Ehrlichiose canine
L'ehrlichiose canine, ou ehrlichiose à Ehrlichia canis, est l'une des nombreuses formes d'ehrlichioses animales.
Elle a une distribution mondiale et est surtout connue par ses manifestations hémorragiques chez les canidés (saignements de nez souvent).
C'est l'une des dizaines de maladies vectorielles transmises par la morsure de tiques à l'homme et/ou à l'animal (maladies à tiques).
La tique en cause semble presque toujours être la tique brune Rhipicephalus sanguineus qui est la seconde espèce de tique la plus souvent trouvée sur les chiens, et qui est aussi la plus répandue au monde ; elle est présente presque partout entre le 50° de latitude Nord et le 35° de latitude Sud (sauf peut-être en Australie). C'est une tique qui, au stade adulte, semble avoir un très fort tropisme pour le chien. On la trouve introduite par le chien jusque dans les habitations, où elle peut parfois se nourrir sur les chats. Des études sérologiques ont montré qu'elle était très fréquente dans les chenils de la zone méditerranéenne notamment.
Il n'est pas certain que la bactérie Ehrlichia canis n'infecte que les canidés. Expérimentalement, l'infection interespèces (par inoculation artificielle ou par culture sur tissus) est possible pour plusieurs des ehrlichia, mais on ignore si la barrière des espèces est franchie dans la nature. On connait également mal la capacité de ces bactéries à échanger des gènes entre souches ou genres différents.
Description et histoire
C'est une maladie infectieuse (bactérienne) vectorielle du chien, dont le « germe (bactérie) » est (comme pour toutes les ehrlichioses) intracellulaire obligatoire (c'est-à-dire qu'il ne peut se développer qu'à l'intérieur de certaines cellules de son hôte). La bactérie en cause ciblant les monocytes, elle est dite « à développement intramonocytaire ».
En 1971, son agent causal a été isolé (rebaptisé Ehrlichia canis (E. canis) et une technique de culture a été mise au point[1]. L'année suivante, un test sérologique par immunofluorescence indirecte était validé, permettant une mise en évidence spécifique[2].
L'ehrlichiose canine pourrait peut-être aussi, comme d'autres maladies à tiques, être une maladie émergente[3] ; elle touche des animaux proches de l'homme, dont le chien[4],[5] et la chèvre[6],[7].
Agent pathogène

Il a été découvert en 1935 en Algérie, par A. Donatien et F. Lestoquard dans le sang de chiens de l'Institut Pasteur d'Alger. Il a d'abord été baptisé Rickettsia canis[8]. Ces deux auteurs ont démontré deux ans plus tard (en 1937)[9] que cet agent était inoculé aux chiens par la tique Rhipicephalus sanguineus et que la bactérie infectait également des tiques et des chiens en France (à Montpellier et Marseille, mais on montrera ensuite que la bactérie est présente tout autour de la Méditerranée et dans le monde entier, en Afrique, Inde, Moyen-Orient, États-Unis et Antilles dès 1938). La rickettsiose canine, comme d'autres rickettsioses, a ensuite été rebaptisées en ehrlichiose (nom rendant hommage au savant allemand Ehrlich).
L'ehrlichiose canine a suscité un regain d'intérêt écoépidémiologique et de la part des militaires après qu'en 1968, une épidémie a décimé les chenils et chiens de l'US Army durant la Guerre du Viêt Nam (106)[Quoi ?]. La forme clinique fulgurante observée au Vietnam fut nommée « pancytopénie tropicale canine »[10].
Ehrlichia canis est une petite bactérie Gram négatif, intracellulaire obligatoire, qui infecte préférentiellement (tropisme préférentiel), in vivo, les monocytes et les macrophages des chiens qui l'ont acquises (par inoculations par une tique). Les progrès de la biologie cellulaire et moléculaire ont récemment mis en évidence de multiples souches de cette bactérie, dont la pathogénie devrait être bientôt mieux explorée et comprise.
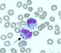
L'ehrlichiose canine est dite « monocytique », car les monocytes (et les macrophages) des malades sont sa cible : ils présentent en vue au microscope des morulae (sortes de minuscules kystes contenant jusqu'à plusieurs dizaines de bactéries agglomérées et ainsi protégées du système immunitaire).
À la suite d'une révision récente de la classification, la tribu des Ehrlichieae a quitté la famille des Rickettsiaceae mais en reste très proche. (Les Ehrlichia sont encore souvent nommées « rickettsies » au sens large du terme). La tribu est maintenant partagée en 4 groupes génomiques ; les études génomiques ont permis de rapprocher les Ehrlichia des Wolbachia (seules bactéries connues capables de modifier le génome de cellules eucaryotes) et des Anaplasma.
Espèces touchées
De nombreuses espèces de canidés semblent accidentellement infectées, d'autres l'étant plus souvent et/ou jouant de manière plus ou moins asymptomatique un d'hôte-réservoir.
