Histologie

L’histologie (du grec ancien ἱστός, « tissu », et λόγος, « étude »), autrefois appelée anatomie microscopique[1],[2], est la branche de la biologie et de la médecine qui étudie les tissus biologiques. Elle se situe au carrefour de la biologie cellulaire, de l'anatomie, de la biochimie et de la physiologie. Elle a pour objectif d’explorer la structure des organismes vivants, les rapports constitutifs et fonctionnels entre leurs éléments fonctionnels, ainsi que le renouvellement des tissus. Elle participe à l'exploration des processus pathologiques et de leurs effets. Aujourd'hui l'histologie est enseignée à travers des lames virtuelles que l'on peut retrouver dans divers sites (ex: Histologie et pathologie des organes[3]).

Histoire

Les prémices de l'histologie adviennent grâce à l'apparition du microscope au XVIIe siècle, bien que ce terme n’advienne que deux siècles après. Il est utilisé pour la première fois en 1819, par Mayer (en) et Heusinger.

L'Italien Marcello Malpighi, professeur de médecine à Bologne et à Pise, est considéré comme le fondateur de l'histologie. La discipline fut d'abord empirique, grâce au perfectionnement de microscopes simples, alors récemment inventés, permettant l'étude de coupes minces.

On doit la notion de tissu biologique à un ouvrage de Xavier Bichat, le Traité des membranes en général et de diverses membranes en particulier (1799). Les tissus sont alors définis comme des ensembles de cellules ayant des caractères morphologiques analogues. Leur classification est alors simple :

Ces premières études ont permis l’obtention d’une grande quantité d'informations sur les structures biologiques, ce qui a permis l'élaboration de la théorie cellulaire par Matthias Jakob Schleiden et Theodor Schwann, en 1838. Le terme d'histologie fut utilisé pour la première fois en 1819, par Mayer (en) et Heusinger.

La conjonction de la théorie cellulaire et de la mise au point du microscope optique achromatique entraîne la révolution fondatrice de l'histologie. Après la Seconde Guerre mondiale, les chercheurs du Rockfeller Institute for Medical Research de New York jouent un rôle fondamental avec la description des ultrastructures cellulaires et tissulaires grâce à la microscopie électronique. Dans les années 1970 et 1980, une histologie moléculaire se met en place, entraînant notamment une rénovation de la nomenclature et un affinement de la description morphologique[4].

Les techniques de biologie cellulaire, de biologie moléculaire, de clonage et de génétique moléculaire ont permis de mieux comprendre le fonctionnement cellulaire et les interactions cellulaires. Ainsi, si la cellule constitue bien l'unité fondamentale de la structure des organismes vivants, elle se révèle être un ensemble très sophistiqué. L'histologie moderne considère ainsi la cellule comme une unité fonctionnelle fondamentale.

Tissus animaux

Schéma d'une cellule animale
Structure des cellules animales.

Le règne Animalia contient des organismes multicellulaires qui sont hétérotrophes et mobiles (bien que certains aient adopté secondairement un mode de vie sessile). La plupart des animaux ont un corps différencié en tissus distincts : ce sont des eumétazoaires. Ils possèdent une chambre digestive interne, avec une ou deux ouvertures ; les gamètes sont produits dans des organes sexuels multicellulaires et les zygotes comprennent un stade de blastula dans leur développement embryonnaire. Les métazoaires ne comprennent pas les éponges, qui ont des cellules indifférenciées[5].

