Hallux varus

Hallux varus congénital chez un enfant de 10 mois
L'hallux varus est une déformation de l'articulation du gros orteil.
Cette déformation inhabituelle peut être congénitale ou acquise à la suite d'un traumatisme. Prise tôt, une réduction manuelle est possible, par le port de semelles par exemple. Sinon, selon l'avancement, le degré de déformation et le niveau d'arthrose, on pourra déplacer le tendon ou faire une arthrodèse.
Elle peut aussi survenir de façon exceptionnelle et imprévisible après une opération de l'hallux valgus dans laquelle la correction de l'alignement du gros orteil a été exagérée.
Galerie
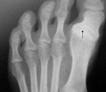
Radiographie d'un cas d'hallux varus.
- Portail de la médecine
Cet article est issu de Wikipedia. Le texte est sous licence Creative Commons – Attribution – Partage à l’identique. Des conditions supplémentaires peuvent s’appliquer aux fichiers multimédias.