Lymphome B primitif du médiastin

Lymphome B primitif du médiastin
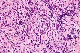
Description de cette image, également commentée ci-après
Photomicrographie d'un lymphome B primitif du médiastin, coloration H&E.
Traitement
Médicament Doxorubicine
Classification et ressources externes
ICD-O 9679/3
eMedicine 203681

Wikipédia ne donne pas de conseils médicaux Mise en garde médicale

Le lymphome B primitif du médiastin (type thymique) est un type de lymphome B survenant dans le médiastin antérieur, d'origine thymique.

Il représente environ 7 % des lymphomes B diffus à grandes cellules (DLBCL) et est présumé originaire de lymphocytes B thymiques. Il s'observe surtout chez les sujets jeunes, avec un âge moyen d’environ 33 ans, un rapport femme/homme de 1 à 2,5. Il n'est pas associé au virus d'Epstein-Barr (EBV).


Anatomie pathologique

Immunohistochimie

  • Marqueurs B positifs : CD19, CD20, CD22, CD79a.
  • Marqueurs T négatifs: CD3-, CD5-
  • CD10+/-, CD21-, CD25-
  • CD30+/- (faible avec les méthodes standard).
  • CD15-
  • Bcl-2+ (30%)
  • BCL6+

Diagnostic différentiel

  • Thymome : espaces repérés vasculaires, différenciation médullaire, corps de Hassal.
  • Carcinome thymique : le CD45 (antigène leucocytaire commun ou CLA) est négatif dans les grandes cellules, y compris dans les formes lymphoépithéliales.
  • Séminome
  • Lymphome de Hodgkin
  • Tumeur carcinoïde

Du fait des travées fibreuses, il peut être confondue avec un séminome ou un carcinome thymique indifférencié.

Notes et références

    Voir aussi

    Articles connexes

    Liens externes

    • icône décorative Portail de la biologie
    • icône décorative Portail de la médecine
    Cet article est issu de Wikipedia. Le texte est sous licence Creative Commons – Attribution – Partage à l’identique. Des conditions supplémentaires peuvent s’appliquer aux fichiers multimédias.