Angiomyxome agressif

Angiomyxome agressif
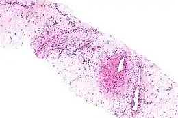
Description de cette image, également commentée ci-après
Coupe histologique d'un angiomyxome agressif (coloration à l'hématoxyline et à l'éosine)
Classification et ressources externes
CIM-10 D17.5
CIM-9 215.6
ICD-O 8841/1

Wikipédia ne donne pas de conseils médicaux Mise en garde médicale

L'angiomyxome agressif est une tumeur myxoïde impliquant les vaisseaux sanguins. Il peut affecter la vulve et d'autres parties du bassin.

Liens externes

  • icône décorative Portail de la médecine
Cet article est issu de Wikipedia. Le texte est sous licence Creative Commons – Attribution – Partage à l’identique. Des conditions supplémentaires peuvent s’appliquer aux fichiers multimédias.