécialité Gastro-entérologie
Classification et ressources externes
CIM-10 K20
CIM-9 530.13
OMIM et 613412 610247 et 613412
MedlinePlus 007717
MeSH D057765

Wikipédia ne donne pas de conseils médicaux Mise en garde médicale

L'œsophagite à éosinophiles est une maladie chronique digestive. Elle touche aussi bien les enfants que les adultes.

Physiopathologie

Cette maladie est une infiltration massive et anormale de leucocytes éosinophiles et isolée de l'œsophage et du tube digestif haut, avec inflammation de l'œsophage. Contrairement aux autres organes du tube digestif, l'œsophage sain ne doit pas contenir de polynucléaires éosinophiles, donc cette présence est pathologique. Cette maladie est considérée comme une forme d'allergie alimentaire[1]. Il s'agit d'une réponse immunitaire massive à des allergènes dits exogènes[2]. Cette maladie est apparue vers la fin des années 1980, en particulier dans les pays industrialisés et développés. On remarque depuis cette apparition une croissance exponentielle de l'évolution du nombre de malades. Différentes études montrent que la maladie est en constante progression dans des continents tels que l'Europe, l'Amérique du Nord ou en Australie mais que l'œsophagite à éosinophiles ne semble pas émerger dans les pays pauvres et sous-développés.

Épidémiologie

En 2019, l'incidence de cette maladie en Amérique du Nord et en Europe est de 6,6 cas sur 100 000 pour les enfants et de 7.7 cas sur 100 000 pour les adultes[3]. Sa prévalence se situe entre 0,5 et 1 cas sur 1 000[4]. La prévalence et l'incidence de l’œsophagite à éosinophiles sont en augmentation mais il y a probablement une part de meilleur dépistage[5]. Les hommes sont trois fois plus touchés que les femmes et 65 % des cas se manifestent durant l'enfance[1].

Diagnostic

Terrain

Près de 60 % des malades, en général jeunes, souffrent déjà d'une diathèse atopique.

Le terrain est celui de l'atopie. On constate en effet que pratiquement la moitié des patients malades souffre de pathologies telles que des rhinoconjonctivite allergique, de l'asthme ou encore des allergies alimentaires. De plus, on estime que 8 à 10 % des enfants avec reflux gastro-œsophagien présentent en fait une œsophagite à éosinophiles. L’allergie alimentaire serait en fait la cause principale d’œsophagite à éosinophiles et cette maladie a une composante génétique : près de 35 % des parents d’enfants atteints d’œsophagite à éosinophiles présentent eux-mêmes les signes de cette maladie. De plus, des aliments comme le lait, les œufs, le blé ou encore le soja seraient des allergènes possibles responsables de la maladie.

Symptomatologie

Les symptômes de cette maladie sont semblables à ceux d'un reflux gastro-œsophagien en complément d'une dysphagie.

Chez les adultes, les principaux symptômes sont la dysphagie et un reflux gastro-œsophagien persistant malgré la médication[1]. Les patients atteints évitent les viandes, le riz sec et boivent beaucoup entre chaque bouchée. Ils mangent lentement et mâchent le plus possible. Un patient sur cinq se plaint également de dyspepsie et parfois aussi de reflux.

Chez les nourrissons et jeunes enfants, les symptômes sont des vomissements, un refus de se nourrir, une dysphagie et, moins souvent, un retard pondéral. Chez les enfants d'âges scolaires et les adolescents, les symptômes sont la dysphagie et l'impaction alimentaire. À ces symptômes peuvent s'ajouter des douleurs rétrosternales et abdominales, des vomissements ainsi que des régurgitations[1].

Examen clinique et examens complémentaires

À l'examen clinique, les anomalies sont extrêmement discrètes et l'endoscopie ne permet pas le diagnostic. Autrement, on peut parfois apercevoir des lésions blanchâtres sur la paroi interne de l'œsophage. Chez l'adulte, il existe des lésions de fibrose et un rétrécissement de l’œsophage[2], conséquence de l'évolution spontanée de la maladie[6].

Le diagnostic final peut tout de même être établi grâce au comptage des polynucléaires éosinophiles grâce à des biopsies œsophagiennes. La biopsie est demandée si le médecin suspecte une œsophagite ou une maladie voisine. Le diagnostic repose principalement sur la présence d’une infiltration de la muqueuse œsophagienne supérieure à 15 éosinophiles par champ de vision microscopique (x 40)[7]. Plusieurs biopsies peuvent se révéler nécessaires.

Traitement

La prise en charge de la maladie a fait l'objet de la publication de recommandations de sociétés savantes. Celles, européennes, datent de 2017[8], celles, américaines, de 2020[9].

