Hypertension artérielle gravidique

Hypertension artérielle gravidique
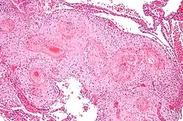
Description de cette image, également commentée ci-après
Coupe microscopique montrant la vasculopathie déciduale, corrélat morphologique à l'hypertension artérielle gravidique. Coloration à l'hématoxyline et à l'éosine.
Traitement
Spécialité Obstétrique
Classification et ressources externes
CIM-10 O13-O14
CIM-9 642
DiseasesDB 5208
MedlinePlus 000898
eMedicine 261435
MeSH D046110

Wikipédia ne donne pas de conseils médicaux Mise en garde médicale

L'hypertension artérielle gravidique est une hypertension artérielle (HTA) survenant chez une femme enceinte, qui trouve son origine dans un trouble de la placentation (en). L'HTA gravidique est la première cause de mortalité maternelle au cours de la grossesse dans les pays développés.

Définition

L'hypertension artérielle gravidique se définit comme une hypertension (pression artérielle systolique supérieure à 140 mmHg ou pression artérielle diastolique supérieure à 90 mmHg) isolée, sans protéinurie apparue à partir de la vingtième semaine d’aménorrhée (SA) en l’absence d’antécédent. Elle concerne 10 % des grossesses.

La pré-éclampsie (appelée aussi « toxémie gravidique ») est définie par l'association d'une hypertension artérielle gravidique associée à une protéinurie supérieure à 300 mg par jour. Elle concerne 3 % des grossesses.

Physiopathologie

L'anomalie initiale menant à l'hypertension artérielle gravidique et ses complications est un trouble précoce de la placentation (anomalie d'invasion des artères spiralées utérines, qui sont de calibre insuffisant et ne perfusent pas correctement le placenta), ceci aboutit à une ischémie placentaire (le placenta ne reçoit pas assez de sang, et donc pas assez d'oxygène et de nutriments).

Conséquences maternelles

En réponse à cette ischémie est produit un excès de facteurs vasoconstricteurs dont l'objectif est de diminuer le calibre des artérioles, et donc d'augmenter la pression de perfusion. L'effet pervers corollaire est une hypertension artérielle. À cette hypertension s'ajoutent des anomalies liées à la libération par le placenta ischémié de substances toxiques, qui altèrent la paroi des vaisseaux. Ceci aboutit à des lésions vasculaires rénales, hépatiques (microangiopathie thrombotique), cérébrales, et des troubles hématologiques (coagulation intravasculaire disséminée, thrombopénie) par action toxique sur les éléments du sang.

Conséquences fœtales

Le fœtus ne reçoit pas assez de nutriments et d'oxygène, ce qui provoque une souffrance fœtale chronique avec retard de croissance intra-utérin dysharmonieux (car tardif, postérieur à la 20e semaine) : le cerveau est privilégié par la vascularisation aux dépens des viscères et des membres : on a un aspect échographique de « fœtus araignée » (grosse tête et membres grêles). L'ischémie rénale entraîne une diminution de la formation d'urine, et donc un oligoamnios (volume insuffisant du liquide amniotique).

Diagnostic

Facteurs de risque

L'hypertension artérielle gravidique est une maladie dont les causes sont à la fois immunologiques (mauvaise reconnaissance par les anticorps maternels de l'unité fœto-placentaire), génétique (il existe des formes familiales de prééclampsie), et mécanique (morphologie de l'utérus). Les causes principales sont :

  • la nulliparité (pas de grossesse antérieure) ou la première grossesse avec un nouveau partenaire ;
  • les grossesses multiples ;
  • des antécédents personnels ou familiaux d'hypertension, de diabète sucré, de maladie rénale, de lupus érythémateux disséminé, de syndrome des antiphospholipides ;
  • une exposition insuffisante au sperme (qui ne permet pas aux anticorps maternels de développer une tolérance aux antigènes paternels) par exemple par utilisation prolongée de préservatifs ;
  • un âge maternel avancé ;
  • une obésité.

