Scintigraphie myocardique

La scintigraphie myocardique est un examen d'imagerie médicale permettant de visualiser la fixation d'un traceur radioactif sur le muscle cardiaque (myocarde), afin d'apprécier la manière dont il est perfusé.
Technique
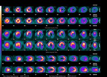
Elle consiste en l'injection intraveineuse d'un isotope radioactif associé ou non, à une molécule vectrice qui va se fixer sur les tissus musculaires proportionnellement au débit sanguin local. On observe alors avec une gamma caméra la fixation du produit sur le myocarde et plus particulièrement sur le ventricule gauche. L'observation d'un défaut de fixation sur l'une des parois est le signe d'une ischémie.
Un test de stimulation est systématiquement réalisé avant l'injection du traceur, en général une épreuve d'effort, et à défaut l'injection d'un médicament qui simule l'épreuve d'effort. Si cette première partie est strictement normale, la deuxième partie, c'est-à-dire l'examen au repos, n'est parfois pas réalisée.
On peut utiliser deux types de traceurs différents :
- le thallium 201 (201Tl) sans vecteur ;
- les marqueurs technétiés : technétium 99m (99mTc) associé à un vecteur, soit le MIBI, soit le Myoview (Tétrofosmin).
Résultats
Comme pour l'ECG, l'examen est dans la plupart des cas doublé : une scintigraphie d'effort (ou à la persantine) associée à une scintigraphie de repos.
La comparaison des deux images du ventricule gauche au repos et après l'effort permet d'identifier une ischémie transitoire (hypofixation se corrigeant au repos), d'un infarctus (hypofixation stable au repos).
Liens externes
- Ressources relatives à la santé :
- Portail de la médecine