Le dupilumab, administré par voie sous-cutanée toutes les deux semaines, permet d'en réduire l'atteinte histologique ainsi que les symptômes[10].

Traitement médicamenteux

En fonction du patient et de la gravité, le traitement peut être fait par des inhibiteurs de la pompe à protons (IPP) ou par des corticoïdes qui semblent plus efficaces que les premiers[11]. 40 % des patients répondent bien au traitement par IPP[7].

En France, le traitement de première intention reste les IPP, les corticoïdes étant prescrits en seconde intention car à l'origine de plus d'effets indésirables[12].

Il est supposé que les IPP sont efficaces par la voie de l'éotaxine-3 (en)[12].

Prise en charge diététique

L'éviction des six aliments les plus allergènes (lait, blé, soja, œufs, arachides/noix, poissons/crustacés) permet d'obtenir une certaine rémission clinique[7]. Autrement, l'alimentation peut être remplacée par une préparation hypoallergénique à base d'acides aminés administrée à l'aide d'un tube naso-gastrique[1].

Autres

Dans les cas avancés, avec rétrécissement œsophagien, une dilatation œsophagienne peut être proposée[13].

Maladies voisines

D'autres maladies voisines existent, comme la gastro-entérite à éosinophiles (en) et les entérocolites à éosinophiles (d’origine allergique).

Notes et références

  1. 1 2 3 4 5 Andrés Gómez-Aldana, Mario Jaramillo-Santos, Andrés Delgado et Carlos Jaramillo, « Eosinophilic esophagitis: Current concepts in diagnosis and treatment », World Journal of Gastroenterology, vol. 25, no 32, , p. 4598–4613 (ISSN 1007-9327, DOI 10.3748/wjg.v25.i32.4598, lire en ligne, consulté le )
  2. 1 2 Straumann A, Katzka DA, Diagnosis and treatment of eosinophilic esophagitis, Gastroenterology, 2018;154:346-359
  3. (en) Pilar Navarro, Ángel Arias, Laura Arias‐González et Emilio J. Laserna‐Mendieta, « Systematic review with meta-analysis: the growing incidence and prevalence of eosinophilic oesophagitis in children and adults in population-based studies », Alimentary Pharmacology & Therapeutics, vol. 49, no 9, , p. 1116–1125 (ISSN 1365-2036, DOI 10.1111/apt.15231, lire en ligne, consulté le )
  4. (en) Evan S. Dellon et Ikuo Hirano, « Epidemiology and Natural History of Eosinophilic Esophagitis », Gastroenterology, vol. 154, no 2, , p. 319–332.e3 (ISSN 0016-5085 et 1528-0012, PMID 28774845, PMCID PMC5794619, DOI 10.1053/j.gastro.2017.06.067, lire en ligne, consulté le )
  5. Furuta GT, Katzka DA, Eosinophilic esophagitis, N Engl J Medn 2015;373:1640-1648
  6. Warners MJ, Oude Nijhuis RAB, de Wijkerslooth LRH, Smout AJPM, Bredenoord AJ, The natural course of eosinophilic esophagitis and long-term consequences of undiagnosed disease in a large cohort, Am J Gastroenterol, 2018;113:836-844
  7. 1 2 3 Frank Zerbib, « L’oesophagite à éosinophiles », sur Association française de formation médicale continue en hépato-gastro-entérologie, (consulté le )
  8. Lucendo AJ, Molina-Infante J, Arias Á et al. Guidelines on eosinophilic esophagitis: evidence-based statements and recommendations for diagnosis and management in children and adults, United European Gastroenterol J, 2017;5:335-358
  9. Hirano I, Chan ES, Rank MA et al. AGA Institute and the Joint Task Force on Allergy-Immunology Practice Parameters clinical guidelines for the management of eosinophilic esophagitis, Gastroenterology, 2020;158:1776-1786
  10. Dellon E, Rothenberg M, Collins M et al. Dupilumab in adults and adolescent patients with eosinophilic esophagitis, N Engl J Med, 2022;387:2317-2330
  11. Laserna-Mendieta EJ, Casabona S, Savarino E et al. Efficacy of therapy for eosinophilic esophagitis in real-world practice, Clin Gastroenterol Hepatol, 2020;18:2903.e4-2911.e4
  12. 1 2 « Œsophagite à éosinophiles - Troubles gastro-intestinaux », sur Édition professionnelle du Manuel MSD (consulté le )
  13. Muir A, Falk GW, Eosinophilic esophagitis: a review, JAMA, 2021;326:1310-1318

Voir aussi

Article connexe

Liens externes

  • icône décorative Portail de la médecine
Cet article est issu de Wikipedia. Le texte est sous licence Creative Commons – Attribution – Partage à l’identique. Des conditions supplémentaires peuvent s’appliquer aux fichiers multimédias.