Angiomyolipome

L'Angiomyolipome est une tumeur rénale bénigne constituée microscopiquement de vaisseaux, de muscles lisses et de graisse. Cette tumeur rénale est souvent de découverte fortuite de par sa croissance lente et sa relative innocuité, elle peut cependant être découverte à l'occasion d'hématurie ou d'hémorragies interne. Elle est associée dans 25 à 50 % des cas à une sclérose tubéreuse de Bourneville.
Examen macroscopique
Elle est souvent d'aspect relativement plein de par son contenu élevé en cellules épithéloïdes, on y voit cependant des amas graisseux, ainsi que des saignements. Elle présente par ailleurs un aspect souvent pléimorphe.
Examen histologique
La tumeur est principalement composée de cordons épithéloïdes avec aspect pléomorphique. On distingue aussi des structures vasculaires avec des réarrangements en divers endroits, on y voit par ailleurs parfois des nécroses, hémorragies, ou des embolies de cellules tumorales. Les muscles lisses et de la graisse y sont présents, souvent plutôt minoritaires, et apparaissent d'aspect normal.
Examens immunohistochimiques
Cette tumeur est surtout marquée par HMB45, l'actine des muscles lisses, NSE et la vimentine. On peut cependant retrouver focalement la protéine S100 et le CD68.
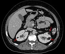
Examens d'imagerie
L'angiomyolipome est, dans la majorité des cas, une découverte de hasard lors d'un examen de l'abdomen par échographie, tomodensitométrie ou Imagerie par résonance magnétique.
- A l'échographie il apparaît hyper-échogène.
- A la tomodensitométrie sans injection de produit de contraste il est de densité négative (UH<0, tonalité graisseuse) et se rehausse instantanément après injection (riche vascularisation).
Degré d'invasivité
Bien que cette tumeur soit le plus souvent considérée comme bénigne, la chirurgie peut être proposée car :
- Elle peut saigner, grossir, se thromboser.
- Un certain degré d'invasivité peut lui être reconnue, différente en fonction de la tumeur. Il dépend surtout de la possibilité de retrouver des cellules tumorales dans les ganglions (immunomarquage identique), ainsi qu'au degré de nécrose et de l'activité mitotique de la tumeur.
Le caractère malin de la tumeur n'est cependant admis qu'en cas de métastases à distance objectivées.
- Portail de la médecine