Fracture de la cheville
Une fracture de la cheville est la rupture d'un ou de plusieurs des os qui composent l'articulation de la cheville[2]. Les symptômes peuvent inclure une douleur, un œdème, des ecchymoses ou une incapacité à marcher sur la jambe blessée[2]. Les complications peuvent inclure une entorse haute de la cheville (en) associée, un syndrome de loge, une raideur, un cal vicieux (en) ou une arthrite post-traumatique[2],[1].
Les fractures de la cheville peuvent résulter d'une contrainte excessive sur l'articulation engendrée, par exemple, par un renversement du pied, une chute ou un traumatisme contondant[2],[1].
Les types de fractures de la cheville incluent les fractures de la malléole latérale, de la malléole médiale et de la malléole postérieure ainsi que les fractures bimalléolaires (en) et trimalléolaires (en)[2]. Les critères d'Ottawa pour la cheville (en) aident à déterminer le besoin ou non de radiographie[1]. Des clichés radiographiques spéciaux, appelés clichés de contrainte, aident à déterminer si une fracture de la cheville est instable.
Le traitement dépend du type de fracture. La stabilité de la cheville dicte en grande partie le traitement non opératoire par rapport au traitement opératoire. Le traitement non opératoire comprend la pose d'attelles ou le moulage, tandis que le traitement opératoire comprend la fixation de la fracture avec des implants métalliques au moyen d'une fixation interne (en) à réduction (en) ouverte (ORIF)[2]. Une récupération significative se produit généralement dans les quatre mois, tandis que la récupération complète prend généralement jusqu'à un an[2].
Les fractures de la cheville sont fréquentes, survenant à une fréquence d'environ 1,8 fois pour 1 000 adultes et chez environ un enfant sur 1 000 par an[1],[3]. Elles surviennent le plus souvent chez les jeunes hommes et les femmes plus âgées[1].
Anatomie fonctionnelle

La région de la cheville fait référence à l'endroit où la jambe rencontre le pied (région talocrurale)[4]. L'articulation de la cheville est une articulation charnière complexe et fortement contrainte composée de trois os : le tibia, le péroné et le talus[5],[6]. L'aspect porteur du tibia le plus proche du pied (appelé plafond) se connecte avec le talus. Cette articulation (où deux os se rencontrent) est principalement responsable de la flexion plantaire (déplacer le pied vers le bas) et de la dorsiflexion (déplacer le pied vers le haut)[6]. Ensembles, le tibia et le péroné forment une douille en forme de support connue sous le nom de mortaise, dans laquelle s'insère le talus en forme de dôme[7]. Le talus et le péroné sont reliés par un groupe solide de ligaments, qui soutiennent la face latérale de la cheville. Ces ligaments comprennent le ligament talo-fibulaire antérieur (ATFL) et le ligament talo-fibulaire postérieur (PTFL)[8]. Le ligament calcanéo-fibulaire (LFC), qui relie le péroné au calcanéum, ou os du talon, fournit également un soutien latéral. Le ligament deltoïde soutient la partie médiale de la cheville (la plus proche de la ligne médiane). Il empêche le pied de s'éverser excessivement ou de se tourner vers l'extérieur, tout en empêchant également le talus de tourner vers l'extérieur[8]. Les parties distales du tibia et du péroné sont reliées par un réseau de tissu conjonctif appelé syndesmose, composée de quatre ligaments et de la membrane interosseuse[8].
Signes et symptômes
Les signes cliniques d'une fracture de la cheville peuvent être similaires à ceux des entorses de la cheville (douleur, œdème, amplitude de mouvement limitée), bien qu'en comparaison, ils soient généralement plus graves. Il est extrêmement rare que l'articulation de la cheville se luxe avec pour seule présence une lésion ligamentaire. Cependant, dans le cadre d'une fracture de la cheville, le talus peut devenir instable et subluxer ou se disloquer.
Les patients peuvent remarquer des ecchymoses (coloration « noire et/ou bleue » due au saignement sous la peau), une position ou un alignement anormaux, une instabilité ou des douleurs liées au mouvement. Dans une fracture déplacée, la peau est parfois tendue sur le bord tranchant d'un os cassé, qui peuvent déchirer la peau et former une lacération. On parle alors d'une fracture ouverte, qui a de fortes chances d'engendrer une infection si elle n'est pas traitée rapidement[8].
