Syndesmose
| Élément de | |
|---|---|
| Éléments constitutifs |
| Nom latin |
Syndesmosis |
|---|---|
| TA98 |
A03.0.00.005 |
| TA2 |
1518 |
| FMA |
7494 |
Une syndesmose est une articulation fibreuse. Du point de vue fonctionnel, c'est une amphiarthrose et du point de vue structurel une synarthrose.
Les os sont reliés par des ligaments interosseux ou des membranes interosseuses. Ils proviennent de la différenciation du blastème en périchondre, puis en tissu fibreux sous l'action des sollicitations mécaniques.
La distance qui sépare les os et le tissu conjonctif fibreux est plus grande que dans la suture, un autre type d'articulation fibreuse.
Lorsqu'une pièce osseuse pénètre l'autre on parle de gomphose.
En anatomie humaine on trouve :
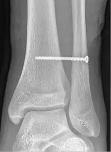
- la syndesmose tibio-fibulaire,
- la syndesmose radio-ulnaire,
- la syndesmose dento-alvéolaire qui est une gomphose,
- la syndesmose tympano-stapédiale,
- les syndesmoses du thorax qui unissent les côtes entre elles,
- les syndesmoses du crâne réalisées par le ligament ptérygo-épineux et le ligament stylo-hyoïdien,
- les syndesmoses de la colonne vertébrale avec l'ensemble des ligaments de l'arc vertébral (ligaments inter-épineux, ligaments jaunes, ligaments inter-transversaires, ligament supra-spinal, ligament nuchal, ligaments longitudinaux antérieur et postérieur).
Aspect clinique

À la suite d'un traumatisme de type fracture, les syndesmoses peuvent subir des lésions ligamentaires comme des déchirures, en particulier pour les syndesmoses tibio-fibulaire et radio-ulnaire. Ces lésions peuvent exiger une réparation chirurgicale en fonction de leur degré de gravité.
Étymologie
Le terme syndesmose vient du grec σύν (syn (signifiant "avec")) et δεσμός (desmos (signifiant "une bande")).
Notes et références
Liens externes
- Ressources relatives à la santé :
- Ressources relatives à la santé (pour membrane interosseuse) :
- « Syndesmose », sur le dictionnaire de l’Académie nationale de médecine
- Portail de la médecine
- Portail de l’anatomie