Dégénérescence hépatocérébrale
La dégénérescence hépato-cérébrale fait référence à des lésions du cerveau ou de certaines parties de celui-ci, causées par des lésions hépatiques accompagnées de modifications correspondantes du métabolisme. En particulier, une fonction de détoxification réduite du foie entraîne une augmentation des concentrations d'ammoniac et d'autres toxines dans le sang, ce qui endommage ensuite l'encéphale. Les causes de lésions hépatiques peuvent être variées.

Symptômes
- Troubles moteurs[1] ;
- troubles cognitifs et restrictions sur la performance intellectuelle[1] ;
- ictère (jaunisse) et autres symptômes de cirrhose du foie[1].
Diagnostic
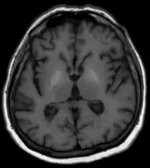
Les méthodes habituelles telles qu'analyses de sang, échographie et autres procédures d'imagerie par tomographie ainsi que la clinique[1] et, si nécessaire, une biopsie du foie avec examen histologique, sont disponibles pour diagnostiquer la maladie hépatique sous-jacente. En ce qui concerne la dégénérescence du cerveau, aucun changement n'est généralement visible sur la tomodensitométrie. L'IRM montre généralement une augmentation du signal dans les noyaux gris centraux sur les séquences natives pondérées en T1[1]. On soupçonne que la cause en est des dépôts de minéraux paramagnétiques, potentiellement réversibles après une transplantation hépatique[1],[2]. Les images pondérées T2 ne montrent généralement aucune anomalie. En termes de diagnostic différentiel, les changements de signal décrits ci-dessus sont parfois observés avec une nutrition parentérale à long terme mais également avec des calcifications idiopathiques. La maladie de Wilson doit également être prise en compte dans le diagnostic différentiel[1].
Notes et références
- (en) Joseph Ferrara et Joseph Jankovic, « Acquired hepatocerebral degeneration », J Neurol, vol. 256, no 3, , p. 320–32. (ISSN 1432-1459, PMID 19224314, DOI 10.1007/s00415-009-0144-7)
- (en) Dileep K. Atluri, Mehrdad Asgeri et Kevin D. Mullen, « Reversibility of hepatic encephalopathy after liver transplantation », Metab Brain Dis, vol. 25, no 1, , p. 111–3. (ISSN 1573-7365, PMID 20204484, DOI 10.1007/s11011-010-9178-x)
Voir aussi
Bibliographie
- (en) Douglas H. Yock, Magnetic resonance imaging of CNS disease: a teaching file, Mosby, (ISBN 978-0-323-01172-3)
- (en) R Fernández-Rodriguez, A Contreras, J G De Villoria et F Grandas, « Acquired hepatocerebral degeneration: clinical characteristics and MRI findings », European Journal of Neurology, Wiley-Blackwell, vol. 17, no 12, , p. 1463-1470 (ISSN 1351-5101 et 1468-1331, OCLC 768004591, PMID 20491897, DOI 10.1111/J.1468-1331.2010.03076.X)
Liens externes
- Ressource relative à la santé :
- Portail des neurosciences
- Portail de la médecine