Contrairement aux cellules végétales, les cellules animales ne possèdent ni paroi cellulaire, ni chloroplastes. Les vacuoles, lorsqu'elles sont présentes, sont plus nombreuses et beaucoup plus petites que dans la cellule végétale. Les tissus de l'organisme sont composés de nombreux types de cellules, notamment celles des muscles, des nerfs et de la peau. Chacune est composée généralement d'une membrane formée de phospholipides, un cytoplasme et un noyau. Toutes les différentes cellules d'un animal sont dérivées des couches germinales embryonnaires. Les invertébrés les plus simples, qui sont formés à partir de deux couches germinales d'ectoderme et d'endoderme, sont appelés diploblastiques et les animaux plus développés dont les structures et les organes sont formés à partir de trois couches germinales sont appelés triploblastiques[6]. Tous les tissus et organes d'un animal triploblastique sont dérivés des trois couches germinales de l'embryon : l'ectoderme, le mésoderme et l'endoderme.

Les tissus animaux forment quatre types fondamentaux : les tissus conjonctifs, épithéliaux, musculaires et nerveux.

Tissus conjonctifs

Cartilage hyalin au microscope.
Cartilage hyalin coloré à l'hématoxyline et à l'éosine sous lumière polarisée.

Les tissus conjonctifs sont fibreux et constitués de cellules dispersées dans un matériau inorganique appelé matrice extracellulaire. Le tissu conjonctif donne sa forme aux organes et les maintient en place. Les principaux types sont le tissu conjonctif lâche, le tissu adipeux, le tissu conjonctif fibreux, le cartilage et l'os. La matrice extracellulaire contient des protéines, dont la principale et la plus abondante est le collagène. Le collagène joue un rôle majeur dans l'organisation et le maintien des tissus. La matrice peut être modifiée pour former un squelette destiné à soutenir ou à protéger le corps. Un exosquelette est une cuticule épaisse et rigide, rigidifiée par la minéralisation, comme chez les crustacés, ou par la réticulation de ses protéines, comme chez les insectes. Un endosquelette est interne et présent chez tous les animaux développés, ainsi que chez de nombreux animaux à la structure plus simple[6].

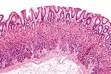
Épithélium

Muqueuse gastrique.
Muqueuse gastrique.

Le tissu épithélial se compose de cellules très serrées, liées les unes aux autres par des protéines d'adhésion cellulaire, avec peu d'espace intercellulaire. Les cellules épithéliales peuvent être squameuses (plates), cuboïdes ou cylindriques. Elles reposent sur une lame basale, la couche supérieure de la membrane basale. La couche inférieure est la lame réticulaire située à côté du tissu conjonctif dans la matrice extracellulaire sécrétée par les cellules épithéliales. Il existe de nombreux types d'épithélium différents, modifiés pour répondre à une fonction particulière. Dans les voies respiratoires, il se trouve un type de revêtement épithélial cilié ; dans l'intestin grêle, il existe des microvillosités sur le revêtement épithélial et dans le gros intestin, des villosités intestinales. La peau est constituée d'une couche externe d'épithélium pavimenteux stratifié et kératinisé qui recouvre l'extérieur du corps des vertébrés. Les kératinocytes représentent jusqu'à 95 % des cellules de la peau. Les cellules épithéliales de la surface externe du corps sécrètent généralement une matrice extracellulaire sous la forme d'une cuticule. Chez les animaux simples, il peut s'agir d'une simple couche de glycoprotéines[6]. Chez les animaux plus évolués, de nombreuses glandes sont formées de cellules épithéliales.

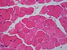
Tissus musculaires

Coupe transversale d'un muscle strié squelettique.
Coupe transversale d'un muscle strié squelettique.