Diagnostic
Examen clinique
Les patients présentant des fractures de la cheville peuvent avoir des résultats variables à l'examen clinique. En règle générale, le côté blessé doit être comparé au côté non blessé. La peau doit être soigneusement examinée, en portant une attention particulière à toute ouverture ou rupture de la peau qui pourrait être due à une fracture ouverte[9]. Il est important d'évaluer l'emplacement exact de la douleur, l'amplitude de mouvement de la cheville et l'état des nerfs et des vaisseaux sanguins. Il est également important de palper le mollet de manière proximale (près du genou) car il peut y avoir une fracture du péroné associée (fracture de Maisonneuve).[réf. nécessaire]
Imagerie
L'imagerie pour l'évaluation des fractures de la cheville peut inclure des radiographies, des tomodensitogrammes (TDM) et des IRM. En règle générale, l'évaluation commence par des radiographies, qui peuvent fournir des informations sur le mécanisme de la blessure, la gravité de la blessure et la stabilité de la fracture. Les règles d'Ottawa (en) déterminent la nécessité d'obtenir des radiographies chez les patients souffrant de blessures aiguës à la cheville. Ces lignes directrices ont été créées pour minimiser les dépenses de radiographies inutiles[8].
Radiographie
Vues
Il y a trois vues radiographiques dans une série complète de cheville : antéropostérieure (AP), latérale et oblique (ou "vue de mortaise"). La vue de la mortaise est une radiographie AP prise avec la cheville tournée vers l'intérieur de 15 à 20 degrés puisque le pied est naturellement tourné vers l'extérieur par rapport à la cheville[8].
En plus de ces vues, une vue sur toute la longueur du tibia et du péroné peut être nécessaire pour évaluer les lésions du péroné proximal associées aux fractures de Maisonneuve.[réf. nécessaire]
Une vue de contrainte AP de la cheville est effectuée lorsqu'il existe un risque de blessure instable. Il existe deux types de vues de contraintes : gravitationnelle et mécanique[10]. Dans la vue sous contrainte de gravité, le patient est allongé en décubitus latéral avec la cheville pendante au-dessus du bord de la table pour imiter la vue sous contrainte mécanique.[réf. nécessaire]
Résultats
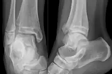
Sur les radiographies, on peut voir une fracture de la malléole médiale, de la malléole latérale et/ou du bord antéro-postérieur du tibia distal. Le bord postérieur (appelé malléole postérieure) est beaucoup plus fréquemment lésé que la face antérieure du tibia distal. Si les malléoles latérale et médiale sont brisées, on parle de fracture bimalléolaire (certaines d'entre elles sont appelées fractures de Pott (en)). Si la malléole postérieure est également fracturée, on parle de fracture trimalléolaire.[réf. nécessaire]
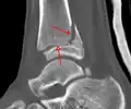
Vue AP en contrainte manuelle montrant une déchirure du ligament deltoïde.
Une fracture triplane de la cheville vue sur une radiographie standard
Une fracture triplane de la cheville vue par TDM
Une fracture triplane de la cheville vue par TDM
CT
Les tomodensitogrammes peuvent être indiqués en cas de risque de fracture fragmentée ou de fracture impliquant la surface articulaire[9]. Cette imagerie peut être utilisée pour la planification chirurgicale.
IRM
L'IRM est moins couramment utilisée pour diagnostiquer les fractures de la cheville, mais peut être utilisée pour montrer des problèmes impliquant les tissus mous (ligaments et tendons) et le cartilage articulaire.
Classification

Il existe plusieurs schémas de classification des fractures de la cheville. Parmi les éléments suivants, les systèmes de classification Lauge-Hansen et Danis-Weber sont les plus couramment utilisés[8].
- La classification de Lauge-Hansen (en) classe les fractures selon le mécanisme de la blessure en fonction de la position du pied et de la force de déformation (le type le plus courant est la supination-rotation externe).
