Œdème cérébral

Œdème cérébral
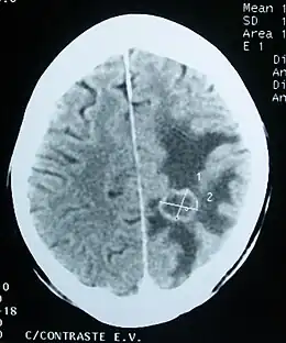
Description de cette image, également commentée ci-après
Œdème (zones sombres) autour d'une tumeur cérébrale secondaire.
Traitement
Médicament Dexaméthasone, D-(-)-mannitol, mannitol hexanitrate (en) et prednisolone hemisuccinate (d)
Classification et ressources externes
CIM-10 G93.6
CIM-9 348.5
DiseasesDB 2227
MedlinePlus 001421
MeSH D001929

Wikipédia ne donne pas de conseils médicaux Mise en garde médicale

L'œdème cérébral est une accumulation ou un excès de liquide (ou œdème) dans les tissus intra- ou extracellulaires du cerveau.

Quatre types d'œdème

Quatre types d'œdème cérébral sont à distinguer[1].

Œdème cérébral vasogénique

Il est dû à la rupture des jonctions serrées des cellules de la membrane endothéliale qui forment la barrière hémato-encéphalique (BHE). Celle-ci permet normalement à la partie liquide du sang (plasma) et aux protéines plasmatiques de pénétrer dans le tissu interstitiel du parenchyme cérébral. Une fois que les éléments du plasma ont traversé la BHE, l'œdème s'étend ; ce phénomène peut-être assez rapide et il peut se répandre rapidement. Dès que l'eau entre dans la substance blanche, elle se déplace dans le milieu extracellulaire le long des tractus fibreux et peut ainsi toucher la substance grise. Ce type d'œdème est observé en réponse aux traumatismes, aux tumeurs, aux inflammations locales, aux derniers stades d'ischémie cérébrale et d'encéphalopathie hypertensive.

Certains des mécanismes qui contribuent à une dysfonction de la BHE sont : une perturbation physique par hypertension artérielle ou par un traumatisme, une libération de facteurs vasoactifs et de destruction de l'endothélium (par exemple l'acide arachidonique, les neurotransmetteurs excitateurs, les eicosanoïdes, la bradykinine, histamine et les radicaux libres). Les sous-catégories spécifiques d'œdème vasogénique comprennent :

Œdème cérébral hydrostatique

Cette forme d'œdème cérébral est observée dans les formes aiguës et malignes d'hypertension. On pense qu'il résulte de la transmission directe de la pression artérielle jusqu'aux capillaires cérébraux provoquant une transsudation de liquide des capillaires vers le milieu extracellulaire.

Œdème cérébral du cancer du cerveau

Les cellules gliales cancéreuses du cerveau peuvent engendrer la sécrétion du facteur de croissance de l'endothélium vasculaire (vascular endothelial growth factor) ou VEGF qui affaiblit les jonctions de la barrière hémato-encéphalique. La dexaméthasone peut agir en faveur d'une diminution de le sécrétion de VEGF[2].

Œdème cérébral de haute altitude

L'œdème cérébral de haute altitude est une forme sévère (parfois fatale) du mal des montagnes. L'œdème cérébral de haute altitude est la résultante d'un gonflement du tissu cérébral avec une perte de liquide intravasculaire provenant des capillaires. Cette perte de volume liquidien est vraisemblablement due à une hypoxie au niveau des cellules endothéliales riches en mitochondries de la barrière hémato-encéphalique[3].

Les symptômes peuvent inclure des maux de tête (céphalées), une perte de coordination (ataxie), une altération de l'état général (asthénie) et une baisse progressive du niveau de conscience. Cette perte de conscience est caractérisée par une désorientation, des pertes de mémoire, des hallucinations, un comportement psychotique et évolue vers le coma. Le coma survient en général après une semaine ou plus en haute altitude. Les cas sévères peuvent mener à la mort s'ils ne sont pas traités rapidement. La descente immédiate est une mesure de survie indispensable (de 700 à 1500 mètres). Certains médicaments (comme la dexaméthasone) peuvent être prescrits comme traitement sur le terrain, mais leur utilisation nécessite une bonne formation médicale. Toute personne souffrant d'œdème cérébral de haute altitude doit être évacuée vers une installation médicale pour un suivi thérapeutique approprié. Un caisson hyperbare (gamow bag) peut parfois être utilisé pour stabiliser l'état du patient avant son évacuation ou sa descente à plus basse altitude.