Les myocytes forment le tissu contractile actif de l'organisme. Le tissu musculaire a pour fonction de produire une force et de provoquer un mouvement, qu'il s'agisse d'une locomotion ou d'un mouvement dans les organes internes. Le muscle est formé de filaments contractiles et se divise en trois types principaux : le muscle lisse, le muscle squelettique et le muscle cardiaque. Le muscle lisse ne présente aucune strie lorsqu'il est examiné au microscope. Il se contracte lentement mais se caractérise par une forte extensibilité. Il s'observe par exemple dans les tentacules des anémones de mer et la paroi corporelle des holothuries. Le muscle squelettique se contracte rapidement, sa plage d'extension reste cependant limitée. Il est visible dans le mouvement des appendices et des mâchoires. Le muscle strié est intermédiaire entre les deux autres. Constitué de filaments décalés, il permet aux vers de terre de s'étendre lentement ou d'effectuer des contractions rapides. Chez les mammifères, les muscles striés se présentent en faisceaux attachés aux os pour assurer le mouvement et sont souvent disposés en ensembles antagonistes. Les muscles lisses se trouvent dans les parois de l'utérus, de la vessie, des intestins, de l'estomac, de l'œsophage, des voies respiratoires et des vaisseaux sanguins. Le muscle cardiaque est présent uniquement dans le cœur, ce qui lui permet de se contracter et de pomper le sang dans tout le corps.

Tissus nerveux

Motoneurone de la moelle épinière.
Motoneurone de la moelle épinière.

Le tissu nerveux est composé de nombreuses cellules nerveuses appelées neurones qui transmettent des informations. Chez certains animaux marins à symétrie radiale et à déplacement lent, comme les cténophores et les cnidaires (y compris les anémones de mer et les méduses), les nerfs forment un réseau nerveux, mais chez la plupart des animaux, ils sont organisés longitudinalement en faisceaux. Chez les animaux simples, les neurones récepteurs de la paroi corporelle provoquent une réaction locale à un stimulus. Chez les animaux plus complexes, des cellules réceptrices spécialisées, comme les chimiorécepteurs et les photorécepteurs envoient des messages à d'autres parties de l'organisme le long de réseaux neuronaux. Les neurones peuvent être reliés entre eux dans des ganglions. Chez les mammifères, les récepteurs spécialisés sont à la base des organes des sens et il existe un système nerveux central (cerveau et moelle épinière) et un système nerveux périphérique. Ce dernier se compose de nerfs sensoriels qui transmettent les informations provenant des organes des sens et de nerfs moteurs qui influencent les organes cibles. Le système nerveux périphérique se divise en deux parties : le système nerveux somatique, qui transmet les sensations et contrôle les muscles volontaires, et le système nerveux autonome, qui contrôle involontairement les muscles lisses, certaines glandes et les organes internes, dont l'estomac.

Techniques histologiques

Il existe de nombreuses techniques histologiques.

Prélèvements

Les prélèvements, quels qu'ils soient doivent être effectués avec le plus grand soin, car leur qualité conditionne directement les possibilités d'étude.

  • Pour les tissus végétaux, le prélèvement utilise des méthodes particulières (écrasement, empreinte par vernis, etc.)
  • Pour des tissus animaux (et notamment humains), on distingue quatre catégories majeures de prélèvement :
    • les frottis : prélèvement médical au moyen d'un écouvillon stérile, d'une petite brosse ou d'une petite spatule (par exemple au niveau du col de l'utérus) ;
    • les biopsies : prélèvement de très petite taille d'un tissu, à des fins d'étude microscopique ;
    • les résections d'organes en intégralité, suivies de leur étude (dans le cas d'une tumeur, déterminer le caractère bénin ou malin par exemple) ;
    • les ponctions de liquides (pleurale, ascitique, péricardique, etc.).

Il existe également des techniques de prélèvement plus sophistiquées : par excision, microdissection. Des prélèvements sont fréquemment réalisés au cours d'une opération, et sont étudiés directement au bloc opératoire en extemporané par cryostat.

Conservation

Afin de conserver l'échantillon dans un état le plus proche possible de l'état in vivo, deux moyens de conservation peuvent être utilisés :

  • La congélation, utilisée pour les prélèvements en salle d'opération dont le diagnostic doit être connu rapidement (examen extemporané);
  • La fixation par un produit chimique comme le formol ou le liquide de Bouin), qui a pour effet de polymériser les protéines et, dans certains cas, les lipides présents dans l'organe. Cette technique est utilisée pour les coupes histologiques "longues durées" après inclusion en paraffine.