- La classification Danis-Weber (en) classe les fractures de la cheville selon le niveau de la fracture de la fibula distale (type A = en dessous du ligament syndesmotique, type B = à son niveau, type C = au-dessus du ligament), avec une utilisation dans l'évaluation des lésions de la syndesmose et la membrane interosseuse.
Autres schémas de classification :
Types de fractures pédiatriques

- Fracture avulsion de Wagstaffe-Le Fort (en), fracture verticale de la partie antéro-médiale du péroné distal avec avulsion du ligament tibio-fibulaire antérieur[11].
- Fracture de Tillaux (en), un traumatisme du cartilage de croissance de type III. Une fracture à travers la face antéro-latérale de l'extrémité distale du tibia épiphyse[12].
- Les fractures triplanes, un type particulier de fracture qui implique le squelette immature[13].
Traitement


Les objectifs généraux du traitement des fractures de la cheville sont de rétablir l'alignement normal de l'articulation de la cheville, de guérir la fracture et de prévenir l'arthrite[8]. La stabilité de l'articulation de la cheville dicte souvent le traitement. Certains types de fractures sont stables et sont donc traités sans chirurgie de la même manière que les entorses de la cheville. Les fractures instables nécessitent une intervention chirurgicale, le plus souvent une réduction ouverte et une fixation interne (ORIF), qui est généralement réalisée avec du matériel métallique implanté de façon permanente qui maintient les os en place pendant que le processus naturel de guérison se produit. Un plâtre ou une attelle sera nécessaire pour immobiliser la cheville après la chirurgie. Les fractures stables de la cheville avec un alignement articulaire préservé peuvent être traitées avec des mesures non opératoires (attelle, plâtre et/ou botte orthopédique[14]).
Complications
Les complications générales associées au traitement chirurgical des fractures de la cheville comprennent les infections, les saignements, les caillots sanguins, les problèmes de cicatrisation des plaies et les dommages aux nerfs et aux vaisseaux sanguins environnants[2]. Les complications spécifiques associées au traitement chirurgical comprennent la cicatrisation des fractures dans une position anormale (cals vicieux (en)), l'arthrite post-traumatique (en), l'échec de la cicatrisation des fractures après une période de temps prolongée (pas de consolidation osseuse) et une diminution de l'amplitude des mouvements (rigidité postopératoire)[8]. Si les radiographies postopératoires sont préoccupantes pour le cal vicieux, les patients peuvent avoir besoin d'une procédure supplémentaire pour restaurer l'anatomie de la cheville. Le but ultime est de prévenir ou de retarder le développement de l'arthrite post-traumatique[8]. L'arthrite post-traumatique peut initialement être gérée avec des options conservatrices telles que la modification de l'activité, les anti-inflammatoires non stéroïdiens (AINS), les chaussures spécialisées et les injections de cortisone[15]. Si les patients ressentent toujours des douleurs et une altération de la fonction de la cheville après ces mesures, d'autres procédures telles que l'arthrodèse de la cheville (en) et l'arthroplastie de la cheville peuvent être envisagées[16]. La pseudarthrose est rare après une fixation chirurgicale des fractures de la cheville, mais peut être traitée avec des greffes osseuses (en) et une fixation interne stable[16]. Les patients peuvent également ressentir de la douleur ou de l'inconfort à cause du matériel métallique utilisé pour réparer la fracture. En conséquence, certains patients décident de retirer le matériel après la guérison de la fracture grâce à une procédure supplémentaire[2].
Épidémiologie
Plusieurs grandes études ont suggéré que l'incidence des fractures de la cheville a augmenté depuis les années 1960[17],[18],[19]. Bien que l'incidence est la plus élevée chez les femmes âgées de plus de 65 ans, les fractures de la cheville ne sont pas considérées comme des fractures de fragilité (en)[19]. En termes de type de fracture, les fractures malléolaires isolées sont les plus fréquentes (deux tiers des fractures) ; les fractures bimalléolaires surviennent chez environ 25 % des patients, tandis que les fractures trimalléolaires surviennent chez 5 à 10 % des patients[9]. Les fractures ouvertes sont rares, de l'ordre de 2 % de l'ensemble des fractures de la cheville[20]. Chez les enfants, les fractures de la cheville surviennent dans environ 1 cas sur 1 000 par an[3].
