Leucémie aiguë

La leucémie aiguë est un stade de la maladie de la leucémie, cancer du sang.
Épidémiologie
La fréquence des leucémies aiguës est faible (environ 1/100 000 habitants). Elle est cependant la plus fréquente des leucémies et sa fréquence est liée à l'âge. Elle est la première cause de décès liés aux cancers chez l'enfant.
Mécanisme physiopathologique
Il existe deux mécanismes physiopathologiques qui interviennent dans les symptômes :
- prolifération de cellules malignes, responsable d'un syndrome tumoral
- insuffisance médullaire : sur 3 lignée normales ; les conséquences de cette insuffisance médullaire sont l'anémie, la neutropénie et la thrombopénie
Symptômes
Ils comportent des signes d'insuffisance sanguine : pâleur, syndrome infectieux, syndrome hémorragique classiquement cutanéo-muqueux.
Les signes de prolifération sont des douleurs osseuses et ostéo-articulaires, des adénopathies, une splénomégalie, rarement une hypertrophie des autres organes.
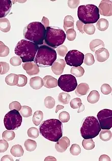
Biologie
L'hémogramme montre de manière non spécifique une anémie normocytaire, macrocytose, arégénérative, une thrombopénie.
Le nombre de leucocytes est augmentées avec présence de cellules blastiques signant le diagnostic
Le myélogramme confirme le diagnostic de leucémie aiguë et permet sa classification en deux groupes, les leucémies aiguës myéloblastiques (LAM) et les leucémies aiguës lymphoblastiques (LAL). L'étude cytologique permet de dénombrer les blastes (cellules anormales) envahissant la moelle, dont un taux supérieur à 20 % affirme la leucémie aiguë. Elle permet également de décrire la morphologie des cellules blastiques (taille, noyau, cytoplasme...), ainsi la présence de granulation cytoplasmiques basophiles oriente plutôt vers une LAM, de même, la présence de corps d'Auer signe une atteinte myéloïde (les corps d'Auer sont des granulations cytoplasmiques azurophiles prenant souvent une forme en fin bâtonnets). Une étude cytochimique du myélogramme, observation des blastes après un test à la myéloperoxydase (MPO), est réalisée. Un taux de blastes MPO-positifs supérieur à 3 % affirme la nature myéloïde de la leucémie. Un immunophénotypage (études des cluster de différenciation par cytomètre de flux) des blastes permet la distinction entre LAM et LAL lorsque la cytologie et la cytochimie ne sont pas assez informatives.
L'étude cytogénétique a un intérêt pronostic, ainsi que pour certaines classifications.
Le bilan est complété avant traitement : fond d'œil, ponction lombaire (afin de rechercher une localisation méningée), détermination du groupe sanguin, sérologie virale, bilan hépatique, renal, coagulation, glycémie, protides totaux, taux d'albumine, bilan phospho-calcique, acide urique, ionogramme.
La biopsie ostéo-médullaire est uniquement réalisée en cas d'échec du myélogramme ou en cas de fibrose de la moelle.
Traitement
Le traitement des symptômes comportent des transfusions sanguines en cas d'anémie mal tolérée, la mise sous antibiotiques en cas d'infection.
La prise en charge doit être faite en milieu spécialisé permettant de commencer une chimiothérapie, dite d'induction, adaptée au type cytologique. Elle est suivie d'une chimiothérapie dite de consolidation. La prévention d'une localisation méningée se fait par chimiothérapie et radiothérapie.
Une greffe de moelle osseuse peut être proposée après une chimiothérapie aplasiante (aboutissant à la destruction de la quasi-totalité des cellules souches sanguines du patient)
- Portail de la médecine
- Portail de l’hématologie