Hyperlymphocytose
| Spécialité | Hématologie |
|---|
| CIM-10 | D72.8 |
|---|---|
| CIM-9 | 288.8 |
| DiseasesDB | 7678 |
| MeSH | D008218 |
Mise en garde médicale
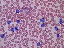
Une hyperlymphocytose, également appelée simplement lymphocytose, est une anomalie de l'hémogramme, caractérisée par un nombre trop élevé de lymphocytes, supérieur à 4 500 par mm³ chez le sujet adulte.
Chez le nouveau-né et le jeune enfant, une lymphocytose jusqu'à 8 000 lymphocytes par mm³ est physiologique, la formule leucocytaire se rapprochant des valeurs de l'adulte avec l'âge, pour devenir identique à l'adolescence.
Causes
Si l’observation du frottis sanguin met en évidence des lymphocytes hyperbasophiles, le clinicien peut conclure à un syndrome mononucléosique. Sinon, l’examen clinique et/ou des examens biologiques complémentaires peuvent permettre de trouver les causes suivantes :
- une infection virale, l’hyperlymphocytose étant alors un symptôme de la virose, très fréquente chez l’enfant ;
- la brucellose, caractérisée à ses débuts par des symptômes grippaux ;
- la coqueluche, qui s’accompagne de violentes quintes de toux (toux quinteuse) ;
- une hémopathie lymphoïde de type Leucémie lymphoïde chronique (LLC), aux symptômes multiples.
Une hyperlymphocytose peut également trouver ses origines dans le tabagisme.
Article connexe
- Portail de la médecine
- Portail de l’hématologie