Carcinome canalaire

Carcinome canalaire
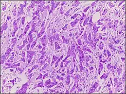
Description de cette image, également commentée ci-après
Classification et ressources externes
ICD-O M8500/2, M8500/3, M8522/2, M8522/3, M8543/3
MeSH D044584

Wikipédia ne donne pas de conseils médicaux Mise en garde médicale

Les carcinomes canalaires sont une classe de tumeurs solides de la Classification internationale des maladies oncologiques. Elles sont développées aux dépens des canaux excréteurs d'une glande exocrine : sein, pancréas, prostate, glandes lacrymales...

  • icône décorative Portail de la médecine
  • icône décorative Portail de la biologie cellulaire et moléculaire
Cet article est issu de Wikipedia. Le texte est sous licence Creative Commons – Attribution – Partage à l’identique. Des conditions supplémentaires peuvent s’appliquer aux fichiers multimédias.