Engagement cérébral

Engagement cérébral
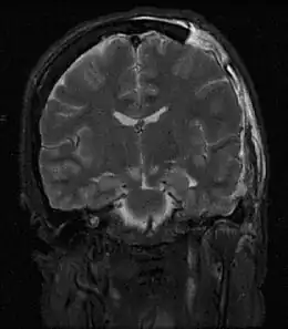
Description de l'image Brain herniation MRI.jpg.
Traitement
Spécialité Neurologie et neurochirurgie
Classification et ressources externes
CIM-10 G93.5
CIM-9 348.4
MedlinePlus 001421
eMedicine 337936

Wikipédia ne donne pas de conseils médicaux Mise en garde médicale

En médecine, on parle d'engagement cérébral lorsqu'il y a déplacement d'une structure cérébrale au travers d'un orifice naturel.

Types

Il existe trois types d'engagement cérébral :

Engagement sous-falcoriel

L'engagement sous-falcoriel correspond au glissement d'un hémisphère cérébral sous la faux du cerveau. Celui-ci est asymptomatique et résulte souvent du refoulement d'un hémisphère par un œdème.

Engagement transtentoriel

L'engagement transtentoriel fait suite au déplacement d'un lobe temporal sous la tente du cervelet. Il se manifeste par une mydriase paralytique unilatérale. Il s'agit alors d'une urgence thérapeutique du fait de la compression du tronc cérébral qui le complique, mettant en jeu le pronostic vital du patient.

Engagement amygdalien

L'engagement amygdalien est le glissement des tonsilles cérébelleuses (anciennement amygdales) dans le foramen magnum (ou trou occipital) et entraîne également une compression du tronc cérébral. Il se manifeste typiquement par des céphalées, des cervicalgies et des crises en opisthotonos. Il peut compliquer une malformation d'Arnold-Chiari.

Engagement diencéphalique

L'engagement diencéphalique secondaire à la pression sur les thalamus de façon bilatérale, il se manifeste cliniquement surtout par un hoquet, et des troubles de vigilance.

Évaluation du risque

Le risque d'engagement cérébral doit être évalué par un médecin avant toute ponction lombaire. En effet, devant l'existence d'une hypertension intracrânienne (provoquée par un hématome ou une tumeur intra-parenchymateuse par exemple) la ponction lombaire est contre indiquée car elle pourrait provoquer un engagement cérébral par création d'une dépression dans l'espace sous-arachnoïdien.

  • icône décorative Portail de la médecine
Cet article est issu de Wikipedia. Le texte est sous licence Creative Commons – Attribution – Partage à l’identique. Des conditions supplémentaires peuvent s’appliquer aux fichiers multimédias.