Diagnostic clinique

À l'interrogatoire sont cherchés des antécédents d'hypertension artérielle, de diabète, de retard de croissance in-utéro, d'hématome rétro-placentaire, de prématurité, de mort fœtale in utero, d'hypotrophie. Sont également cherchées les complications : phosphènes, acouphènes, céphalées, douleur épigastrique, diminution des mouvements actifs fœtaux, œdèmes, prise de poids récente et importante.

L'examen repose sur la prise de la pression artérielle avec un brassard adapté au morphotype de la patiente, la mesure étant faite au repos, la patiente est assise ou demi-assise, bien calée, le bras dénudé, détendu et positionné à la hauteur du cœur. En cas de doute, une mesure de contrôle doit être effectuée. L'examen est complété par la mesure de la hauteur utérine, du poids, la recherche d'œdèmes des membres inférieurs.

Pour ce qui est de la protéinurie, le dépistage par les bandelettes urinaires étant parfois peu fiables, il faut privilégier la détermination de la protéinurie des 24 heures, plus contraignante mais plus précise.

Diagnostic paraclinique

Ces examens sont normaux en dehors d'une complication.

Surveillance

Complications

Pré-éclampsie légère

Elle associe à une hypertension artérielle gravidique une protéinurie, supérieure à 300 mg·j-1 ou supérieure, à « deux croix à la bandelette urinaire ». Dans certains cas, la protéinurie peut manquer initialement, il est cependant licite de suspecter une pré-éclampsie devant une hypertension de novo associée à l’un ou l’autre des signes suivants :

Pré-éclampsie sévère

La pré-éclampsie sévère se définit soit par une hypertension grave (pression artérielle systolique supérieure ou égale à 160 mmHg et, ou pression artérielle diastolique supérieure ou égale à 110 mmHg), soit une hypertension artérielle gravidique avec un ou plusieurs des signes suivants :

Éclampsie

Complication gravissime, l'éclampsie survient dans environ 1 % des pré-éclampsies. Elle doit être redoutée devant certains symptômes qui doivent être particulièrement surveillés : céphalées en casque, douleurs abdominales intenses, nausées et vomissements, acouphènes et phosphènes, majoration des œdèmes.

Elle se manifeste par des crises convulsives généralisées, tonico-cloniques, suivi d'un coma post-critique. Le risque maternel est la survenue d'un état de mal épileptique, d'hémorragie cérébrale, d'infarctus cérébral, d'insuffisance respiratoire. La mortalité fœtale est très élevée (50 à 80 %).

Le traitement est une urgence absolue : libération des voies aériennes supérieures, traitement antiépileptique (par benzodiazépines), puis extraction fœtale par césarienne dès la fin de la crise.

La crise d'éclampsie peut se produire dans les 48 heures suivant l'accouchement.

Hématome rétro-placentaire

Syndrome HELLP

C'est un syndrome grave, de définition purement biologique, comportant :

Ce syndrome témoigne de micro-angiopathie thrombotique et peut se compliquer d'hématome sous-capsulaire du foie, de rupture du foie. Le traitement est ici aussi l'extraction fœtale urgente.

Autres complications maternelles

sont responsables des décès maternels.

Complications fœtales

  • Mort fœtale in utero
  • Retard de croissance dysharmonieux
  • Souffrance fœtale aiguë (en particulier en cas d'hématome rétro-placentaire et d'éclampsie)
  • Prématurité (liée à l'obligation de césarienne urgente provoquée par les complications ; de par les causes profondes de l'hypertension artérielle gravidique (anomalies du placenta), le seul vrai traitement est l'accouchement).

Traitement

L'hypertension gravidique se soigne très bien par traitement médical et par beaucoup de repos. Cependant, normaliser la tension artérielle ne diminue pas forcément le risque d'hématome rétroplacentaire, ne diminue pas les retards de croissance intra-utérine. Le traitement n'a aucune influence sur la morbidité et la mortalité néonatale. La gravité de certaines hypertensions artérielles gravidiques précoces oblige parfois à proposer une interruption médicale de grossesse.

Hypertension artérielle gravidique non compliquée

Notes et références

    • icône décorative Portail de la médecine
    Cet article est issu de Wikipedia. Le texte est sous licence Creative Commons – Attribution – Partage à l’identique. Des conditions supplémentaires peuvent s’appliquer aux fichiers multimédias.