Colite collagène

Colite collagène
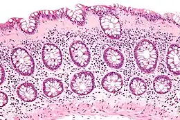
Description de cette image, également commentée ci-après
Coloration histologique d'une colite collagène à l'hématoxyline-éosine.
Traitement
Spécialité Gastro-entérologie
Classification et ressources externes
DiseasesDB 2955
eMedicine 180664
MeSH D046729

Wikipédia ne donne pas de conseils médicaux Mise en garde médicale

La colite collagène est caractérisée par une diarrhée hydrique chronique. 600 cas sont recensés en Europe chaque année, essentiellement chez des femmes de plus de 60 ans avec un pic entre 70 et 79 ans.

Une molécule est prescrite en première intention, la budésonide. On observe 20 % de rémissions spontanées à la suite du traitement.

Symptômes :

  • diarrhée ;
  • nombreuses selles chaque jour ;
  • amaigrissement ;
  • coloscopie normale ;
  • examen de selles normal.

La biopsie du côlon montre l'apparition d'une bande de fibrose collagène, sous le revêtement superficiel épaisse de 10 microns ou plus.

Notes et références


    Liens externes

    • icône décorative Portail de la médecine
    Cet article est issu de Wikipedia. Le texte est sous licence Creative Commons – Attribution – Partage à l’identique. Des conditions supplémentaires peuvent s’appliquer aux fichiers multimédias.