Traumatisme contondant
Un traumatisme contondant, également connu sous le nom de traumatisme par objet contondant ou traumatisme non pénétrant, est un traumatisme physique ou une force d'impact sur une partie du corps, se produisant souvent lors d'un accident de la route, un coup direct, une agression, une blessure lors d'une activité sportive, et en particulier chez les personnes âgées qui tombent[1],[2]. Cela s'oppose au traumatisme pénétrant qui se produit lorsqu'un objet perce la peau et pénètre dans un tissu du corps, créant une plaie ouverte et une ecchymose[3].
Un traumatisme contondant peut entraîner des contusions, des écorchures, des lacérations, des hémorragies internes, des fractures osseuses, ainsi que la mort[1].
Dans le monde, les traumatismes, dont la plupart sont dus à des traumatismes contondants, sont une cause importante d'invalidité et de décès chez les personnes de moins de 35 ans[1].
Classification
    
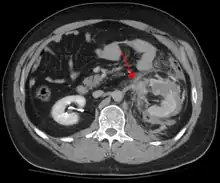
    Traumatisme abdominal contondant
    

Le traumatisme abdominal contondant (TAC) représente 75 % de tous les traumatismes contondants et constitue l'exemple le plus courant de cette blessure[4]. 75 % des TAC surviennent lors des accidents de la route[5], dans lesquels une décélération rapide peut propulser le conducteur contre le volant, le tableau de bord ou la ceinture de sécurité[6], provoquant des contusions dans les cas moins graves, ou la rupture d'organes internes en raison d'une brève augmentation de la pression intraluminale dans les cas les plus graves, en fonction de la force appliquée. Au début, il peut y avoir peu d'indications que des lésions abdominales internes graves se sont produites, ce qui rend l'évaluation plus difficile et exige un haut degré de suspicion clinique[7].
Deux mécanismes physiques de base entrent en jeu dans le risque de lésion des organes intra-abdominaux : la compression et la décélération[8]. Le premier résulte d'un coup direct, tel qu'un coup de poing, ou d'une compression contre un objet non flexible tel qu'une ceinture de sécurité ou une colonne de direction. Cette force peut déformer un organe creux, augmenter sa pression intraluminale ou interne et éventuellement conduire à sa rupture.
La décélération, en revanche, provoque un étirement et un cisaillement aux points d'ancrage du contenu mobile de l'abdomen, comme l'intestin. Cela peut provoquer une déchirure du mésentère de l'intestin et des lésions des vaisseaux sanguins qui parcourent le mésentère. Des exemples classiques de ces mécanismes sont une déchirure hépatique le long du ligament rond et des lésions des artères rénales.
Notes et références
    
- (en) Simon, Lopez et King, « Blunt Force Trauma », StatPearls, StatPearls Publishing, (PMID 29262209, lire en ligne, consulté le )
 -  (en) Cimino-Fiallos, « Hard Hits: Blunt Force Trauma » [archive du ] 
, login.medscape.com, Medscape,  (consulté le ) - (en) Michael J. Shkrum et David A. Ramsay, Forensic Pathology of Trauma, Springer Science & Business Media, (ISBN 978-1-58829-458-6), « 8. Blunt trauma: with reference to planes, trains and automobiles », p. 406
 - (en) « Advances in abdominal trauma », Emergency Medicine Clinics of North America, vol. 25, no 3, , p. 713–733, ix (PMID 17826214, DOI 10.1016/j.emc.2007.06.002)
 - (en-US) Daniel Nishijima, « Assessment of abdominal trauma – Differential diagnosis of symptoms », BMJ Best Practice, (lire en ligne, consulté le )
 - (en) « The utility of seat belt signs to predict intra-abdominal injury following motor vehicle crashes », Traffic Injury Prevention, vol. 10, no 6, , p. 567–572 (PMID 19916127, DOI 10.1080/15389580903191450, S2CID 9040242)
 - (en) Clinical Surgery: A Practical Guide, CRC Press, , 192–204 p. (ISBN 978-1-4441-0962-7), « Chapter 15: Management of Abdominal Trauma »
 - (en) Mukhopadhyay M, « Intestinal Injury from Blunt Abdominal Trauma: A Study of 47 Cases », Oman Med J, vol. 24, no 4, , p. 256–259 (PMID 22216378, PMCID 3243872, DOI 10.5001/omj.2009.52)
 
Liens externes
    
- Ressource relative à la santé :
 
- Portail de la médecine