Tumeur du sac vitellin

Après
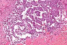
La tumeur du sac vitellin est une tumeur peu commune issue des cellules germinales qui reproduisent des structures extra-embryonnaires. Elle correspond à la tumeur maligne la plus fréquemment retrouvée chez l'enfant. Elle est caractérisée par une prolifération tumorale à cellules claires agencée en réseau et peut former des structures végétantes endoluminales. Cette tumeur est rarement bilatérale.
Synonyme(s) MeSH : Tumeur du sinus endodermique ; Tumeur vitelline.
Voir aussi
- Portail de la médecine
Cet article est issu de Wikipedia. Le texte est sous licence Creative Commons – Attribution – Partage à l’identique. Des conditions supplémentaires peuvent s’appliquer aux fichiers multimédias.