Distribution
Cette maladie a été diagnostiquée dans de nombreuses régions du monde, dont aux États-Unis, en Afrique, en Asie du Sud, en Inde et en Europe, notamment en France où elle sévit dans le pourtour Méditerranéen
Symptômes
Les animaux peuvent paraître cliniquement sains ou présenter des signes cliniques d'autres ehrlichiose, dont celle causée par Ehrlichia chaffeensis (en) [11].
La maladie se déclare le plus souvent en été, période où les tiques vectrices sont les plus actives. De 1991 à 2005 la bactérie a été trouvée dans 75 départements français, sur 58 bovins, 2 hommes, 12 chevaux, 2 ongulés sauvages. Les symptômes étant peu spécifiques, la maladie est difficile à identifier.

Les chiens victimes de l'ehrlichiose canine sont fatigués, fiévreux et montrent des signes de douleurs articulaires ou parfois vomissent. Ehrlichia canis était supposée toujours être la bactérie responsable et on la pensait vectorisée par la tique Rhipicephalus sanguineus, mais quelques études ont montré (par PCR ou immunofluorescence) qu‘Ehrlichia chaffeensis infectait des chiots ou chiens aux USA comme en Afrique du Sud.
Les canidés sauvages y sont également sensibles (71 % des Coyotes en Oklahoma selon les tests PCR hébergent ou ont hébergé Ehrlichia chaffeensis !).
Après inoculation expérimentale d'un chiot, le germe est visible (et peut être isolé) entre le 7e et le 26e jour suivant l’inoculation. Une infection du chien par Ehrlichia chaffeensis ne protège pas contre une infection (expérimentale, 28 jours après) par Ehrlichia canis.
Les tiques étant souvent porteurs de plusieurs souches ou espèces différentes de pathogènes, il n'est pas étonnant que des chiens soient souvent co-infectés par Ehrlichia chaffeensis et par Ehrlichia canis ou Ehrlichia ewingii ou Anaplasma phagocytophilum et/ou par d'autres maladies à tiques (dont bartonelloses). L'enlèvement des tiques au retour de chaque promenade est recommandé, ainsi qu'un traitement anti-parasitaire préventif (mais au risque de sélectionner des tiques résistantes). Certains chiens après guérison apparente ou une période asymptomatique restent porteur de la bactérie dans leur sang, ne présentant des symptômes qu'après plusieurs mois ou années. La forme chronique de cette maladie est généralement mortelle. Les symptômes habituels sont accompagnés d'un amaigrissement, d'une grande fatigue, de douleurs articulaires et plus rarement de saignements de nez. Une analyse sanguine montre alors diverses anomalies : anémie aregénérative (dans 80 % des cas environ), thrombocytopénie (80 % des cas environ), Leucopénie (30 % environ des cas), lymphocytose évoluant en leucémie lymphocytaire ; la chute du taux de cellules sanguines (pancytopénie) signe une progressive destruction de la moelle osseuse. Des antibiotiques appropriés sont efficaces, sauf quand la maladie est devenue chronique. Un suivi épidémiologique se dessine en France (Voir exemple de carte pour le chien).
Quelques cas d'ehrlichiose féline ont été observés, supposés en Europe transmis par les mêmes tiques que pour le chien (Rhipicephalus sanguineus ou Ixodes ricinus).
Diagnostic
L’isolement via des cultures cellulaires est réservé à la recherche et non utilisé par le diagnostic de routine.
En phase aiguë :
- Détection au microscope de morulae dans les monocytes (après coconcentration et coloration au May-Grümwald-Giemsa)[12]. Des « faux-négatifs » sont possibles car les morulae ne sont que temporairement présentes, et toujours en faible nombre.
- recherche d'anticorps anti-Ehrlichia canis par immunofluorescence.
- Des techniques immunoenzymatiques,où les antigènes sont des protéines de surface obtenues par recombinaison, sont en développement, pour mieux différencier les infections.
- Le modèle animal montre aussi qu'inversement, un organisme infecté de longue date peut être séropositif mais induire un résultat de PCR négatif. La PCR peut être faite en deux temps (PCR emboîtée ou nested PCR). La RT-PCR (reverse transcription PCR), qui amplifie l'ARN des échantillons, est plus sensible que la PCR emboîtée et présente un autre avantage : ne détectant que l'ARN, bien plus labile que l'ADN, elle ne réagit probablement qu'aux bactéries viables ce qui peut apporter des informations utiles au vétérinaire après un traitement.
Classification
Différentes souches de cette bactérie ont été identifiées depuis les années 1990
En 2001, une réorganisation de l'ordre des Rickettsiales[13] a conduit Dumler et son équipe à supprimer la tribu des Ehrlichieae, à reclasser le genre Ehrlichia dans la famille des Anaplasmataceae et à modifier la description du genre Ehrlichia (maintenant réduit aux seules espèces du groupe génomique I).
Traitements
Pour les souches étudiées in vitro :
- la doxycycline est le traitement le plus fréquent chez le chien (comme chez l'homme). Comme la rifampicine c'est un médicament rapidement actif.
- le chloramphénicol, la ciprofloxacine, l'érythromycine, la pénicilline, la gentamicine et l'association triméthoprime-sulfaméthoxazole (cotrimoxazole) sont au contraire inactifs.
