Angiolipome
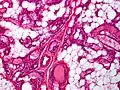
L’angiolipome est une tumeur bénigne des tissus mous associant du tissu adipeux et des vaisseaux capillaires.
Anatomie pathologique
Histopathologie
Diagnostic différentiel
Notes et références
- Portail de la médecine
Cet article est issu de Wikipedia. Le texte est sous licence Creative Commons – Attribution – Partage à l’identique. Des conditions supplémentaires peuvent s’appliquer aux fichiers multimédias.
.jpg)
.jpg)