Les alpinistes peuvent également souffrir d'œdème pulmonaire de haute altitude (OPHA), qui touche les poumons. S'il n'est pas aussi menaçant que l'œdème cérébral de haute altitude aux premiers stades, une défaillance pour descendre à des altitudes plus basses ou pour recevoir un traitement médical peut aussi conduire à la mort.

Œdème cérébral cytotoxique

Dans ce type d'œdème, la barrière hémato-encéphalique reste intacte. Cet œdème est dû à une perturbation du métabolisme cellulaire, résultant d'un fonctionnement inadéquat des pompes sodium et potassium dépendantes dans la membrane des cellules gliales. Par conséquent, il y a une rétention cellulaire d'eau et de sodium. On observe des astrocytes hypertrophiés dans la substance grise et dans la substance blanche du cerveau. L'œdème cytotoxique est observé dans diverses intoxications (dinitrophénol, triethyltin, hexachlorophène, isoniazide), le syndrome de Reye, les hypothermies sévères, les ischémies précoces, les encéphalopathies, les accidents vasculaires cérébraux (AVC) ou les hypoxies précoces, les arrêts cardiaques, l'hypertension intracrânienne idiopathique (pseudotumor cerebri) et à cause des toxines cérébrales.

Œdème cérébral osmotique

En temps normal l'osmolarité du liquide cérébrospinal (LCS) et du liquide extracellulaire du cerveau est légèrement supérieure à celle du plasma. Lorsque le plasma est dilué par des entrées d'eau excessives (qui se manifestent par une hyponatrémie) l'osmolarité du cerveau dépasse alors l'osmolarité du sérum, créant un gradient de pression anormal, selon lequel l'eau pénètre dans le cerveau, provoquant un œdème. Les causes d'œdème cérébral osmotique sont diverses : syndrome de sécrétion inappropriée d'hormone anti-diurétique (SIADH), hémodialyse ou réduction rapide du glucose sanguin, syndrome hyperglycémique hyperosmolaire non cétosique (HHS), anciennement HONK (hyperosmolar non-ketotic acidosis).

Œdème cérébral interstitiel

Il survient dans les hydrocéphalies obstructives. Cette forme d'œdème est due à la rupture de la barrière méningo-encéphalique : il permet au liquide cérébrospinal de pénétrer dans le cerveau et de s'étendre dans le milieu extracellulaire ou dans la substance blanche. Il est différent de l'œdème vasogénique dans le sens où le liquide ne contient pas de protéines contrairement à l'œdème vasogénique.

Traitements

Les approches thérapeutiques comprennent le mannitol, les diurétiques et les corticostéroïdes[4]. Les corticoïdes de synthèse (type méthylprednisolone) servent à traiter les œdèmes péri-tumoraux. Les anti-œdémateux utilisés sont soit de type osmotique (mannitol) soit de type diurétique (furosémide). Ce dernier est moins efficace en ce qui concerne le traitement de l'œdème cérébral.

Notes et références

  1. (en) A. I. Qureshi et J. I. Suarez, « Use of hypertonic saline solutions in treatment of cerebral edema and intracranial hypertension », Critical care medicine, vol. 28, no 9, , p. 3301-3313 (PMID 11008996)
  2. (en) J. D. Heiss, E. Papavassiliou, M. J. Merrill, L. Nieman, J. J. Knightly, S. Walbridge, N. A. Edwards et E. H. Oldfield, « Mechanism of dexamethasone suppression of brain tumor-associated vascular permeability in rats. Involvement of the glucocorticoid receptor and vascular permeability factor », Journal of clinical investigation, vol. 98, no 6, , p. 1400-1408 (PMID 8823305, lire en ligne [HTML])
  3. (en) A. Van Osta, J. J. Moraine, C. Mélot, H. Mairbäurl, M. Maggiorini et R. Naeije, « Effects of high altitude exposure on cerebral hemodynamics in normal subjects », Stroke, vol. 36, no 3, , p. 557-560 (PMID 15692117, lire en ligne [HTML])
  4. (en) A. Raslan et A. Bhardwaj, « Medical management of cerebral edema », Neurosurgical focus, vol. 22, no 5, , E12 (PMID 17613230, DOI 10.3171/foc.2007.22.5.13)
  • icône décorative Portail de la médecine
  • icône décorative Portail des neurosciences
Cet article est issu de Wikipedia. Le texte est sous licence Creative Commons – Attribution – Partage à l’identique. Des conditions supplémentaires peuvent s’appliquer aux fichiers multimédias.