Amincissements

Inclusion d'un bloc en OCT (Optimal Cutting Temperature compound). Cette méthode permet de durcir les échantillons à −20 °C tout en conservant les ultrastructures cellulaires et nucléaires. On la préconise pour faire des manipulations d'immunohistochimie et d'hybridation in situ[7].

Les organes, trop gros pour laisser passer la lumière nécessaire à la microscopie optique, doivent encore être découpés en lamelles extrêmement fines par un appareil appelé microtome. Pour cela, on les enrobe dans de la paraffine ou une résine, selon l'épaisseur souhaitée de la coupe. On distingue plusieurs types de coupe selon la méthode de conservation et d'amincissement suivie :

Conservation Inclusion Épaisseur de la coupe
Congélation (à −20 °C) OCT 5 à 100 μm
Polymérisation des protéines Paraffine μm
Polymérisation des protéines et lipides Résine 1 à 0,05 μm

Les coupes de 0,05 μm seront analysées en microscopie électronique tandis que les autres seront observées en microscopie optique.

Coloration

Exemple de coloration en microscopie optique: Coloration au Carmin d'un Monogène (ver parasite)

Les tissus biologiques présentent en eux-mêmes très peu de contraste, aussi bien en microscopie optique qu’en microscopie électronique. La coloration est utilisée aussi bien pour augmenter le contraste que pour mettre en valeur l’une ou l’autre structure en particulier.

Colorations empiriques

De nombreuses techniques de coloration ont été découvertes de façon fortuite. Dans un certain nombre de cas, le lien spécifique entre la coloration et la nature du tissu n’est toujours pas connu actuellement (charges ioniques des molécules du colorant, taille des molécules du colorant ?).

Parmi ces techniques, on peut citer les trichomes et la méthode de Van Gieson (hématoxiline ferrique, acide picrique, fuchsine acide).

Histochimie

On parle d’histochimie quand la coloration se fonde sur des réactions chimiques connues entre des réactifs de laboratoire et des composants des tissus étudiés. Par exemple lors d’une coloration à l’hématoxiline-éosine, l’éosine qui est un acide se fixe préférentiellement aux molécules basiques et permet donc de colorer le cytoplasme cellulaire (végétal ou animal), alors que l’hématoxyline, qui est une base, colore les noyaux cellulaires en se fixant préférentiellement aux acides nucléiques. La coloration par le Periodic Acid-Shiff (PAS) permet de colorer de nombreux glucides par rupture des ponts carbone-carbone des 1,2-glycols par l’acide périodique qui est un agent oxydant. La rupture de ces ponts produit des dialdéhydes qui réagissent avec le réactif de Shiff (fuchsine, acide sulfurique) pour donner un composé magenta vif.

Histochimie enzymatique

La distribution tissulaire de certaines enzymes spécifiques peut être étudiée sur des coupes fraîches en y ajoutant un substrat spécifique de cet enzyme. L’enzyme réagit alors avec ce substrat pour former un produit de réaction primaire, insoluble et pouvant être mis en évidence par une coloration appliquée d’emblée ou dans un second temps.

La plupart des systèmes enzymatiques étant détruits lors de la fixation, les méthodes d’histochimie enzymatique sont le plus souvent réalisées sur coupes en congélation.

Ces techniques permettent de détecter un grand nombre d’enzymes s’exprimant de façon pathologique dans certains tissus.

Historadiographie

Les échantillons de tissus peuvent être colorés par des techniques radiographiques. Les deux usages les plus courants sont le marquage des cellules en phase S de la mitose par incorporation lors de la réplication de l'ADN de thymidine tritiée et l’hybridation in-situ.

Le marquage peut être révélé par visualisation sur microscope à fond noir des grains d’argent formés par réaction du rayonnement radioactif sur une plaque photographique.

Cette technique tend à être remplacée par l’immunohistochimie.

