Acinus

De façon générale le terme acinus (du latin acinus, grain de raisin ; au pluriel acini ou acinus) désigne une cavité épithéliale arrondie bordée par des cellules sécrétrices qui débouche dans le canal excréteur d'une glande.

Types d'acini

Acini séreux

  • Cellule de forme pyramidale
  • Lumière étroite
  • noyau central arrondi
  • Réticulum endoplasmique rugueux (RER) ou granuleux (REG) très développé, cytoplasme souvent basophile
  • Présence de grain de sécrétion au pôle apical. Rejette son produit de sécrétion selon un mode mérocrine.

Exemple : acinus pancréatique

Acini muqueux

  • Grandes cellules plus ou moins cubiques
  • Lumière importante
  • Noyau basal aplati, organites basaux
  • Cytoplasme clair
  • Présence de boules de mucigène dans le reste de la cellule

Exemple : acini des glandes salivaires sublinguales, bien que quelques acini séreux soient également présents dans celles-ci.

Acini séro-muqueux ou mixtes

  • Ils comprennent les deux types d'acini
  • L'apex des cellules séreuses s'insinuent[Quoi ?] entre les cellules muqueuses, permet la sécrétion dans la lumière centrale
  • Croissants séreux, dits croissants de Gianuzzi

Exemple : glandes salivaires submandibulaires.

Exemples d'acini

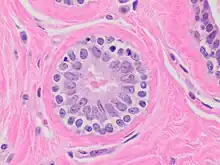
La glande mammaire

Acinus mammaire.

L'éjection du lait humain ou animal est un réflexe neuro-hormonal dans lequel une hormone, l'ocytocine provoque la contraction des cellules myoépithéliales qui bordent les acini sur leur face interne et aboutit à l'écoulement du lait.

Dans le cas de l'espèce humaine, 15 à 25 canaux galactophores principaux débouchent séparément au niveau du mamelon. Vers son extrémité, chaque canal est muni d'un sinus galactophore, une ampoule de quelques cc stockant une petite amorce de lait. L'essentiel est produit pendant la tétée.

Dans le cas de l'espèce bovine les canaux excréteurs débouchent dans une première chambre appelée citerne de la mamelle puis dans une citerne du trayon avant de déboucher à l'extérieur par le canal du trayon.

Cas des acini pulmonaires

Le poumon, bien que servant à d'autres fonctions, présente une structure très comparable, et on parle alors d'acini pulmonaires pour désigner les sacs alvéolaires dans lesquels se font les échanges gazeux entre l'air et le sang des individus. Leur diamètre est d'environ 0,1 mm, leur paroi contient des invaginations : les alvéoles pulmonaires.

Au cours du cycle respiratoire, la surface et le volume des alvéoles varient considérablement.

Notes et références

    Liens externes

    • icône décorative Portail de la biologie
    Cet article est issu de Wikipedia. Le texte est sous licence Creative Commons – Attribution – Partage à l’identique. Des conditions supplémentaires peuvent s’appliquer aux fichiers multimédias.