Muscle papillaire

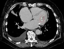
Coupe scanographique axiale montrant des calcifications aux extrémités des muscles papillaires de la valve mitrale du cœur (cercle rouge).
Les muscles papillaires sont des cônes musculaires de la paroi ventriculaire du cœur, saillants à la surface de la paroi des ventricules cardiaques. Ils sont le lieu d'insertion des cordages des valves atrio-ventriculaires.
Il existe 3 formes de muscles papillaires:
- Dits de 1er ordre : muscles en forme de cônes servant à l'insertion des cordages
- Dits de 2e ordre : ponts musculaires entre deux parois d'un même ventricule
- Dits de 3e ordre : simples épaississements de la paroi ventriculaire
Il existe aussi trois types de cordages reliant les muscles papillaires de premier ordre aux valves atrio-ventriculaires :
- Cordages dits de premier ordre: Ils ont leur fixation terminale à la base des valves
- Cordages de deuxième ordre : ont leur terminaison sur la face pariétale (milieu) des valves
- Cordages de troisième ordre: s'insèrent au bord libre de la cuspide (ou valvule)
Les muscles papillaires, par l'insertion des cordages de premier ordre, sont donc essentiels au rythme cardiaque et au bon fonctionnement des valves atrio-ventriculaires, notamment lors de la diastole.
Ces muscles sont facilement observables en imagerie médicale par l'échographie.
- Portail de la médecine
- Portail de l’anatomie
Cet article est issu de Wikipedia. Le texte est sous licence Creative Commons – Attribution – Partage à l’identique. Des conditions supplémentaires peuvent s’appliquer aux fichiers multimédias.