Notes et références
- (en) Cet article est partiellement ou en totalité issu de l’article de Wikipédia en anglais intitulé « Ankle fracture » (voir la liste des auteurs).
- (en) StatPearls, Treasure Island (FL), StatPearls Publishing, (PMID 31194464), « Ankle Fractures »
- (en) « Ankle Fractures (Broken Ankle) - OrthoInfo - AAOS », www.orthoinfo.org (consulté le )
- (en) « Interventions for treating ankle fractures in children », The Cochrane Database of Systematic Reviews, vol. 4, , p. CD010836 (PMID 27033333, PMCID 7111433, DOI 10.1002/14651858.CD010836.pub2)
- (en) Clinically oriented anatomy (ISBN 978-1-9751-5086-0, OCLC 1112382966)
- (en) « Biomechanics of the ankle », Orthopaedics and Trauma, vol. 30, no 3, , p. 232–238 (PMID 27594929, PMCID 4994968, DOI 10.1016/j.mporth.2016.04.015)
- (en) Netter's concise orthopaedic anatomy, updated edition., Elsevier, (ISBN 978-0-323-42970-2, OCLC 946457800)
- (en) « The Ankle Joint - Articulations - Movements - TeachMeAnatomy » (consulté le )
- (en) Mann's surgery of the foot and ankle., Saunders/Elsevier, (ISBN 978-0-323-07242-7, OCLC 883562707)
- (en) Handbook of fractures, (ISBN 978-1-4511-4837-4, OCLC 1233314470)
- (en-US) Murphy, « Ankle (stress view) | Radiology Reference Article | Radiopaedia.org », Radiopaedia (consulté le )
- (en) « Radiologic history exhibit. Musculoskeletal eponyms: who are those guys? », Radiographics, vol. 20, no 3, , p. 819–36 (PMID 10835130, DOI 10.1148/radiographics.20.3.g00ma20819, lire en ligne)
- (en) « Wheeless Online » (consulté le )
- (en)Hirsch M, et al. Understanding triplane distal tibia fractures. http://dx.doi.org/10.1016/j.rchira.2016.09.002
- (en) James B. Carr, Malleolar Fractures and Soft Tissue Injuries of the Ankle, Elsevier, , 2515–2584 p. (ISBN 978-1-4160-2220-6, DOI 10.1016/b978-1-4160-2220-6.10060-x, lire en ligne).
- (en) « Management of Posttraumatic Ankle Arthritis: Literature Review », Current Reviews in Musculoskeletal Medicine, vol. 11, no 4, , p. 546–557 (PMID 30327933, PMCID 6220012, DOI 10.1007/s12178-018-9525-9)
- (en) Skeletal Trauma, Elsevier, , 2515–2584 p. (ISBN 978-1-4160-2220-6, DOI 10.1016/b978-1-4160-2220-6.10060-x), « Malleolar Fractures and Soft Tissue Injuries of the Ankle »
- (en) « Epidemiology of osteoporotic ankle fractures in elderly persons in Finland », Annals of Internal Medicine, vol. 125, no 12, , p. 975–8 (PMID 8967708, DOI 10.7326/0003-4819-125-12-199612150-00007)
- (en) « Epidemiology of ankle fractures in Rochester, Minnesota », Acta Orthopaedica Scandinavica, vol. 58, no 5, , p. 539–44 (PMID 3425285, DOI 10.3109/17453678709146395)
- (en) « Epidemiology of ankle fracture 1950 and 1980. Increasing incidence in elderly women », Acta Orthopaedica Scandinavica, vol. 57, no 1, , p. 35–7 (PMID 3083643, DOI 10.3109/17453678608993211)
- (en) « Adult ankle fractures--an increasing problem? », Acta Orthopaedica Scandinavica, vol. 69, no 1, , p. 43–7 (PMID 9524517, DOI 10.3109/17453679809002355)
Voir aussi
Articles connexes
- Fracture de Maisonneuve
- Fracture du pilon (en)