Fracture de l'extrémité supérieure de l'humérus
| Causes | chute, contusion |
|---|---|
| Début habituel | = |
| Durée |
~ 4 mois (récupération significative) jusqu'à 1 an (récupération complète) |
| Complications | cal vicieux (en) |
| Diagnostic | rayons-X |
|---|---|
| Traitement | attelle, chirurgie |
| CIM-10 | S42.2 |
|---|
Mise en garde médicale
La fracture de l'extrémité supérieure de l'humérus est la rupture de la partie haute de l'os supérieur du bras, l'humérus, en deux ou plusieurs fragments.
Anatomie fonctionnelle
Signes et symptômes
La cause de cette fracture est très généralement un choc direct sur le bras[1]. La fracture de l'extrémité supérieure de l'humérus résulte généralement de simples chutes chez les personnes âgées et de traumatismes plus violents chez les personnes plus jeunes, notamment liés aux accidents de la circulation ou à la pratique d'un sport[2]. Chez les personnes âgées, particulièrement les femmes, cette fracture peut être indicatrice d'ostéoporose et s'insérer dans une cascade de fractures[3].
Les symptômes comprennent une douleur, le gonflement et une diminution de la capacité à bouger l'épaule[4].
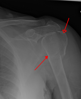
Diagnostic
_(14576999198).jpg)
Le diagnostic de cette fracture s'effectue par radiologie médicale, complété par un scanner et une reconstruction 3D à partir d'images en cas d'indication chirurgicale[2].
Traitement
Chez l'enfant et l'adolescent, le pronostic de guérison est généralement très bon, grâce aux capacités de remodelage osseux[5].
Par orthopédie
Les fractures non-déplacées, soit la majorité des cas, peuvent être traitées par simple orthopédie[2]. Typiquement, l'épaule est maintenue dans une orthèse, et des examens par radiologie sont effectués périodiquement pour vérifier la stabilité de la fracture[6].
Par chirurgie orthopédique
Le traitement des fractures déplacées et/ou multifragmentaires est plus complexe, et pourra nécessiter l'intervention d'un chirurgien[2].
Les fractures les plus complexes sont celles à trois ou quatre fragments. Leur traitement est possible par plaque vissée anatomique par voie deltopectotale, ou par embrochage en palmier selon la technique de Kapandji, aucun des deux n'ayant montré de résultat supérieur à l'autre[7]. Dans les cas les plus graves (fracture multifragmentaire très déplacée), une prothèse d'épaule peut être posée[8]. Les options chirurgicales pour les fractures instables de l'humérus proximal comprennent[6] :
- Réduction fermée avec brochage percutané (CRPP)
- Réduction ouverte avec fixation interne (ORIF)
- Fixation par tige intramédullaire
- Arthroplastie de l'épaule
- Arthroplastie inversée de l'épaule
Dans ce cas, restituer l'anatomie de l'épaule, et particulièrement les tubérosités, est essentiel pour la guérison (ostéosynthèse et arthroplastie)[2], faute de quoi un cal vicieux (en) s'installe[2].
Complications
Les complications peuvent inclure une lésion du nerf axillaire ou de l'artère axillaire[1].
Fréquence
Ce type de fracture devient de plus en plus fréquent avec le vieillissement démographique et l'ostéoporose[2].
Cette fracture est beaucoup plus rare chez les enfants et les adolescents, particulièrement chez les jeunes enfants ; sa présence peut être un signe de maltraitance[5],[9].
Notes et références
- 1 2 (en-US) « Proximal Humeral Fractures - Injuries; Poisoning », sur Merck Manuals Professional Edition (consulté le )
- 1 2 3 4 5 6 7 Favard, Berhouet et Bacle 2012, p. 1.
- ↑ C. Roux, « Fracture de l’extrémité supérieure de l’humérus : un marqueur de sévérité de l’ostéoporose », La Lettre du Rhumatologue, no 397, , p. 33 (lire en ligne).
- ↑ « Shoulder Trauma (Fractures and Dislocations) - OrthoInfo - AAOS », sur www.orthoinfo.org (consulté le ).
- 1 2 Y. Lefèvre, « Fractures de l'extrémité proximale de l'humérus de l'enfant et l'adolescent: Proximal humeral fractures in children and adolescents », dans Conférences D'enseignement 2013, Elsevier Masson, (ISBN 978-2-294-73542-4, lire en ligne), p. 197–206.
- 1 2 (en) Charles M Court-Brown, Rockwood and Green's fractures in adults, (ISBN 978-1-4963-1293-8 et 978-1-4698-8482-0, OCLC 893628028, lire en ligne).
- ↑ M. Elidrissi, S. Bensaad, M. Shimi et A. Elibrahimi, « Le traitement chirurgical des fractures de l’extrémité supérieure de l’humérus : plaque anatomique versus embrochage en palmier, à propos de 26 cas », Chirurgie de la Main, vol. 32, no 1, , p. 25–29 (ISSN 1297-3203, DOI 10.1016/j.main.2012.12.001, lire en ligne, consulté le ).
- ↑ RAKOTOMENA D*, RAKOTOARIVONY ST**, LABBES***, ZIPPOLI***, « PLACE DE LA PROTHESE D’EPAULE DANS LE TRAITEMENT DES FRACTURES COMPLEXES DE L’EXTREMITE SUPERIEURE DE L’HUMERUS », Revue de Chirurgie Orthopédique et de Traumatologie Malgache, vol. 1, (lire en ligne).
- ↑ (en-US) Charles A. Popkin, William N. Levine et Christopher S. Ahmad, « Evaluation and Management of Pediatric Proximal Humerus Fractures », JAAOS - Journal of the American Academy of Orthopaedic Surgeons, vol. 23, no 2, , p. 77–86 (ISSN 1067-151X, DOI 10.5435/JAAOS-D-14-00033, lire en ligne, consulté le ).
Bibliographie
- L. Favard, J. Berhouet et G. Bacle, « Fractures récentes de l’extrémité supérieure de l’humérus de l’adulte », EMC - Appareil locomoteur, vol. 7, no 3, , p. 1–16 (DOI 10.1016/S0246-0521(12)50999-X, lire en ligne, consulté le )
- Portail de la médecine