Immunohistochimie

Des anticorps spécifiques sont utilisés pour venir se fixer à une molécule de la coupe histologique. Ces anticorps polyclonaux, produits chez l’animal à partir de la protéine purifiée, seront porteurs d’un marqueur, le plus souvent fluorescent. On parle alors d’immunofluorescence. Cette technique tend à faire disparaître l’historadiographie.

Les échantillons sont alors examinés sous microscope à fluorescence.

Classification des tissus en histologie

Notion de tissus, d'organes et de systèmes.

Actuellement, la classification cellulaire repose sur le regroupement des cellules sur la base de leur fonction principale. Ci-dessous, est exposée la classification fonctionnelle des cellules animales.

Un tissu est un ensemble de cellules organisées de manière spécifique. Un assemblage de cellules ayant toutes la même structure forme un tissu simple. Dans la majorité des cas, on observe un mélange de différentes cellules et de matrice extracellulaire. Ceci forme un tissu composé.

Les tissus forment ensemble des organes, prenant place dans un appareil (ou système). Un organe est donc un groupe anatomiquement distinct de tissus de plusieurs types, qui remplissent des fonctions spécifiques. Un appareil est un groupe de cellules ou d'organes qui ont des fonctions analogues ou proches.

Groupe de cellulesCellules épithélialesCellules de soutienCellules contractilesCellules nerveusesCellules germinalesCellules sanguinesCellules immunitairesCellules endocrines
ExempleÉpithélium cutané. Endothélium vasculaireTissu conjonctif de soutien. Cartilage. Tissus osseuxMuscleSystème nerveux central. Système nerveux périphériqueSpermatozoïdes. OvocytesGlobules rouges. Globules blancsTissus lymphoïdes. Tonsilles. Pulpe blanche spléniqueThyroïde. Surrénale. Pancréas endocrine.
FonctionBarrière, absorption, sécrétionMaintien de la structure de l'organismeMouvementsCommunication cellulaire directeReproductionTransport de l'oxygène, défense de l'organismeDéfense de l'organismeCommunication cellulaire indirecte

Notes et références

  1. Informations lexicographiques et étymologiques de « histologie » dans le Trésor de la langue française informatisé, sur le site du Centre national de ressources textuelles et lexicales
  2. Louis Mandl, Anatomie microscopique : Histologie, ou recherches sur les éléments microscopiques des tissus, des organes et des liquides, dans les animaux adultes et à l'état normal, Baillière, , 100 p.
  3. Jean-Marie Ramirez, « Histologie des organes », sur doc-pedagogie.umontpellier.fr (consulté le )
  4. J. Poirier, « Les trois révolutions de l’histologie », Morphologie, vol. 89, no 284, , p. 5-11 (DOI 10.1016/S1286-0115(05)83233-3, lire en ligne, consulté le ).
  5. (en) Robert L. Dorit, Warren. F. Walker Jr. et Robert D. Barnes, Zoology, Philadelphie, Saunders College Publishing, , XXV-1009 p. (ISBN 978-0-03-030504-7, lire en ligne), p. 547-549
  6. (en) Edward E. Ruppert, Richard S. Fox et Robert D. Barnes, Invertebrate Zoology : a functional evolutionary approach, Belmont, Thomson-Brooks/Cole, , 7e éd., XVII-963 p. (ISBN 978-81-315-0104-7), p. 59-60.
  7. « Triming, inclusion d'un bloc en OCT », sur histalim.com, (consulté le )

Voir aussi

Articles connexes

Liens externes

  • icône décorative Portail de la médecine
  • icône décorative Portail de la biologie cellulaire et moléculaire
  • icône décorative Portail de l’anatomie
  • icône décorative Portail de la physiologie
Cet article est issu de Wikipedia. Le texte est sous licence Creative Commons – Attribution – Partage à l’identique. Des conditions supplémentaires peuvent s’appliquer aux fichiers multimédias.