Le chien, après et malgré un traitement à la doxycycline, bien qu'apparemment guéri peut rester porteur de Ehrlichia canis et donc contaminer des tiques qui pourront véhiculer la maladie.
Mesures prophylactiques et de précaution
Cultures
la mise en culture est notamment possible sur des lignées de macrophages de chiens (cellules DH82) .
Critères bactériologiques
Ehrlichia canis présente des caractères bactériologiques proches de ceux des autres bactéries du genre Ehrlichia[14].
Voir aussi
Liens externes
- L’Ehrlichiose monocytaire canine : étude experimentale d’une nouvelle souche d’Ehrlichia canis ; Thèse de Stéphanie Jouret pour le doctorat vétérinaire (École nationale vétérinaire d'Alfort, présentée devant la faculté de médecine de Créteil, 2001
- Base de données sur l'Ehrlichiose (CHU Rouen, consulté 2009 03 15)
- page spécifique d'une site consacré à la bactériologie
Bibliographie
- (en) Breitschwerdt (E.B.), Hegarty (B.C.) et Hancock (S.I.) : Sequential evaluation of dogs naturally infected with Ehrlichia canis, Ehrlichia chaffeensis, Ehrlichia equi, Ehrlichia ewingii, or Bartonella vinsonii. J. Clin. Microbiol., 1998, 36, 2645-2651.
Notes et références
- (en) Nyindo Mba. Ristic M. Huxsoll D.L. et al. Tropical canine pancytopenia: in vitro cultivation of the causative agent- Ehrlichia canis. Am. J. Vet. Res. 1971. 32 : 1651-1658.
- (en) Ristic M. Huxsoll DL. Weisiger r.m. et al. Serological diagnosis of tropical canine pancytopenia by indirect immunofluorescence. Infect. Immun. 1972. 6 : 226-231.
- (en) Parola (P.) et Raoult (D.) : Ticks and tickborne bacterial diseases in humans: an emerging infectious threat. Clin. Infect. Dis., 2001, 32, 897-928.
- (en) Dawson (J.E.) et Ewing (S.A.) : Susceptibility of dogs to infection with Ehrlichia chaffeensis, causative agent of human ehrlichiosis. Am. J. Vet. Res., 1992, 53, 1322-1327
- Shaw (S.E.), Day (M.J.), Birtles (R.J.) et Breitschwerdt (E.B.) : Tick-borne infectious diseases of dogs. Trends in Parasitology, 2001, 17, 74-80
- Dugan(V.G.), Little (S.E.), Stallknecht (D.E.) et Beall (A.D.) : Natural infection of domestic goats with Ehrlichia chaffeensis. J. Clin. Microbiol., 2000, 38, 448-449
- (en) Maeda (K.M.), Markowitz (N.), Hawley (R.C.), Ristic (M.), Cox (D.) et McDade (J.E.) : Human infection with Ehrlichia canis, a leukocytic rickettsia. New England J. Med., 1987, 316, 853-856.
- DAY M.J. Mechanisms of immunomodulation by ticks and tick-borne infectious agents. Proceeding Colloque Mérial Amsterdam Mars 2001. Maladies transmises par les tiques aux animaux
- Donatien A. et Lestoquard F. ; État actuel des connaissances sur les Rickettsioses animales. Arch. Inst. Pasteur d’Algérie. 1937. 15 : 142-187.
- Nims RM. Ferguson JA. ; Epizootiology of Tropical Canine Pancytopenia in Southeast Asia. J. Am. Vet. Med. Assoc. 1971. 158 : 53-63.
- RIKIHISA (Y.) : Clinical and biological aspects of infection caused by Ehrlichia chaffeensis. Microbes and Infection, 1999, 1, 367-376.
- Elias E. Diagnosis of ehrlichiosis from the presence of inclusion bodies or morulae of E. canis. J. Small Anim. Pract. 1991. 33 : 540-543.
- Dumler (J.S.), Barbet (A.F.), Bekker (C.P.J.), Dasch (G.A.), Palmer (G.H.), RAY (S.C.), Rikihisa (Y.) et Rurangirwa (F.R.) : Reorganization of genera in the families Rickettsiaceae and Anaplasmataceae in the order Rickettsiales: unification of some species of Ehrlichia with Anaplasma, Cowdria with Ehrlichia and Ehrlichia with Neorickettsia, description of six new species combinations and designation of Ehrlichia equi and 'HGE agent' as subjective synonyms of Ehrlichia phagocytophila. Int. J. Syst. Evol. Microbiol. 2001, 51, 2145-2165. ; article de Dumler et al. à propos de la réorganisation de l'ordre des Rickettsiales par analyse de leurs ARNr 16S, et opérons groESL et l'analyse des gènes codant des protéines de surface
- Brouqui (P.) Ehrlichia. In : J. Freney, F. Renaud, W. Hansen et C. Bollet : Précis de Bactériologie Clinique, Editions ESKA, Paris, 2000, pp. 1651-1662.
- Portail des canidés
- Portail de la médecine vétérinaire